Revisiting angiomyolipomas: The significance of a rich blood supply on imaging for risk-adapted decision making.

IF 2.1 3区 医学 Q2 UROLOGY & NEPHROLOGY
David Alonso López Curtis, Alberto Artiles Medina, José Daniel Subiela, Ana Fernández-Mardomingo Díaz, Fernando González Tello, Alfonso Muriel García, Irene de la Parra Sánchez, César Mínguez Ojeda, Miguel Ángel Jiménez Cidre, Victoria Gómez Dos Santos, Francisco Javier Burgos Revilla
{"title":"Revisiting angiomyolipomas: The significance of a rich blood supply on imaging for risk-adapted decision making.","authors":"David Alonso López Curtis, Alberto Artiles Medina, José Daniel Subiela, Ana Fernández-Mardomingo Díaz, Fernando González Tello, Alfonso Muriel García, Irene de la Parra Sánchez, César Mínguez Ojeda, Miguel Ángel Jiménez Cidre, Victoria Gómez Dos Santos, Francisco Javier Burgos Revilla","doi":"10.4111/icu.20250059","DOIUrl":null,"url":null,"abstract":"<p><strong>Purpose: </strong>Active surveillance is the preferred management for most renal angiomyolipomas (AMLs) but no risk-adapted follow-up strategy has been established. We aimed to assess the dynamics associated with hemorrhagic complications (HC) and tumor growth (TG) at long-term follow-up of AMLs.</p><p><strong>Materials and methods: </strong>A single-center retrospective study was conducted, enrolling patients with an AML diagnosed by computed tomography or magnetic resonance imaging. Kaplan-Meier analyses were performed to estimate HC risk and multivariate logistic regression analyses were carried out to evaluate predictors of TG and HC.</p><p><strong>Results: </strong>A total of 150 patients were included. The median follow-up was 64.5 months (interquartile range [IQR] 25-102). Median tumor size at diagnosis was 14 mm (IQR 8-26). During follow-up, 12 patients (8.0%) required selective angioembolization, including 6 in whom the procedure was urgent due to spontaneous bleeding. At 5 years of follow-up, we found a 4.5% risk of HC and 3.6% of patients had a clinically significant growth rate of ≥3 mm/year. The existence of a rich blood supply (odds ratio [OR] 11.10, 95% confidence interval [CI] 1.68-23.54), and the size of AMLs at diagnosis (OR 1.02, 95% CI 1.01-1.04) were predictors for HC.</p><p><strong>Conclusions: </strong>Renal AMLs have a minimal size progression and a very low risk of HC, allowing use of active surveillance as a first-line approach. Imaging features, such as the existence of a rich blood supply, could be useful in identifying patients at higher risk of bleeding for the purpose of risk-adapted decision making.</p>","PeriodicalId":14522,"journal":{"name":"Investigative and Clinical Urology","volume":"66 4","pages":"285-294"},"PeriodicalIF":2.1000,"publicationDate":"2025-07-01","publicationTypes":"Journal Article","fieldsOfStudy":null,"isOpenAccess":false,"openAccessPdf":"https://www.ncbi.nlm.nih.gov/pmc/articles/PMC12277917/pdf/","citationCount":"0","resultStr":null,"platform":"Semanticscholar","paperid":null,"PeriodicalName":"Investigative and Clinical Urology","FirstCategoryId":"3","ListUrlMain":"https://doi.org/10.4111/icu.20250059","RegionNum":3,"RegionCategory":"医学","ArticlePicture":[],"TitleCN":null,"AbstractTextCN":null,"PMCID":null,"EPubDate":"","PubModel":"","JCR":"Q2","JCRName":"UROLOGY & NEPHROLOGY","Score":null,"Total":0}
引用次数: 0

Abstract

Purpose: Active surveillance is the preferred management for most renal angiomyolipomas (AMLs) but no risk-adapted follow-up strategy has been established. We aimed to assess the dynamics associated with hemorrhagic complications (HC) and tumor growth (TG) at long-term follow-up of AMLs.

Materials and methods: A single-center retrospective study was conducted, enrolling patients with an AML diagnosed by computed tomography or magnetic resonance imaging. Kaplan-Meier analyses were performed to estimate HC risk and multivariate logistic regression analyses were carried out to evaluate predictors of TG and HC.

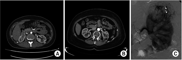
Results: A total of 150 patients were included. The median follow-up was 64.5 months (interquartile range [IQR] 25-102). Median tumor size at diagnosis was 14 mm (IQR 8-26). During follow-up, 12 patients (8.0%) required selective angioembolization, including 6 in whom the procedure was urgent due to spontaneous bleeding. At 5 years of follow-up, we found a 4.5% risk of HC and 3.6% of patients had a clinically significant growth rate of ≥3 mm/year. The existence of a rich blood supply (odds ratio [OR] 11.10, 95% confidence interval [CI] 1.68-23.54), and the size of AMLs at diagnosis (OR 1.02, 95% CI 1.01-1.04) were predictors for HC.

Conclusions: Renal AMLs have a minimal size progression and a very low risk of HC, allowing use of active surveillance as a first-line approach. Imaging features, such as the existence of a rich blood supply, could be useful in identifying patients at higher risk of bleeding for the purpose of risk-adapted decision making.

Abstract Image

Abstract Image

Abstract Image

重访血管平滑肌脂肪瘤:富血供对风险适应决策成像的意义。
目的:主动监测是大多数肾血管平滑肌脂肪瘤(AMLs)的首选治疗方法,但尚未建立适合风险的随访策略。我们的目的是在AMLs的长期随访中评估与出血性并发症(HC)和肿瘤生长(TG)相关的动力学。材料和方法:进行了一项单中心回顾性研究,纳入了通过计算机断层扫描或磁共振成像诊断的AML患者。采用Kaplan-Meier分析估计HC风险,采用多变量logistic回归分析评估TG和HC的预测因素。结果:共纳入150例患者。中位随访时间为64.5个月(四分位数间距[IQR] 25-102)。诊断时肿瘤中位大小为14 mm (IQR 8-26)。随访期间,12例(8.0%)患者需要选择性血管栓塞,其中6例因自发性出血而紧急手术。在5年的随访中,我们发现HC的风险为4.5%,3.6%的患者临床显著增长率≥3mm /年。存在丰富的血液供应(比值比[OR] 11.10, 95%可信区间[CI] 1.68-23.54)和诊断时aml的大小(比值比[OR] 1.02, 95% CI 1.01-1.04)是HC的预测因素。结论:肾脏aml具有最小的尺寸进展和非常低的HC风险,允许使用主动监测作为一线方法。成像特征,如是否存在丰富的血液供应,可能有助于识别出血风险较高的患者,从而做出适应风险的决策。
本文章由计算机程序翻译,如有差异,请以英文原文为准。
求助全文
约1分钟内获得全文 求助全文
来源期刊
CiteScore
4.10
自引率
4.30%
发文量
82
审稿时长
4 weeks
期刊介绍: Investigative and Clinical Urology (Investig Clin Urol, ICUrology) is an international, peer-reviewed, platinum open access journal published bimonthly. ICUrology aims to provide outstanding scientific and clinical research articles, that will advance knowledge and understanding of urological diseases and current therapeutic treatments. ICUrology publishes Original Articles, Rapid Communications, Review Articles, Special Articles, Innovations in Urology, Editorials, and Letters to the Editor, with a focus on the following areas of expertise: • Precision Medicine in Urology • Urological Oncology • Robotics/Laparoscopy • Endourology/Urolithiasis • Lower Urinary Tract Dysfunction • Female Urology • Sexual Dysfunction/Infertility • Infection/Inflammation • Reconstruction/Transplantation • Geriatric Urology • Pediatric Urology • Basic/Translational Research One of the notable features of ICUrology is the application of multimedia platforms facilitating easy-to-access online video clips of newly developed surgical techniques from the journal''s website, by a QR (quick response) code located in the article, or via YouTube. ICUrology provides current and highly relevant knowledge to a broad audience at the cutting edge of urological research and clinical practice.
×
引用
GB/T 7714-2015
复制
MLA
复制
APA
复制
导出至
BibTeX EndNote RefMan NoteFirst NoteExpress
×
提示
您的信息不完整,为了账户安全,请先补充。
现在去补充
×
提示
您因"违规操作"
具体请查看互助需知
我知道了
×
提示
确定
请完成安全验证×
copy
已复制链接
快去分享给好友吧!
我知道了
右上角分享
点击右上角分享
0
联系我们:info@booksci.cn Book学术提供免费学术资源搜索服务,方便国内外学者检索中英文文献。致力于提供最便捷和优质的服务体验。 Copyright © 2023 布克学术 All rights reserved.
京ICP备2023020795号-1
ghs 京公网安备 11010802042870号
Book学术文献互助
Book学术文献互助群
群 号:604180095
Book学术官方微信