Author Correction: Fibroblast derived C3 promotes the progression of experimental periodontitis through macrophage M1 polarization and osteoclast differentiation.

IF 12.2 1区 医学 Q1 DENTISTRY, ORAL SURGERY & MEDICINE
Feilong Ren, Shize Zheng, Huanyu Luo, Xiaoyi Yu, Xianjing Li, Shaoyi Song, Wenhuan Bu, Hongchen Sun
{"title":"Author Correction: Fibroblast derived C3 promotes the progression of experimental periodontitis through macrophage M1 polarization and osteoclast differentiation.","authors":"Feilong Ren, Shize Zheng, Huanyu Luo, Xiaoyi Yu, Xianjing Li, Shaoyi Song, Wenhuan Bu, Hongchen Sun","doi":"10.1038/s41368-025-00383-7","DOIUrl":null,"url":null,"abstract":"","PeriodicalId":14191,"journal":{"name":"International Journal of Oral Science","volume":"17 1","pages":"53"},"PeriodicalIF":12.2000,"publicationDate":"2025-07-02","publicationTypes":"Journal Article","fieldsOfStudy":null,"isOpenAccess":false,"openAccessPdf":"https://www.ncbi.nlm.nih.gov/pmc/articles/PMC12222774/pdf/","citationCount":"0","resultStr":null,"platform":"Semanticscholar","paperid":null,"PeriodicalName":"International Journal of Oral Science","FirstCategoryId":"3","ListUrlMain":"https://doi.org/10.1038/s41368-025-00383-7","RegionNum":1,"RegionCategory":"医学","ArticlePicture":[],"TitleCN":null,"AbstractTextCN":null,"PMCID":null,"EPubDate":"","PubModel":"","JCR":"Q1","JCRName":"DENTISTRY, ORAL SURGERY & MEDICINE","Score":null,"Total":0}
引用次数: 0

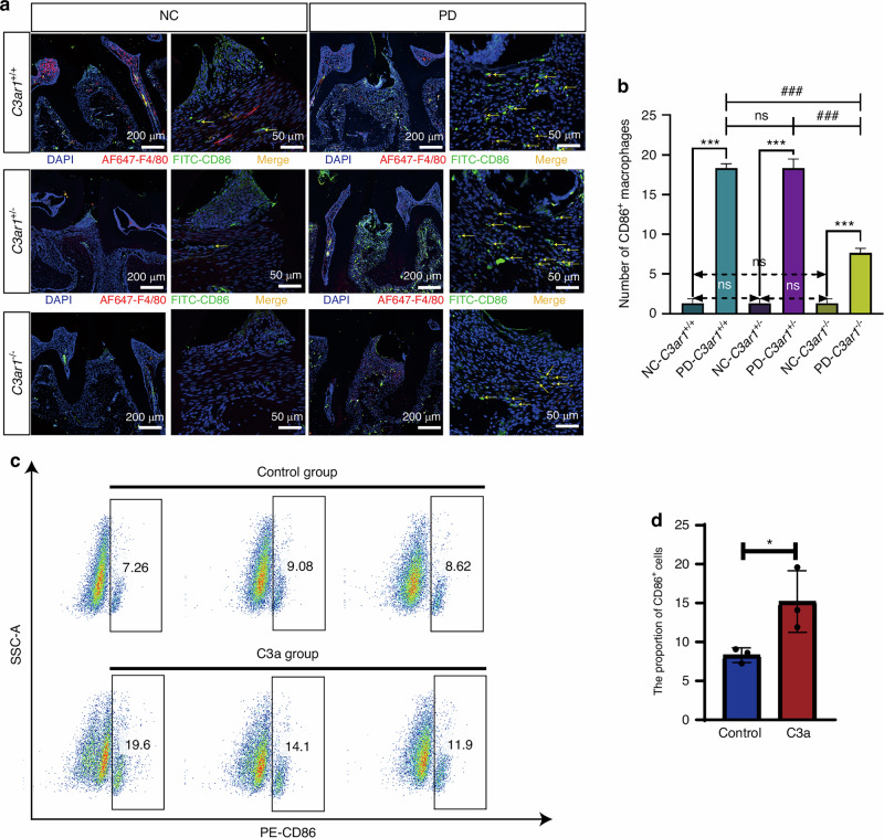
Abstract Image

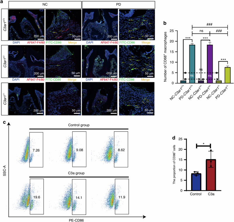
Abstract Image

作者更正:成纤维细胞衍生的C3通过巨噬细胞M1极化和破骨细胞分化促进实验性牙周炎的进展。
本文章由计算机程序翻译,如有差异,请以英文原文为准。
求助全文
约1分钟内获得全文 求助全文
来源期刊
International Journal of Oral Science
International Journal of Oral Science DENTISTRY, ORAL SURGERY & MEDICINE-
CiteScore
31.80
自引率
1.30%
发文量
53
审稿时长
>12 weeks
期刊介绍: The International Journal of Oral Science covers various aspects of oral science and interdisciplinary fields, encompassing basic, applied, and clinical research. Topics include, but are not limited to: Oral microbiology Oral and maxillofacial oncology Cariology Oral inflammation and infection Dental stem cells and regenerative medicine Craniofacial surgery Dental material Oral biomechanics Oral, dental, and maxillofacial genetic and developmental diseases Craniofacial bone research Craniofacial-related biomaterials Temporomandibular joint disorder and osteoarthritis The journal publishes peer-reviewed Articles presenting new research results and Review Articles offering concise summaries of specific areas in oral science.
×
引用
GB/T 7714-2015
复制
MLA
复制
APA
复制
导出至
BibTeX EndNote RefMan NoteFirst NoteExpress
×
提示
您的信息不完整,为了账户安全,请先补充。
现在去补充
×
提示
您因"违规操作"
具体请查看互助需知
我知道了
×
提示
确定
请完成安全验证×
copy
已复制链接
快去分享给好友吧!
我知道了
右上角分享
点击右上角分享
0
联系我们:info@booksci.cn Book学术提供免费学术资源搜索服务,方便国内外学者检索中英文文献。致力于提供最便捷和优质的服务体验。 Copyright © 2023 布克学术 All rights reserved.
京ICP备2023020795号-1
ghs 京公网安备 11010802042870号
Book学术文献互助
Book学术文献互助群
群 号:604180095
Book学术官方微信