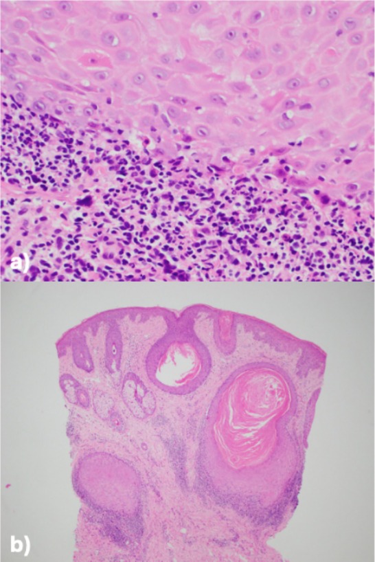
Lichen Planus Follicularis Tumidus.

IF 1.8 4区 医学 Q2 DERMATOLOGY
Australasian Journal of Dermatology Pub Date : 2025-08-01 Epub Date: 2025-07-07 DOI:10.1111/ajd.14545
A I Oloruntoba, Saurabh Prakash, Ryan Toholka
{"title":"Lichen Planus Follicularis Tumidus.","authors":"A I Oloruntoba, Saurabh Prakash, Ryan Toholka","doi":"10.1111/ajd.14545","DOIUrl":null,"url":null,"abstract":"","PeriodicalId":8638,"journal":{"name":"Australasian Journal of Dermatology","volume":" ","pages":"e316-e318"},"PeriodicalIF":1.8000,"publicationDate":"2025-08-01","publicationTypes":"Journal Article","fieldsOfStudy":null,"isOpenAccess":false,"openAccessPdf":"https://www.ncbi.nlm.nih.gov/pmc/articles/PMC12334802/pdf/","citationCount":"0","resultStr":null,"platform":"Semanticscholar","paperid":null,"PeriodicalName":"Australasian Journal of Dermatology","FirstCategoryId":"3","ListUrlMain":"https://doi.org/10.1111/ajd.14545","RegionNum":4,"RegionCategory":"医学","ArticlePicture":[],"TitleCN":null,"AbstractTextCN":null,"PMCID":null,"EPubDate":"2025/7/7 0:00:00","PubModel":"Epub","JCR":"Q2","JCRName":"DERMATOLOGY","Score":null,"Total":0}
引用次数: 0

Abstract Image

Abstract Image

求助全文
约1分钟内获得全文 求助全文
来源期刊
CiteScore
3.20
自引率
5.00%
发文量
186
审稿时长
6-12 weeks
期刊介绍: Australasian Journal of Dermatology is the official journal of the Australasian College of Dermatologists and the New Zealand Dermatological Society, publishing peer-reviewed, original research articles, reviews and case reports dealing with all aspects of clinical practice and research in dermatology. Clinical presentations, medical and physical therapies and investigations, including dermatopathology and mycology, are covered. Short articles may be published under the headings ‘Signs, Syndromes and Diagnoses’, ‘Dermatopathology Presentation’, ‘Vignettes in Contact Dermatology’, ‘Surgery Corner’ or ‘Letters to the Editor’.
×
引用
GB/T 7714-2015
复制
MLA
复制
APA
复制
导出至
BibTeX EndNote RefMan NoteFirst NoteExpress
×
提示
您的信息不完整,为了账户安全,请先补充。
现在去补充
×
提示
您因"违规操作"
具体请查看互助需知
我知道了
×
提示
确定
请完成安全验证×
copy
已复制链接
快去分享给好友吧!
我知道了
右上角分享
点击右上角分享
0
联系我们:info@booksci.cn Book学术提供免费学术资源搜索服务,方便国内外学者检索中英文文献。致力于提供最便捷和优质的服务体验。 Copyright © 2023 布克学术 All rights reserved.
京ICP备2023020795号-1
ghs 京公网安备 11010802042870号
Book学术文献互助
Book学术文献互助群
群 号:604180095
Book学术官方微信