Molecular profile PCR array of regenerative therapy (PRP, PRF& CpG-ODN) in wound healing of diabetic dogs.

IF 2.6 2区 农林科学 Q1 VETERINARY SCIENCES
Olla A Khalifa, A M Alakraa, A H Elkasapy
{"title":"Molecular profile PCR array of regenerative therapy (PRP, PRF& CpG-ODN) in wound healing of diabetic dogs.","authors":"Olla A Khalifa, A M Alakraa, A H Elkasapy","doi":"10.1186/s12917-025-04892-9","DOIUrl":null,"url":null,"abstract":"<p><p>This study's aim is to validate differential wound healing genes expression in canine with diabetes using regenerative medicine such as PRP, PRF, and CpG oligodeoxynucleotides (ODN), for these purpose thirty six diabetic dogs were used and subdivided into 6 groups (6 dogs each) with full-thickness incisional wounds, wound healing was evaluated with a focus on histological changes in wound tissue and gene expression after 3 weeks. The molecular mechanism of wound healing responding to different treatments in dogs were done using the new molecular technique RT2 Profiler PCR array (Qiagen), which enables us to view a focused panel of genes (84 genes) responsible for wound healing. CpG-ODN contributes to low cellular infiltration; PRP improves diabetic wound closure rapidly. The study illustrated that the healing rate was higher in the PRP & CpG-ODN. The animal in this group showed a clinically higher contraction rate of the wound area, upregulates 37 genes responsible for wound healing and downregulates ten genes for the same purpose, also marked collagen production were observed with complete epithelialization. Our study concluded that PRP & CpG-ODN was superior to PRF & CpG-ODN, PRP, PRF, CpG-ODN, and the control group, respectively, for enhancing wound healing in diabetic dogs.</p>","PeriodicalId":9041,"journal":{"name":"BMC Veterinary Research","volume":"21 1","pages":"444"},"PeriodicalIF":2.6000,"publicationDate":"2025-07-07","publicationTypes":"Journal Article","fieldsOfStudy":null,"isOpenAccess":false,"openAccessPdf":"https://www.ncbi.nlm.nih.gov/pmc/articles/PMC12232839/pdf/","citationCount":"0","resultStr":null,"platform":"Semanticscholar","paperid":null,"PeriodicalName":"BMC Veterinary Research","FirstCategoryId":"97","ListUrlMain":"https://doi.org/10.1186/s12917-025-04892-9","RegionNum":2,"RegionCategory":"农林科学","ArticlePicture":[],"TitleCN":null,"AbstractTextCN":null,"PMCID":null,"EPubDate":"","PubModel":"","JCR":"Q1","JCRName":"VETERINARY SCIENCES","Score":null,"Total":0}
引用次数: 0

Abstract

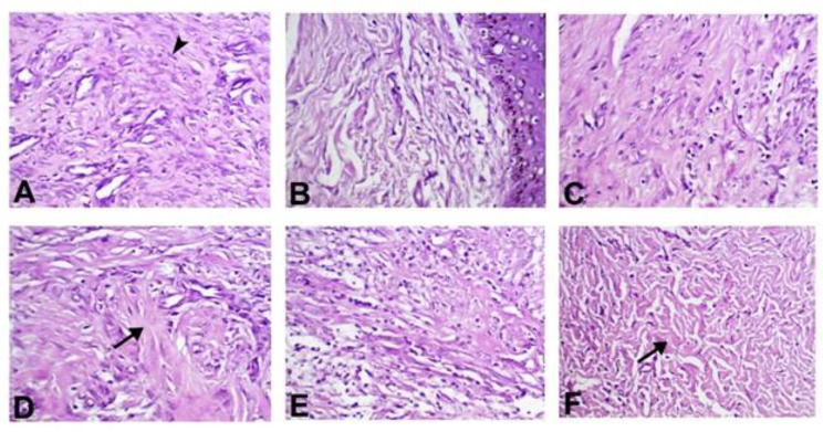
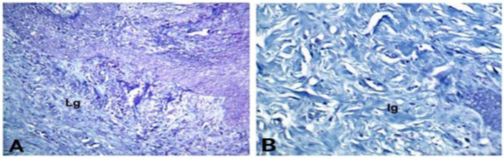
This study's aim is to validate differential wound healing genes expression in canine with diabetes using regenerative medicine such as PRP, PRF, and CpG oligodeoxynucleotides (ODN), for these purpose thirty six diabetic dogs were used and subdivided into 6 groups (6 dogs each) with full-thickness incisional wounds, wound healing was evaluated with a focus on histological changes in wound tissue and gene expression after 3 weeks. The molecular mechanism of wound healing responding to different treatments in dogs were done using the new molecular technique RT2 Profiler PCR array (Qiagen), which enables us to view a focused panel of genes (84 genes) responsible for wound healing. CpG-ODN contributes to low cellular infiltration; PRP improves diabetic wound closure rapidly. The study illustrated that the healing rate was higher in the PRP & CpG-ODN. The animal in this group showed a clinically higher contraction rate of the wound area, upregulates 37 genes responsible for wound healing and downregulates ten genes for the same purpose, also marked collagen production were observed with complete epithelialization. Our study concluded that PRP & CpG-ODN was superior to PRF & CpG-ODN, PRP, PRF, CpG-ODN, and the control group, respectively, for enhancing wound healing in diabetic dogs.

Abstract Image

Abstract Image

Abstract Image

再生治疗(PRP, prf和CpG-ODN)在糖尿病犬伤口愈合中的分子谱PCR阵列。
本研究的目的是利用再生药物如PRP、PRF和CpG寡脱氧核苷酸(ODN)来验证糖尿病犬伤口愈合基因的差异表达。为此,我们使用36只糖尿病犬,并将其分为6组(每组6只),全层切口伤口,在3周后评估伤口愈合情况,重点关注伤口组织的组织学变化和基因表达。我们利用新的分子技术RT2 Profiler PCR阵列(Qiagen)研究了不同治疗下狗伤口愈合的分子机制,该技术使我们能够观察到负责伤口愈合的集中基因面板(84个基因)。CpG-ODN有助于低细胞浸润;PRP可快速改善糖尿病伤口愈合。研究表明,PRP和CpG-ODN的愈合率更高。本组动物在临床表现出较高的创面收缩率,上调37个负责创面愈合的基因,下调10个负责创面愈合的基因,并观察到明显的胶原生成和完全的上皮化。我们的研究表明,PRP + CpG-ODN分别优于PRF + CpG-ODN、PRP、PRF、CpG-ODN和对照组对糖尿病犬伤口愈合的促进作用。
本文章由计算机程序翻译,如有差异,请以英文原文为准。
求助全文
约1分钟内获得全文 求助全文
来源期刊
BMC Veterinary Research
BMC Veterinary Research VETERINARY SCIENCES-
CiteScore
4.80
自引率
3.80%
发文量
420
审稿时长
3-6 weeks
期刊介绍: BMC Veterinary Research is an open access, peer-reviewed journal that considers articles on all aspects of veterinary science and medicine, including the epidemiology, diagnosis, prevention and treatment of medical conditions of domestic, companion, farm and wild animals, as well as the biomedical processes that underlie their health.
×
引用
GB/T 7714-2015
复制
MLA
复制
APA
复制
导出至
BibTeX EndNote RefMan NoteFirst NoteExpress
×
提示
您的信息不完整,为了账户安全,请先补充。
现在去补充
×
提示
您因"违规操作"
具体请查看互助需知
我知道了
×
提示
确定
请完成安全验证×
copy
已复制链接
快去分享给好友吧!
我知道了
右上角分享
点击右上角分享
0
联系我们:info@booksci.cn Book学术提供免费学术资源搜索服务,方便国内外学者检索中英文文献。致力于提供最便捷和优质的服务体验。 Copyright © 2023 布克学术 All rights reserved.
京ICP备2023020795号-1
ghs 京公网安备 11010802042870号
Book学术文献互助
Book学术文献互助群
群 号:604180095
Book学术官方微信