[Mediastinal ectopic thyroid tissue: Diagnosis and management of a rare pathology].

IF 0.6
Pablo Andrés Ordóñez Lozano
{"title":"[Mediastinal ectopic thyroid tissue: Diagnosis and management of a rare pathology].","authors":"Pablo Andrés Ordóñez Lozano","doi":"10.23938/ASSN.1128","DOIUrl":null,"url":null,"abstract":"<p><p>Intrathoracic goiters can be classified as primary or secondary. Primary intrathoracic goiters are characterized by the absence of any anatomical connection with the cervical thyroid gland, in contrast to secondary intrathoracic goiters. A rare variant, termed mixed or combined intrathoracic goiter, involves the synchronous presence of both primary and secondary components within the thoracic cavity. Given the rarity and the diagnostic challenges associated with these conditions, we report the case of a patient who presented with a multinodular goiter and a separate right paratracheal mediastinal mass. The latter was identified as ectopic thyroid tissue, consistent with a primary intrathoracic goiter. We describe the diagnostic approach used to differentiate the mediastinal mass from other thoracic pathologies, as well as the successful surgical management performed via a minimally invasive technique and facilitated a rapid and uneventful postoperative recovery.</p>","PeriodicalId":500996,"journal":{"name":"Anales del sistema sanitario de Navarra","volume":"48 2","pages":""},"PeriodicalIF":0.6000,"publicationDate":"2025-06-30","publicationTypes":"Journal Article","fieldsOfStudy":null,"isOpenAccess":false,"openAccessPdf":"https://www.ncbi.nlm.nih.gov/pmc/articles/PMC12303228/pdf/","citationCount":"0","resultStr":null,"platform":"Semanticscholar","paperid":null,"PeriodicalName":"Anales del sistema sanitario de Navarra","FirstCategoryId":"1085","ListUrlMain":"https://doi.org/10.23938/ASSN.1128","RegionNum":0,"RegionCategory":null,"ArticlePicture":[],"TitleCN":null,"AbstractTextCN":null,"PMCID":null,"EPubDate":"","PubModel":"","JCR":"","JCRName":"","Score":null,"Total":0}
引用次数: 0

Abstract

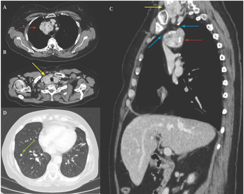
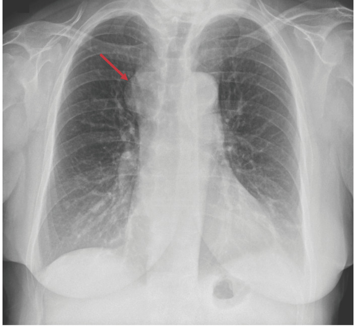
Intrathoracic goiters can be classified as primary or secondary. Primary intrathoracic goiters are characterized by the absence of any anatomical connection with the cervical thyroid gland, in contrast to secondary intrathoracic goiters. A rare variant, termed mixed or combined intrathoracic goiter, involves the synchronous presence of both primary and secondary components within the thoracic cavity. Given the rarity and the diagnostic challenges associated with these conditions, we report the case of a patient who presented with a multinodular goiter and a separate right paratracheal mediastinal mass. The latter was identified as ectopic thyroid tissue, consistent with a primary intrathoracic goiter. We describe the diagnostic approach used to differentiate the mediastinal mass from other thoracic pathologies, as well as the successful surgical management performed via a minimally invasive technique and facilitated a rapid and uneventful postoperative recovery.

Abstract Image

Abstract Image

Abstract Image

[纵隔异位甲状腺组织:一种罕见病理的诊断和处理]。
胸内甲状腺肿可分为原发性和继发性。与继发性胸内甲状腺肿不同,原发性胸内甲状腺肿的特点是与颈部甲状腺没有任何解剖学上的联系。一种罕见的变体,称为混合性或合并性胸内甲状腺肿,涉及在胸腔内同时存在原发性和继发性成分。鉴于罕见和诊断挑战与这些条件,我们报告的情况下,病人谁提出了多结节性甲状腺肿和独立的右侧气管旁纵隔肿块。后者被确定为异位甲状腺组织,与原发性胸内甲状腺肿一致。我们描述了用于区分纵隔肿块与其他胸部病变的诊断方法,以及通过微创技术进行的成功手术处理,并促进了快速和平稳的术后恢复。
本文章由计算机程序翻译,如有差异,请以英文原文为准。
求助全文
约1分钟内获得全文 求助全文
来源期刊
自引率
0.00%
发文量
0
×
引用
GB/T 7714-2015
复制
MLA
复制
APA
复制
导出至
BibTeX EndNote RefMan NoteFirst NoteExpress
×
提示
您的信息不完整,为了账户安全,请先补充。
现在去补充
×
提示
您因"违规操作"
具体请查看互助需知
我知道了
×
提示
确定
请完成安全验证×
copy
已复制链接
快去分享给好友吧!
我知道了
右上角分享
点击右上角分享
0
联系我们:info@booksci.cn Book学术提供免费学术资源搜索服务,方便国内外学者检索中英文文献。致力于提供最便捷和优质的服务体验。 Copyright © 2023 布克学术 All rights reserved.
京ICP备2023020795号-1
ghs 京公网安备 11010802042870号
Book学术文献互助
Book学术文献互助群
群 号:604180095
Book学术官方微信