Retroperitoneal duodenal perforation following biliary stent migration: A case report and review of conservative management.

IF 0.6 Q4 SURGERY
Turkish Journal of Surgery Pub Date : 2025-09-03 Epub Date: 2025-07-04 DOI:10.47717/turkjsurg.2025.2025-3-6
Recep Erçin Sönmez, Tuğrul Özdemir, Fatih Büyüker, Orhan Alimoğlu
{"title":"Retroperitoneal duodenal perforation following biliary stent migration: A case report and review of conservative management.","authors":"Recep Erçin Sönmez, Tuğrul Özdemir, Fatih Büyüker, Orhan Alimoğlu","doi":"10.47717/turkjsurg.2025.2025-3-6","DOIUrl":null,"url":null,"abstract":"<p><p>Endoscopic biliary stenting is a widely adopted technique for managing bile duct injuries post-cholecystectomy. However, its complications can have severe consequences. Although rare compared to other endoscopic retrograde cholangiopancreatography-related complications, duodenal perforation due to stent migration carries a significant risk of morbidity and mortality. While biliary stenting is often considered a less invasive alternative to surgery, timely recognition and management of potential complications remain crucial. We present a case of duodenal perforation due to biliary stent migration in a 49-year-old woman following laparoscopic cholecystectomy, emphasizing the effectiveness of conservative management, including the key role of interventional radiology, in selected patients.</p>","PeriodicalId":23374,"journal":{"name":"Turkish Journal of Surgery","volume":" ","pages":"338-342"},"PeriodicalIF":0.6000,"publicationDate":"2025-09-03","publicationTypes":"Journal Article","fieldsOfStudy":null,"isOpenAccess":false,"openAccessPdf":"https://www.ncbi.nlm.nih.gov/pmc/articles/PMC12406606/pdf/","citationCount":"0","resultStr":null,"platform":"Semanticscholar","paperid":null,"PeriodicalName":"Turkish Journal of Surgery","FirstCategoryId":"1085","ListUrlMain":"https://doi.org/10.47717/turkjsurg.2025.2025-3-6","RegionNum":0,"RegionCategory":null,"ArticlePicture":[],"TitleCN":null,"AbstractTextCN":null,"PMCID":null,"EPubDate":"2025/7/4 0:00:00","PubModel":"Epub","JCR":"Q4","JCRName":"SURGERY","Score":null,"Total":0}
引用次数: 0

Abstract

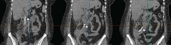
Endoscopic biliary stenting is a widely adopted technique for managing bile duct injuries post-cholecystectomy. However, its complications can have severe consequences. Although rare compared to other endoscopic retrograde cholangiopancreatography-related complications, duodenal perforation due to stent migration carries a significant risk of morbidity and mortality. While biliary stenting is often considered a less invasive alternative to surgery, timely recognition and management of potential complications remain crucial. We present a case of duodenal perforation due to biliary stent migration in a 49-year-old woman following laparoscopic cholecystectomy, emphasizing the effectiveness of conservative management, including the key role of interventional radiology, in selected patients.

Abstract Image

Abstract Image

Abstract Image

胆道支架移位后腹膜后十二指肠穿孔:1例报告及保守治疗回顾。
内镜下胆道支架置入术是胆囊切除术后胆管损伤的一种广泛采用的技术。然而,它的并发症可能会产生严重的后果。虽然与其他内窥镜逆行胆管造影相关的并发症相比罕见,但由于支架迁移引起的十二指肠穿孔具有显著的发病率和死亡率风险。虽然胆道支架植入术通常被认为是一种比手术侵入性更小的选择,但及时识别和处理潜在的并发症仍然至关重要。我们报告了一例49岁女性腹腔镜胆囊切除术后因胆道支架移位导致的十二指肠穿孔,强调了保守治疗的有效性,包括介入放射学在选定患者中的关键作用。
本文章由计算机程序翻译,如有差异,请以英文原文为准。
求助全文
约1分钟内获得全文 求助全文
来源期刊
CiteScore
1.20
自引率
0.00%
发文量
16
×
引用
GB/T 7714-2015
复制
MLA
复制
APA
复制
导出至
BibTeX EndNote RefMan NoteFirst NoteExpress
×
提示
您的信息不完整,为了账户安全,请先补充。
现在去补充
×
提示
您因"违规操作"
具体请查看互助需知
我知道了
×
提示
确定
请完成安全验证×
copy
已复制链接
快去分享给好友吧!
我知道了
右上角分享
点击右上角分享
0
联系我们:info@booksci.cn Book学术提供免费学术资源搜索服务,方便国内外学者检索中英文文献。致力于提供最便捷和优质的服务体验。 Copyright © 2023 布克学术 All rights reserved.
京ICP备2023020795号-1
ghs 京公网安备 11010802042870号
Book学术文献互助
Book学术文献互助群
群 号:604180095
Book学术官方微信