Diagnostic potential of new linear epitopes derived from the N-terminal domain of the SARS-CoV-2 Glycoprotein S.

IF 1.7 Q4 MICROBIOLOGY
Sajjad Bahman, Safar Farajnia, Effat Alizadeh, Farzin Seirafi, Hojjatollah Nozad Charoudeh, Mohammad Kazem Hosseini
{"title":"Diagnostic potential of new linear epitopes derived from the N-terminal domain of the SARS-CoV-2 Glycoprotein S.","authors":"Sajjad Bahman, Safar Farajnia, Effat Alizadeh, Farzin Seirafi, Hojjatollah Nozad Charoudeh, Mohammad Kazem Hosseini","doi":"10.18502/ijm.v17i3.18831","DOIUrl":null,"url":null,"abstract":"<p><strong>Background and objectives: </strong>The aim of this study was to assess the effectiveness of a new linear epitope from the N-terminal domain (NTD) of the SARS-CoV-2 S protein in the diagnosis of COVID-19.</p><p><strong>Materials and methods: </strong>Serum samples from patients were confirmed to have COVID-19 by means of RT-PCR. The linear epitope sequence of the NTD was amplified by RT-PCR, inserted into an expression vector, and produced in <i>Escherichi coli</i> (DE3) pLysS. Subsequently, the recombinant proteins were purified and refolded. The interaction between the purified protein and the antibodies in COVID-19 patient sera was evaluated using ELISA.</p><p><strong>Results: </strong>Sequencing verified that the N-terminal linear epitope was successfully cloned into the PET-22b vector with a 6His-tag at the C-terminal end. The presence of a 25 kDa band on SDS-PAGE indicated the successful purification of the recombinant protein using Ni-NTA chromatography. The results of ELISA showed that the NTD linear epitope had strong sensitivity (88%) and specificity (96%) for identifying viral infection in COVID-19 patients' blood samples.</p><p><strong>Conclusion: </strong>The findings of this study demonstrated that the NTD linear epitopes of the SARS-CoV-2 spike protein exhibit significant sensitivity and specificity for the diagnosis of COVID-19 infection using serological techniques. However, further evaluations involving larger sample sizes across diverse ethnic populations is essential.</p>","PeriodicalId":14633,"journal":{"name":"Iranian Journal of Microbiology","volume":"17 3","pages":"480-487"},"PeriodicalIF":1.7000,"publicationDate":"2025-06-01","publicationTypes":"Journal Article","fieldsOfStudy":null,"isOpenAccess":false,"openAccessPdf":"https://www.ncbi.nlm.nih.gov/pmc/articles/PMC12218876/pdf/","citationCount":"0","resultStr":null,"platform":"Semanticscholar","paperid":null,"PeriodicalName":"Iranian Journal of Microbiology","FirstCategoryId":"1085","ListUrlMain":"https://doi.org/10.18502/ijm.v17i3.18831","RegionNum":0,"RegionCategory":null,"ArticlePicture":[],"TitleCN":null,"AbstractTextCN":null,"PMCID":null,"EPubDate":"","PubModel":"","JCR":"Q4","JCRName":"MICROBIOLOGY","Score":null,"Total":0}
引用次数: 0

Abstract

Background and objectives: The aim of this study was to assess the effectiveness of a new linear epitope from the N-terminal domain (NTD) of the SARS-CoV-2 S protein in the diagnosis of COVID-19.

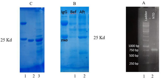
Materials and methods: Serum samples from patients were confirmed to have COVID-19 by means of RT-PCR. The linear epitope sequence of the NTD was amplified by RT-PCR, inserted into an expression vector, and produced in Escherichi coli (DE3) pLysS. Subsequently, the recombinant proteins were purified and refolded. The interaction between the purified protein and the antibodies in COVID-19 patient sera was evaluated using ELISA.

Results: Sequencing verified that the N-terminal linear epitope was successfully cloned into the PET-22b vector with a 6His-tag at the C-terminal end. The presence of a 25 kDa band on SDS-PAGE indicated the successful purification of the recombinant protein using Ni-NTA chromatography. The results of ELISA showed that the NTD linear epitope had strong sensitivity (88%) and specificity (96%) for identifying viral infection in COVID-19 patients' blood samples.

Conclusion: The findings of this study demonstrated that the NTD linear epitopes of the SARS-CoV-2 spike protein exhibit significant sensitivity and specificity for the diagnosis of COVID-19 infection using serological techniques. However, further evaluations involving larger sample sizes across diverse ethnic populations is essential.

Abstract Image

Abstract Image

来自SARS-CoV-2糖蛋白S n端结构域的新线性表位的诊断潜力
背景和目的:本研究的目的是评估来自sars - cov - 2s蛋白n端结构域(NTD)的新线性表位在COVID-19诊断中的有效性。材料与方法:采用RT-PCR方法对患者血清标本进行检测。利用RT-PCR扩增NTD的线性表位序列,插入表达载体,在大肠埃希菌(Escherichi coli, DE3) pLysS中产生。随后,对重组蛋白进行纯化和再折叠。采用ELISA法评价纯化蛋白与COVID-19患者血清抗体的相互作用。结果:测序证实n端线性表位成功克隆到PET-22b载体上,c端有6his标签。SDS-PAGE上有一条25 kDa的条带,表明重组蛋白通过Ni-NTA层析纯化成功。ELISA结果显示,NTD线性表位对COVID-19患者血液样本中病毒感染的检测具有较强的敏感性(88%)和特异性(96%)。结论:本研究结果表明,SARS-CoV-2刺突蛋白NTD线性表位对血清学技术诊断COVID-19感染具有显著的敏感性和特异性。然而,在不同种族人群中进行更大样本量的进一步评估是必要的。
本文章由计算机程序翻译,如有差异,请以英文原文为准。
求助全文
约1分钟内获得全文 求助全文
来源期刊
CiteScore
2.40
自引率
7.10%
发文量
96
审稿时长
12 weeks
期刊介绍: The Iranian Journal of Microbiology (IJM) is an international, multi-disciplinary, peer-reviewed journal that provides rapid publication of the most advanced scientific research in the areas of basic and applied research on bacteria and other micro-organisms, including bacteria, viruses, yeasts, fungi, microalgae, and protozoa concerning the development of tools for diagnosis and disease control, epidemiology, antimicrobial agents, clinical microbiology, immunology, Genetics, Genomics and Molecular Biology. Contributions may be in the form of original research papers, review articles, short communications, case reports, technical reports, and letters to the Editor. Research findings must be novel and the original data must be available for review by the Editors, if necessary. Studies that are preliminary, of weak originality or merely descriptive as well as negative results are not appropriate for the journal. Papers considered for publication must be unpublished work (except in an abstract form) that is not under consideration for publication anywhere else, and all co-authors should have agreed to the submission. Manuscripts should be written in English.
×
引用
GB/T 7714-2015
复制
MLA
复制
APA
复制
导出至
BibTeX EndNote RefMan NoteFirst NoteExpress
×
提示
您的信息不完整,为了账户安全,请先补充。
现在去补充
×
提示
您因"违规操作"
具体请查看互助需知
我知道了
×
提示
确定
请完成安全验证×
copy
已复制链接
快去分享给好友吧!
我知道了
右上角分享
点击右上角分享
0
联系我们:info@booksci.cn Book学术提供免费学术资源搜索服务,方便国内外学者检索中英文文献。致力于提供最便捷和优质的服务体验。 Copyright © 2023 布克学术 All rights reserved.
京ICP备2023020795号-1
ghs 京公网安备 11010802042870号
Book学术文献互助
Book学术文献互助群
群 号:604180095
Book学术官方微信