Nonoperative management of terrible triad injuries: clinical outcomes of 39 cases.

IF 1.7 Q2 ORTHOPEDICS
Shai Factor, Sagi Kaz, Tamir Pritsch, Gilad Eisenberg, Ron Gurel, Yishai Rosenblatt
{"title":"Nonoperative management of terrible triad injuries: clinical outcomes of 39 cases.","authors":"Shai Factor, Sagi Kaz, Tamir Pritsch, Gilad Eisenberg, Ron Gurel, Yishai Rosenblatt","doi":"10.5397/cise.2025.00381","DOIUrl":null,"url":null,"abstract":"<p><strong>Background: </strong>Terrible triad injury (TTI) poses therapeutic challenges in joint stability and functional recovery. While surgery has traditionally been preferred, recent interest in nonoperative management for select cases has emerged, with studies suggesting positive outcomes for carefully chosen patients.</p><p><strong>Methods: </strong>This retrospective study, conducted at a tertiary medical center, included patients treated conservatively for TTI between 2014 and 2022. Patients younger than 18 years with open or pathological fractures or multiple injuries were excluded. Conservative treatment was chosen for elbows with good alignment, minimal displacement, and no motion block. Progress was monitored clinically and radiographically. Functional outcomes were assessed using the Mayo Elbow Performance Score (MEPS) and Disabilities of the Arm, Shoulder, and Hand (DASH) score.</p><p><strong>Results: </strong>Thirty-nine patients (59% male; mean age, 44.7±18.3 years) were included, with a mean follow-up of 78.5±29.4 months. Falls (46%) and scooter accidents (36%) were the primary injury mechanisms. Radial head fractures comprised Mason type 1 (36%), type 2 (54%), and type 3 (10%), while coronoid fractures were Regan-Morrey type 1 (69%), type 2 (28%), or type 3 (3%). Final range of motion averaged 128.2° flexion, with an 8.2° extension deficit and 85° forearm rotation. The MEPS was excellent in 11, good in 19, and fair in 9 patients; the mean DASH score among all fractures was 12.6. Five patients (13%) required subsequent surgery, and mechanical clicking was reported in 16 patients (41%).</p><p><strong>Conclusions: </strong>Nonoperative treatment of TTI might be a viable option for selected patients, yielding generally satisfactory outcomes and an acceptable complication rate. Level of evidence: IV.</p>","PeriodicalId":33981,"journal":{"name":"Clinics in Shoulder and Elbow","volume":" ","pages":""},"PeriodicalIF":1.7000,"publicationDate":"2025-07-02","publicationTypes":"Journal Article","fieldsOfStudy":null,"isOpenAccess":false,"openAccessPdf":"https://www.ncbi.nlm.nih.gov/pmc/articles/PMC12415446/pdf/","citationCount":"0","resultStr":null,"platform":"Semanticscholar","paperid":null,"PeriodicalName":"Clinics in Shoulder and Elbow","FirstCategoryId":"1085","ListUrlMain":"https://doi.org/10.5397/cise.2025.00381","RegionNum":0,"RegionCategory":null,"ArticlePicture":[],"TitleCN":null,"AbstractTextCN":null,"PMCID":null,"EPubDate":"","PubModel":"","JCR":"Q2","JCRName":"ORTHOPEDICS","Score":null,"Total":0}
引用次数: 0

Abstract

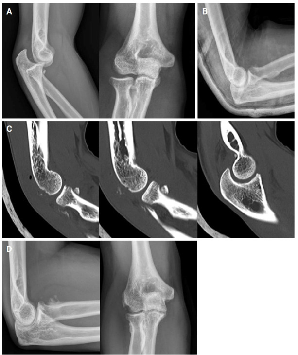
Background: Terrible triad injury (TTI) poses therapeutic challenges in joint stability and functional recovery. While surgery has traditionally been preferred, recent interest in nonoperative management for select cases has emerged, with studies suggesting positive outcomes for carefully chosen patients.

Methods: This retrospective study, conducted at a tertiary medical center, included patients treated conservatively for TTI between 2014 and 2022. Patients younger than 18 years with open or pathological fractures or multiple injuries were excluded. Conservative treatment was chosen for elbows with good alignment, minimal displacement, and no motion block. Progress was monitored clinically and radiographically. Functional outcomes were assessed using the Mayo Elbow Performance Score (MEPS) and Disabilities of the Arm, Shoulder, and Hand (DASH) score.

Results: Thirty-nine patients (59% male; mean age, 44.7±18.3 years) were included, with a mean follow-up of 78.5±29.4 months. Falls (46%) and scooter accidents (36%) were the primary injury mechanisms. Radial head fractures comprised Mason type 1 (36%), type 2 (54%), and type 3 (10%), while coronoid fractures were Regan-Morrey type 1 (69%), type 2 (28%), or type 3 (3%). Final range of motion averaged 128.2° flexion, with an 8.2° extension deficit and 85° forearm rotation. The MEPS was excellent in 11, good in 19, and fair in 9 patients; the mean DASH score among all fractures was 12.6. Five patients (13%) required subsequent surgery, and mechanical clicking was reported in 16 patients (41%).

Conclusions: Nonoperative treatment of TTI might be a viable option for selected patients, yielding generally satisfactory outcomes and an acceptable complication rate. Level of evidence: IV.

Abstract Image

Abstract Image

恐怖三联征损伤的非手术治疗:39例临床结果分析。
背景:可怕的三联性损伤(TTI)在关节稳定性和功能恢复方面提出了治疗挑战。虽然手术传统上是首选,但最近对特定病例的非手术治疗的兴趣已经出现,研究表明精心挑选的患者有积极的结果。方法:本回顾性研究在三级医疗中心进行,纳入了2014年至2022年间因TTI接受保守治疗的患者。年龄小于18岁的开放性或病理性骨折或多发损伤患者被排除在外。对于肘部对齐良好、位移最小且无运动障碍的患者选择保守治疗。临床和影像学监测进展情况。使用Mayo肘部功能评分(MEPS)和手臂、肩部和手部残疾(DASH)评分评估功能结局。结果:39例患者(男性59%;平均年龄44.7±18.3岁,平均随访78.5±29.4个月。跌倒(46%)和踏板车事故(36%)是主要的伤害机制。桡骨头骨折包括Mason 1型(36%)、2型(54%)和3型(10%),冠状面骨折为Regan-Morrey 1型(69%)、2型(28%)和3型(3%)。最终活动范围平均为128.2°屈曲,8.2°伸展缺陷和85°前臂旋转。MEPS为优11例,良19例,一般9例;所有骨折的平均DASH评分为12.6。5名患者(13%)需要后续手术,16名患者(41%)报告了机械咔嗒声。结论:非手术治疗TTI可能是一种可行的选择,可产生一般满意的结果和可接受的并发症发生率。证据等级:四级。
本文章由计算机程序翻译,如有差异,请以英文原文为准。
求助全文
约1分钟内获得全文 求助全文
来源期刊
CiteScore
0.30
自引率
0.00%
发文量
55
审稿时长
15 weeks
×
引用
GB/T 7714-2015
复制
MLA
复制
APA
复制
导出至
BibTeX EndNote RefMan NoteFirst NoteExpress
×
提示
您的信息不完整,为了账户安全,请先补充。
现在去补充
×
提示
您因"违规操作"
具体请查看互助需知
我知道了
×
提示
确定
请完成安全验证×
copy
已复制链接
快去分享给好友吧!
我知道了
右上角分享
点击右上角分享
0
联系我们:info@booksci.cn Book学术提供免费学术资源搜索服务,方便国内外学者检索中英文文献。致力于提供最便捷和优质的服务体验。 Copyright © 2023 布克学术 All rights reserved.
京ICP备2023020795号-1
ghs 京公网安备 11010802042870号
Book学术文献互助
Book学术文献互助群
群 号:604180095
Book学术官方微信