Curative Gastrectomy for Advanced Gastric Cancer in a Patient with Idiopathic Multicentric Castleman Disease: A Rare Case Report.

IF 0.7 Q4 SURGERY
Surgical Case Reports Pub Date : 2025-01-01 Epub Date: 2025-07-01 DOI:10.70352/scrj.cr.25-0318
Ryohei Kawabata, Yuki Ushimaru, Hisashi Hara, Tomohira Takeoka, Yumiko Yasuhara, Terukazu Yoshihara, Akihiro Kitagawa, Takashi Takeda, Hideo Tomihara, Atsushi Naito, Masahiro Murakami, Shingo Noura, Atsushi Miyamoto
{"title":"Curative Gastrectomy for Advanced Gastric Cancer in a Patient with Idiopathic Multicentric Castleman Disease: A Rare Case Report.","authors":"Ryohei Kawabata, Yuki Ushimaru, Hisashi Hara, Tomohira Takeoka, Yumiko Yasuhara, Terukazu Yoshihara, Akihiro Kitagawa, Takashi Takeda, Hideo Tomihara, Atsushi Naito, Masahiro Murakami, Shingo Noura, Atsushi Miyamoto","doi":"10.70352/scrj.cr.25-0318","DOIUrl":null,"url":null,"abstract":"<p><strong>Introduction: </strong>Idiopathic multicentric Castleman disease (iMCD) is a rare lymphoproliferative disorder characterized by systemic inflammation and chronic immunosuppression. When solid malignancies such as gastric cancer arise in patients with iMCD, perioperative management becomes particularly challenging due to nutritional decline, reactive lymphadenopathy, and elevated surgical risk.</p><p><strong>Case presentation: </strong>A 75-year-old man with a 26-year history of suspected iMCD treated with low-dose corticosteroids presented with epigastric discomfort. Endoscopy revealed a Borrmann type 2 lesion, and biopsy confirmed poorly differentiated adenocarcinoma. CT showed mild lymphadenopathy along the lesser curvature and left gastric artery, as well as systemic involvement. Inguinal node biopsy confirmed polyclonal plasma cell proliferation consistent with iMCD. The patient also met the Asian Working Group for Sarcopenia (AWGS) criteria for severe sarcopenia. A multidisciplinary team initiated preoperative respiratory rehabilitation, nutritional support, and resistance exercise therapy. Curative distal gastrectomy with D2 lymphadenectomy was performed without complications. Histopathology revealed pT2N0M0 (pStage IB) disease. Tocilizumab was started 3 months postoperatively, and the patient remains recurrence-free at 24 months.</p><p><strong>Conclusions: </strong>This case highlights that, even in patients with long-standing iMCD and sarcopenia, carefully staged multimodal perioperative care-including accurate nodal evaluation and individualized systemic therapy-can enable successful curative surgery for advanced gastric cancer.</p>","PeriodicalId":22096,"journal":{"name":"Surgical Case Reports","volume":"11 1","pages":""},"PeriodicalIF":0.7000,"publicationDate":"2025-01-01","publicationTypes":"Journal Article","fieldsOfStudy":null,"isOpenAccess":false,"openAccessPdf":"https://www.ncbi.nlm.nih.gov/pmc/articles/PMC12226139/pdf/","citationCount":"0","resultStr":null,"platform":"Semanticscholar","paperid":null,"PeriodicalName":"Surgical Case Reports","FirstCategoryId":"1085","ListUrlMain":"https://doi.org/10.70352/scrj.cr.25-0318","RegionNum":0,"RegionCategory":null,"ArticlePicture":[],"TitleCN":null,"AbstractTextCN":null,"PMCID":null,"EPubDate":"2025/7/1 0:00:00","PubModel":"Epub","JCR":"Q4","JCRName":"SURGERY","Score":null,"Total":0}
引用次数: 0

Abstract

Introduction: Idiopathic multicentric Castleman disease (iMCD) is a rare lymphoproliferative disorder characterized by systemic inflammation and chronic immunosuppression. When solid malignancies such as gastric cancer arise in patients with iMCD, perioperative management becomes particularly challenging due to nutritional decline, reactive lymphadenopathy, and elevated surgical risk.

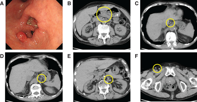
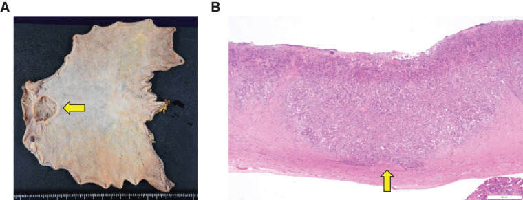
Case presentation: A 75-year-old man with a 26-year history of suspected iMCD treated with low-dose corticosteroids presented with epigastric discomfort. Endoscopy revealed a Borrmann type 2 lesion, and biopsy confirmed poorly differentiated adenocarcinoma. CT showed mild lymphadenopathy along the lesser curvature and left gastric artery, as well as systemic involvement. Inguinal node biopsy confirmed polyclonal plasma cell proliferation consistent with iMCD. The patient also met the Asian Working Group for Sarcopenia (AWGS) criteria for severe sarcopenia. A multidisciplinary team initiated preoperative respiratory rehabilitation, nutritional support, and resistance exercise therapy. Curative distal gastrectomy with D2 lymphadenectomy was performed without complications. Histopathology revealed pT2N0M0 (pStage IB) disease. Tocilizumab was started 3 months postoperatively, and the patient remains recurrence-free at 24 months.

Conclusions: This case highlights that, even in patients with long-standing iMCD and sarcopenia, carefully staged multimodal perioperative care-including accurate nodal evaluation and individualized systemic therapy-can enable successful curative surgery for advanced gastric cancer.

Abstract Image

Abstract Image

Abstract Image

晚期胃癌特发性多中心Castleman病的根治性胃切除术:一例罕见病例报告。
特发性多中心Castleman病(iMCD)是一种罕见的淋巴细胞增生性疾病,以全身炎症和慢性免疫抑制为特征。当iMCD患者出现实体恶性肿瘤(如胃癌)时,由于营养下降、反应性淋巴结病和手术风险增加,围手术期管理变得特别具有挑战性。病例介绍:一名75岁男性,26年疑似iMCD病史,经低剂量皮质类固醇治疗,出现上腹不适。内窥镜检查显示Borrmann 2型病变,活检证实为低分化腺癌。CT显示轻度淋巴结病变沿胃小弯和胃左动脉,并累及全身。腹股沟淋巴结活检证实多克隆浆细胞增生符合iMCD。该患者也符合亚洲肌少症工作组(AWGS)对严重肌少症的标准。一个多学科团队开始了术前呼吸康复、营养支持和阻力运动治疗。行根治性胃远端切除术并D2淋巴结切除术,无并发症。组织病理学显示pT2N0M0 (pStage IB)病变。托珠单抗在术后3个月开始使用,患者在24个月时仍无复发。结论:该病例强调,即使是长期患有iMCD和肌肉减少症的患者,精心分阶段的多模式围手术期护理-包括准确的淋巴结评估和个体化全身治疗-可以使晚期胃癌手术成功。
本文章由计算机程序翻译,如有差异,请以英文原文为准。
求助全文
约1分钟内获得全文 求助全文
来源期刊
自引率
0.00%
发文量
218
审稿时长
13 weeks
×
引用
GB/T 7714-2015
复制
MLA
复制
APA
复制
导出至
BibTeX EndNote RefMan NoteFirst NoteExpress
×
提示
您的信息不完整,为了账户安全,请先补充。
现在去补充
×
提示
您因"违规操作"
具体请查看互助需知
我知道了
×
提示
确定
请完成安全验证×
copy
已复制链接
快去分享给好友吧!
我知道了
右上角分享
点击右上角分享
0
联系我们:info@booksci.cn Book学术提供免费学术资源搜索服务,方便国内外学者检索中英文文献。致力于提供最便捷和优质的服务体验。 Copyright © 2023 布克学术 All rights reserved.
京ICP备2023020795号-1
ghs 京公网安备 11010802042870号
Book学术文献互助
Book学术文献互助群
群 号:604180095
Book学术官方微信