Ligneous periodontitis: A molecularly confirmed case of type I plasminogen deficiency.

Q2 Dentistry
Atanur Sarioglu, Kubra Ugurlu, Meltem Karaman, Taner Karakaya, Tugrul Kirtiloglu, Ayse Zeynep Zengin
{"title":"Ligneous periodontitis: A molecularly confirmed case of type I plasminogen deficiency.","authors":"Atanur Sarioglu, Kubra Ugurlu, Meltem Karaman, Taner Karakaya, Tugrul Kirtiloglu, Ayse Zeynep Zengin","doi":"10.4317/jced.62773","DOIUrl":null,"url":null,"abstract":"<p><p>Congenital plasminogen (PLG) deficiency is an exceptionally uncommon hereditary disease associated with biallelic pathogenic / likely pathogenic variants in the PLG gene. Ligneous periodontitis (LP) is a rare disorder that can occur as a result of a lack of plasminogen. It is defined by the presence of lobulated, membranous, and ulcerated masses in the gums, as well as significant damage to the surrounding bone. This case report presents the diagnosis, treatment, and follow-up outcomes of a 23-year-old male patient who referred to our clinic with a complaint of widespread gingival enlargement. We identified a novel c.2087G>C (p.Arg696Pro) variant with a known variant detected in a compound heterozygous state in PLG confirming the molecular etiology. This case report emphasizes the importance of dentists identifying oral manifestations of various systemic diseases. Careful examination of such findings and the timely referral of patients to appropriate specialists for diagnosis and treatment are of critical significance. <b>Key words:</b>Ligneous periodontitis, plasminogen deficiency, genetic confirmation, histopathological diagnosis.</p>","PeriodicalId":15376,"journal":{"name":"Journal of Clinical and Experimental Dentistry","volume":"17 6","pages":"e752-e755"},"PeriodicalIF":0.0000,"publicationDate":"2025-06-01","publicationTypes":"Journal Article","fieldsOfStudy":null,"isOpenAccess":false,"openAccessPdf":"https://www.ncbi.nlm.nih.gov/pmc/articles/PMC12225767/pdf/","citationCount":"0","resultStr":null,"platform":"Semanticscholar","paperid":null,"PeriodicalName":"Journal of Clinical and Experimental Dentistry","FirstCategoryId":"1085","ListUrlMain":"https://doi.org/10.4317/jced.62773","RegionNum":0,"RegionCategory":null,"ArticlePicture":[],"TitleCN":null,"AbstractTextCN":null,"PMCID":null,"EPubDate":"","PubModel":"","JCR":"Q2","JCRName":"Dentistry","Score":null,"Total":0}
引用次数: 0

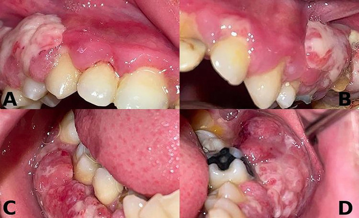
Abstract

Congenital plasminogen (PLG) deficiency is an exceptionally uncommon hereditary disease associated with biallelic pathogenic / likely pathogenic variants in the PLG gene. Ligneous periodontitis (LP) is a rare disorder that can occur as a result of a lack of plasminogen. It is defined by the presence of lobulated, membranous, and ulcerated masses in the gums, as well as significant damage to the surrounding bone. This case report presents the diagnosis, treatment, and follow-up outcomes of a 23-year-old male patient who referred to our clinic with a complaint of widespread gingival enlargement. We identified a novel c.2087G>C (p.Arg696Pro) variant with a known variant detected in a compound heterozygous state in PLG confirming the molecular etiology. This case report emphasizes the importance of dentists identifying oral manifestations of various systemic diseases. Careful examination of such findings and the timely referral of patients to appropriate specialists for diagnosis and treatment are of critical significance. Key words:Ligneous periodontitis, plasminogen deficiency, genetic confirmation, histopathological diagnosis.

Abstract Image

Abstract Image

Abstract Image

木质牙周炎:1型纤溶酶原缺乏的分子确诊病例。
先天性纤溶酶原(PLG)缺乏症是一种罕见的遗传性疾病,与PLG基因的双等位基因致病性/可能致病性变异有关。木性牙周炎(LP)是一种罕见的疾病,可发生由于缺乏纤溶酶原。它的定义是牙龈中存在分叶状、膜状和溃疡性肿块,以及周围骨骼的明显损伤。本病例报告介绍了一位23岁男性患者的诊断、治疗和随访结果,他以广泛性牙龈肿大就诊。我们发现了一种新的C . 2087g >C (p.a g696pro)变异,在PLG中检测到一种已知的复合杂合状态的变异,证实了分子病因。本病例报告强调牙医识别各种全身疾病的口腔表现的重要性。仔细检查这些发现并及时将患者转介给适当的专家进行诊断和治疗是至关重要的。关键词:木质牙周炎,纤溶酶原缺乏,遗传证实,组织病理学诊断。
本文章由计算机程序翻译,如有差异,请以英文原文为准。
求助全文
约1分钟内获得全文 求助全文
来源期刊
CiteScore
2.70
自引率
0.00%
发文量
118
期刊介绍: Indexed in PUBMED, PubMed Central® (PMC) since 2012 and SCOPUSJournal of Clinical and Experimental Dentistry is an Open Access (free access on-line) - http://www.medicinaoral.com/odo/indice.htm. The aim of the Journal of Clinical and Experimental Dentistry is: - Periodontology - Community and Preventive Dentistry - Esthetic Dentistry - Biomaterials and Bioengineering in Dentistry - Operative Dentistry and Endodontics - Prosthetic Dentistry - Orthodontics - Oral Medicine and Pathology - Odontostomatology for the disabled or special patients - Oral Surgery
×
引用
GB/T 7714-2015
复制
MLA
复制
APA
复制
导出至
BibTeX EndNote RefMan NoteFirst NoteExpress
×
提示
您的信息不完整,为了账户安全,请先补充。
现在去补充
×
提示
您因"违规操作"
具体请查看互助需知
我知道了
×
提示
确定
请完成安全验证×
copy
已复制链接
快去分享给好友吧!
我知道了
右上角分享
点击右上角分享
0
联系我们:info@booksci.cn Book学术提供免费学术资源搜索服务,方便国内外学者检索中英文文献。致力于提供最便捷和优质的服务体验。 Copyright © 2023 布克学术 All rights reserved.
京ICP备2023020795号-1
ghs 京公网安备 11010802042870号
Book学术文献互助
Book学术文献互助群
群 号:604180095
Book学术官方微信