Development of a qPCR molecular diagnostic assay for the detection of kiwi Eimeria species and its application to determine tissue-specificity of species causing coccidiosis in North Island brown kiwi (Apteryx mantelli).

IF 2 3区 医学 Q2 PARASITOLOGY
Emma Scheltema, Kerri Morgan, Stuart Hunter, John Mackay, Preet Singh, Laryssa Howe
{"title":"Development of a qPCR molecular diagnostic assay for the detection of kiwi Eimeria species and its application to determine tissue-specificity of species causing coccidiosis in North Island brown kiwi (Apteryx mantelli).","authors":"Emma Scheltema, Kerri Morgan, Stuart Hunter, John Mackay, Preet Singh, Laryssa Howe","doi":"10.1007/s00436-025-08521-0","DOIUrl":null,"url":null,"abstract":"<p><p>Juvenile kiwi (Apteryx spp.) within captive-rearing programmes commonly suffer from coccidiosis, which primarily affects the intestine but can also impact other organs, such as the kidneys, liver, lung, and spleen (Morgan  et al. Avian Pathol 42:137-146 2013). In some immune-compromised birds, disease causes significant morbidity and, occasionally, mortality (Morgan et al. NZVJ 62:315-320 2014); however, understanding of the biology of disease-causing Eimeria species in kiwi is limited. A probe-based qPCR assay targeting a 115-bp fragment of the Eimeria mitochondrial cytochrome c oxidase I (CO1) gene was developed to identify three distinct kiwi Eimeria species: the two species most commonly recovered from faeces, Eimeria kiwii and Eimeria apteryxii, as well as the newly described species, Eimeria koka (Scheltema et al. Syst Parasitol 102:30 2025). The qPCR assay was then applied to retrospectively analyse formalin-fixed paraffin-embedded intestine, kidney, liver, lung, and spleen tissues from ten historic post-mortem cases from kiwi diagnosed with extraintestinal coccidiosis. This novel assay detected infection more often (33/47 tissues) than manual histopathological identification (25/47 tissues). Only one species, E. koka, was detected in extraintestinal tissues with the highest prevalence (9/10) in kidney tissues. In contrast, E. kiwii was reliably detected in 8/9 intestinal tissues but was not detected in the other tissues tested. E. apteryxii was not detected in any of the tissues analysed. These findings suggest that kiwi are infected by at least one intestinal and one renal-specific species, the latter of which is suspected to disseminate under certain conditions to other organs of the body.</p>","PeriodicalId":19968,"journal":{"name":"Parasitology Research","volume":"124 7","pages":"77"},"PeriodicalIF":2.0000,"publicationDate":"2025-07-04","publicationTypes":"Journal Article","fieldsOfStudy":null,"isOpenAccess":false,"openAccessPdf":"https://www.ncbi.nlm.nih.gov/pmc/articles/PMC12226697/pdf/","citationCount":"0","resultStr":null,"platform":"Semanticscholar","paperid":null,"PeriodicalName":"Parasitology Research","FirstCategoryId":"3","ListUrlMain":"https://doi.org/10.1007/s00436-025-08521-0","RegionNum":3,"RegionCategory":"医学","ArticlePicture":[],"TitleCN":null,"AbstractTextCN":null,"PMCID":null,"EPubDate":"","PubModel":"","JCR":"Q2","JCRName":"PARASITOLOGY","Score":null,"Total":0}
引用次数: 0

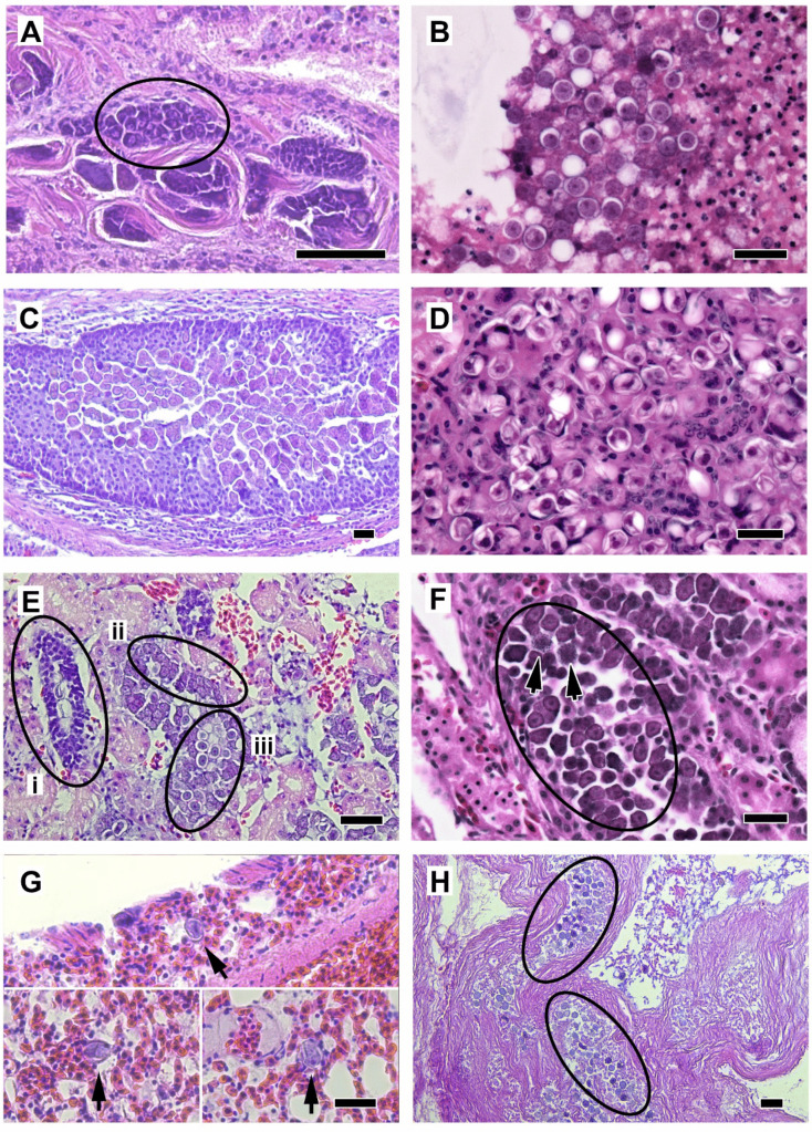
Abstract

Juvenile kiwi (Apteryx spp.) within captive-rearing programmes commonly suffer from coccidiosis, which primarily affects the intestine but can also impact other organs, such as the kidneys, liver, lung, and spleen (Morgan  et al. Avian Pathol 42:137-146 2013). In some immune-compromised birds, disease causes significant morbidity and, occasionally, mortality (Morgan et al. NZVJ 62:315-320 2014); however, understanding of the biology of disease-causing Eimeria species in kiwi is limited. A probe-based qPCR assay targeting a 115-bp fragment of the Eimeria mitochondrial cytochrome c oxidase I (CO1) gene was developed to identify three distinct kiwi Eimeria species: the two species most commonly recovered from faeces, Eimeria kiwii and Eimeria apteryxii, as well as the newly described species, Eimeria koka (Scheltema et al. Syst Parasitol 102:30 2025). The qPCR assay was then applied to retrospectively analyse formalin-fixed paraffin-embedded intestine, kidney, liver, lung, and spleen tissues from ten historic post-mortem cases from kiwi diagnosed with extraintestinal coccidiosis. This novel assay detected infection more often (33/47 tissues) than manual histopathological identification (25/47 tissues). Only one species, E. koka, was detected in extraintestinal tissues with the highest prevalence (9/10) in kidney tissues. In contrast, E. kiwii was reliably detected in 8/9 intestinal tissues but was not detected in the other tissues tested. E. apteryxii was not detected in any of the tissues analysed. These findings suggest that kiwi are infected by at least one intestinal and one renal-specific species, the latter of which is suspected to disseminate under certain conditions to other organs of the body.

Abstract Image

Abstract Image

Abstract Image

建立一种检测猕猴桃艾美球虫的qPCR分子诊断方法及其在确定北岛褐猕猴桃球虫病病原菌组织特异性中的应用。
幼年几维鸟(Apteryx spp.)在人工饲养计划中通常患有球虫病,主要影响肠道,但也可能影响其他器官,如肾脏、肝脏、肺和脾脏(Morgan等)。禽病杂志42:137-146 2013)。在一些免疫功能低下的鸟类中,疾病会导致显著的发病率,偶尔还会导致死亡(Morgan等)。中国生物医学工程学报(英文版);然而,对猕猴桃致病性艾美耳球虫的生物学认识有限。针对艾美球虫线粒体细胞色素c氧化酶I (CO1)基因的115 bp片段,建立了基于探针的qPCR检测方法,以鉴定三种不同的猕猴桃艾美球虫:最常从粪便中恢复的两种艾美球虫,kiwii艾美球虫和apteryxii艾美球虫,以及新发现的艾美球虫koka (Scheltema et al.)艾美球虫。寄生虫病学报102:30 2025)。然后应用qPCR方法对10例诊断为肠外球虫病的猕猴桃死后经福尔马林固定石蜡包埋的肠、肾、肝、肺和脾组织进行回顾性分析。与人工组织病理学鉴定(25/47组织)相比,这种新方法检测感染的频率更高(33/47组织)。仅在肠外组织中检出1种,在肾脏组织中检出率最高(9/10)。相比之下,kiwii在8/9的肠道组织中可靠检测到,而在其他组织中未检测到。在分析的所有组织中均未检测到无翼绦虫。这些发现表明,猕猴桃被至少一种肠道和一种肾脏特异性物种感染,后者被怀疑在某些条件下传播到身体的其他器官。
本文章由计算机程序翻译,如有差异,请以英文原文为准。
求助全文
约1分钟内获得全文 求助全文
来源期刊
Parasitology Research
Parasitology Research 医学-寄生虫学
CiteScore
4.10
自引率
5.00%
发文量
346
审稿时长
6 months
期刊介绍: The journal Parasitology Research covers the latest developments in parasitology across a variety of disciplines, including biology, medicine and veterinary medicine. Among many topics discussed are chemotherapy and control of parasitic disease, and the relationship of host and parasite. Other coverage includes: Protozoology, Helminthology, Entomology; Morphology (incl. Pathomorphology, Ultrastructure); Biochemistry, Physiology including Pathophysiology; Parasite-Host-Relationships including Immunology and Host Specificity; life history, ecology and epidemiology; and Diagnosis, Chemotherapy and Control of Parasitic Diseases.
×
引用
GB/T 7714-2015
复制
MLA
复制
APA
复制
导出至
BibTeX EndNote RefMan NoteFirst NoteExpress
×
提示
您的信息不完整,为了账户安全,请先补充。
现在去补充
×
提示
您因"违规操作"
具体请查看互助需知
我知道了
×
提示
确定
请完成安全验证×
copy
已复制链接
快去分享给好友吧!
我知道了
右上角分享
点击右上角分享
0
联系我们:info@booksci.cn Book学术提供免费学术资源搜索服务,方便国内外学者检索中英文文献。致力于提供最便捷和优质的服务体验。 Copyright © 2023 布克学术 All rights reserved.
京ICP备2023020795号-1
ghs 京公网安备 11010802042870号
Book学术文献互助
Book学术文献互助群
群 号:604180095
Book学术官方微信