Surgical removal of an intradural brainstem foreign body (microchip) with a ventral basioccipital approach in a kitten.

IF 0.7 Q3 VETERINARY SCIENCES
Journal of Feline Medicine and Surgery Open Reports Pub Date : 2025-07-03 eCollection Date: 2025-07-01 DOI:10.1177/20551169251339153
Magdalena Olender, Jérôme Couturier, Delphine N Rault
{"title":"Surgical removal of an intradural brainstem foreign body (microchip) with a ventral basioccipital approach in a kitten.","authors":"Magdalena Olender, Jérôme Couturier, Delphine N Rault","doi":"10.1177/20551169251339153","DOIUrl":null,"url":null,"abstract":"<p><strong>Case summary: </strong>A 2-month-old kitten was presented for ataxia and depressed mental status after implantation of a pet identification microchip. Radiographs were taken immediately by the referring veterinarian and showed a longitudinal metallic foreign body (electronic microchip) within the cervical vertebral canal at the craniocervical junction. A CT examination 2 days after the incident showed cranial migration of the microchip ventrally to the caudal brainstem. Ventral basioccipital craniectomy was immediately performed to retrieve the microchip by a ventral approach to the caudal brainstem. Postoperative recovery was uneventful and the cat was discharged 2 days later. At the 2-week follow-up, neurological examination of the cat was normal. No long-term complications were reported.</p><p><strong>Relevance and novel information: </strong>This case report describes the intradural migration of a microchip and surgical removal via ventral basioccipital craniectomy.</p>","PeriodicalId":36588,"journal":{"name":"Journal of Feline Medicine and Surgery Open Reports","volume":"11 2","pages":"20551169251339153"},"PeriodicalIF":0.7000,"publicationDate":"2025-07-03","publicationTypes":"Journal Article","fieldsOfStudy":null,"isOpenAccess":false,"openAccessPdf":"https://www.ncbi.nlm.nih.gov/pmc/articles/PMC12227868/pdf/","citationCount":"0","resultStr":null,"platform":"Semanticscholar","paperid":null,"PeriodicalName":"Journal of Feline Medicine and Surgery Open Reports","FirstCategoryId":"1085","ListUrlMain":"https://doi.org/10.1177/20551169251339153","RegionNum":0,"RegionCategory":null,"ArticlePicture":[],"TitleCN":null,"AbstractTextCN":null,"PMCID":null,"EPubDate":"2025/7/1 0:00:00","PubModel":"eCollection","JCR":"Q3","JCRName":"VETERINARY SCIENCES","Score":null,"Total":0}
引用次数: 0

Abstract

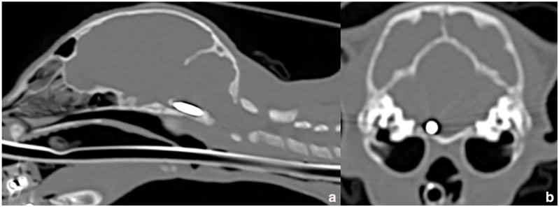
Case summary: A 2-month-old kitten was presented for ataxia and depressed mental status after implantation of a pet identification microchip. Radiographs were taken immediately by the referring veterinarian and showed a longitudinal metallic foreign body (electronic microchip) within the cervical vertebral canal at the craniocervical junction. A CT examination 2 days after the incident showed cranial migration of the microchip ventrally to the caudal brainstem. Ventral basioccipital craniectomy was immediately performed to retrieve the microchip by a ventral approach to the caudal brainstem. Postoperative recovery was uneventful and the cat was discharged 2 days later. At the 2-week follow-up, neurological examination of the cat was normal. No long-term complications were reported.

Relevance and novel information: This case report describes the intradural migration of a microchip and surgical removal via ventral basioccipital craniectomy.

Abstract Image

Abstract Image

Abstract Image

手术切除硬脑干内异物(微芯片)与腹侧基底枕入路在小猫。
病例总结:一只2个月大的小猫在植入宠物识别芯片后出现共济失调和精神状态抑郁。转诊兽医立即拍摄x线片,显示在颅颈交界处的颈椎管内有一个纵向金属异物(电子微芯片)。事件发生2天后的CT检查显示微芯片颅侧向尾侧脑干迁移。立即进行腹侧颅底颅骨切除术,通过腹侧入路到尾侧脑干回收微芯片。术后恢复顺利,2天后猫出院。在2周的随访中,猫的神经系统检查正常。无长期并发症报告。相关和新信息:本病例报告描述了通过腹侧颅底颅骨切除术将微芯片植入硬膜内并进行手术切除。
本文章由计算机程序翻译,如有差异,请以英文原文为准。
求助全文
约1分钟内获得全文 求助全文
来源期刊
CiteScore
1.30
自引率
14.30%
发文量
57
审稿时长
15 weeks
×
引用
GB/T 7714-2015
复制
MLA
复制
APA
复制
导出至
BibTeX EndNote RefMan NoteFirst NoteExpress
×
提示
您的信息不完整,为了账户安全,请先补充。
现在去补充
×
提示
您因"违规操作"
具体请查看互助需知
我知道了
×
提示
确定
请完成安全验证×
copy
已复制链接
快去分享给好友吧!
我知道了
右上角分享
点击右上角分享
0
联系我们:info@booksci.cn Book学术提供免费学术资源搜索服务,方便国内外学者检索中英文文献。致力于提供最便捷和优质的服务体验。 Copyright © 2023 布克学术 All rights reserved.
京ICP备2023020795号-1
ghs 京公网安备 11010802042870号
Book学术文献互助
Book学术文献互助群
群 号:604180095
Book学术官方微信