Valsalva Retinopathy in Pregnancy: A Case Report and Review of the Literature.

IF 0.7 Q3 MEDICINE, GENERAL & INTERNAL
International Medical Case Reports Journal Pub Date : 2025-06-30 eCollection Date: 2025-01-01 DOI:10.2147/IMCRJ.S524362
Brenda Zhou, Faiza Sarwar, Noy Ashkenazy
{"title":"Valsalva Retinopathy in Pregnancy: A Case Report and Review of the Literature.","authors":"Brenda Zhou, Faiza Sarwar, Noy Ashkenazy","doi":"10.2147/IMCRJ.S524362","DOIUrl":null,"url":null,"abstract":"<p><p>The current case report and literature review evaluate the management and optimal mode of delivery for Valsalva retinopathy in pregnancy. A 30-year-old primigravid female was discussed presenting with Valsalva retinopathy in the left eye at 35 weeks of gestation after dry heaving with a visual acuity of 20/200. Four weeks after cesarean-section, she had worse central vision and improving residual hemorrhage. A literature review of 25 Valsalva retinopathy cases showed all patients treated with laser posterior hyaloidotomy or pars plana vitrectomy achieved complete resolution (median of 1.5 weeks, p = 0.08), compared to 67% of untreated eyes (median of 5 months, p = 0.08). Average final visual acuity was 20/30 for the treated and untreated cohorts. Intervention may result in faster recovery time but with similar final visual acuity. Four (15%) cases of Valsalva retinopathy were incited by vaginal delivery. However, neither vaginal delivery nor cesarean section resulted in recurrence/worsening of premacular hemorrhage. These findings may help guide treatment of challenging Valsalva retinopathy cases in pregnancy.</p>","PeriodicalId":14337,"journal":{"name":"International Medical Case Reports Journal","volume":"18 ","pages":"777-784"},"PeriodicalIF":0.7000,"publicationDate":"2025-06-30","publicationTypes":"Journal Article","fieldsOfStudy":null,"isOpenAccess":false,"openAccessPdf":"https://www.ncbi.nlm.nih.gov/pmc/articles/PMC12227002/pdf/","citationCount":"0","resultStr":null,"platform":"Semanticscholar","paperid":null,"PeriodicalName":"International Medical Case Reports Journal","FirstCategoryId":"1085","ListUrlMain":"https://doi.org/10.2147/IMCRJ.S524362","RegionNum":0,"RegionCategory":null,"ArticlePicture":[],"TitleCN":null,"AbstractTextCN":null,"PMCID":null,"EPubDate":"2025/1/1 0:00:00","PubModel":"eCollection","JCR":"Q3","JCRName":"MEDICINE, GENERAL & INTERNAL","Score":null,"Total":0}
引用次数: 0

Abstract

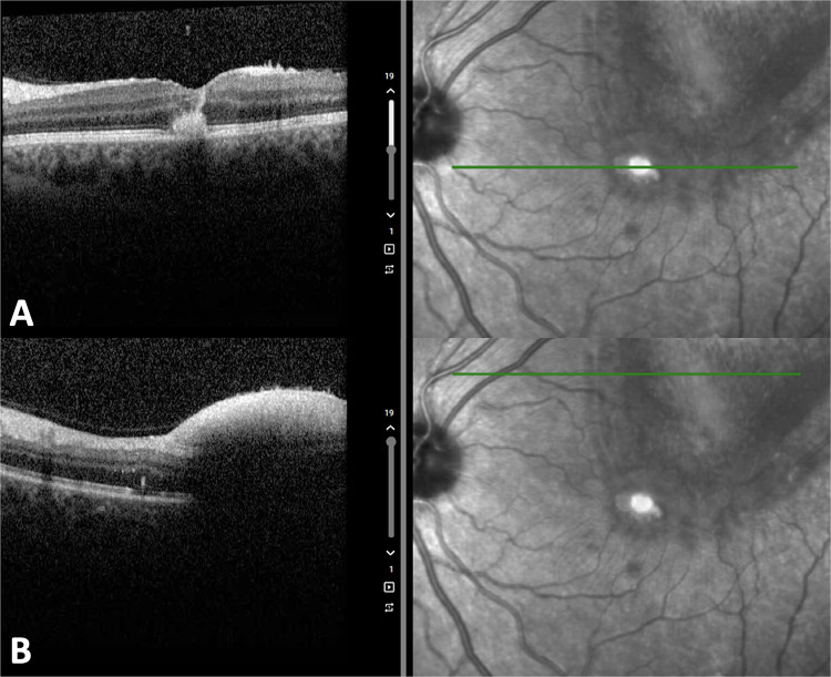
The current case report and literature review evaluate the management and optimal mode of delivery for Valsalva retinopathy in pregnancy. A 30-year-old primigravid female was discussed presenting with Valsalva retinopathy in the left eye at 35 weeks of gestation after dry heaving with a visual acuity of 20/200. Four weeks after cesarean-section, she had worse central vision and improving residual hemorrhage. A literature review of 25 Valsalva retinopathy cases showed all patients treated with laser posterior hyaloidotomy or pars plana vitrectomy achieved complete resolution (median of 1.5 weeks, p = 0.08), compared to 67% of untreated eyes (median of 5 months, p = 0.08). Average final visual acuity was 20/30 for the treated and untreated cohorts. Intervention may result in faster recovery time but with similar final visual acuity. Four (15%) cases of Valsalva retinopathy were incited by vaginal delivery. However, neither vaginal delivery nor cesarean section resulted in recurrence/worsening of premacular hemorrhage. These findings may help guide treatment of challenging Valsalva retinopathy cases in pregnancy.

Abstract Image

Abstract Image

妊娠期Valsalva视网膜病变1例报告及文献复习。
目前的病例报告和文献综述评价妊娠期Valsalva视网膜病变的管理和最佳分娩方式。本文报告一位30岁的原发女性,在妊娠35周时因干胀而出现左眼Valsalva视网膜病变,视力为20/200。剖宫产4周后,患者中央视力下降,残余出血改善。对25例Valsalva视网膜病变病例的文献回顾显示,所有接受激光后玻璃体切开术或玻璃体平面部切除术的患者均获得完全消退(中位时间为1.5周,p = 0.08),而未接受治疗的患者有67%(中位时间为5个月,p = 0.08)。治疗组和未治疗组的平均最终视力为20/30。干预可能导致更快的恢复时间,但最终视力相似。4例(15%)Valsalva视网膜病变是由阴道分娩引起的。然而,阴道分娩和剖宫产均未导致黄斑前出血复发/恶化。这些发现可能有助于指导妊娠期Valsalva视网膜病变病例的治疗。
本文章由计算机程序翻译,如有差异,请以英文原文为准。
求助全文
约1分钟内获得全文 求助全文
来源期刊
International Medical Case Reports Journal
International Medical Case Reports Journal MEDICINE, GENERAL & INTERNAL-
CiteScore
1.40
自引率
0.00%
发文量
135
审稿时长
16 weeks
期刊介绍: International Medical Case Reports Journal is an international, peer-reviewed, open access, online journal publishing original case reports from all medical specialties. Submissions should not normally exceed 3,000 words or 4 published pages including figures, diagrams and references. As of 1st April 2019, the International Medical Case Reports Journal will no longer consider meta-analyses for publication.
×
引用
GB/T 7714-2015
复制
MLA
复制
APA
复制
导出至
BibTeX EndNote RefMan NoteFirst NoteExpress
×
提示
您的信息不完整,为了账户安全,请先补充。
现在去补充
×
提示
您因"违规操作"
具体请查看互助需知
我知道了
×
提示
确定
请完成安全验证×
copy
已复制链接
快去分享给好友吧!
我知道了
右上角分享
点击右上角分享
0
联系我们:info@booksci.cn Book学术提供免费学术资源搜索服务,方便国内外学者检索中英文文献。致力于提供最便捷和优质的服务体验。 Copyright © 2023 布克学术 All rights reserved.
京ICP备2023020795号-1
ghs 京公网安备 11010802042870号
Book学术文献互助
Book学术文献互助群
群 号:604180095
Book学术官方微信