A rare case of primary invasive urothelial carcinoma of the renal pelvis and calyx: a case report.

IF 1.3 Q4 ONCOLOGY
ecancermedicalscience Pub Date : 2025-06-20 eCollection Date: 2025-01-01 DOI:10.3332/ecancer.2025.1928
Olatunde Olaniyi Abiodun Oluwafemi, Eberechukwu Uchime Kasiemobi, Mustapha Babatunde, Bankole Kofi Adedeji, Oyelayo Oluwaseun Olaoluwa, Ismaheel Aderogba Azeez, Ezekpo Okechukwu Obumneme
{"title":"A rare case of primary invasive urothelial carcinoma of the renal pelvis and calyx: a case report.","authors":"Olatunde Olaniyi Abiodun Oluwafemi, Eberechukwu Uchime Kasiemobi, Mustapha Babatunde, Bankole Kofi Adedeji, Oyelayo Oluwaseun Olaoluwa, Ismaheel Aderogba Azeez, Ezekpo Okechukwu Obumneme","doi":"10.3332/ecancer.2025.1928","DOIUrl":null,"url":null,"abstract":"<p><p>Upper urinary tract urothelial carcinomas (UTUCs) are rare malignant neoplasms, representing about 5% of all urothelial carcinomas (UCs). The incidence of primary UTUC in the renal pelvis and calyx is quite rare. UTUC is a high-grade tumour with a poor prognosis at presentation. Characteristically, UTUC presents with symptoms such as gross and microscopic hematuria or flank pain. Its mode of definitive diagnosis remains histopathology examination, despite using computed tomography urography (CTU) as the gold imaging standard. However, atypical clinical presentations and abnormal radiologic findings could lead to misdiagnosis of UTUC. We report a 59-year-old male who presented with recurrent left flank pain of 2 years duration, and an episode of hematuria. A CTU showed no classic radiologic feature of upper UCs; however, his abdominal magnetic resonance imaging was suggestive. He subsequently had a left radical nephroureterectomy. The post-operative histology report showed a primary invasive high-grade UC of the left renal pelvis and calyx. He was counseled on the findings and placed on surveillance. There are few reported cases of UTUC of the renal pelvis and renal calyx; given that it is a rare malignancy. This is quite concerning, especially with the missed imaging finding by CTU.</p>","PeriodicalId":11460,"journal":{"name":"ecancermedicalscience","volume":"19 ","pages":"1928"},"PeriodicalIF":1.3000,"publicationDate":"2025-06-20","publicationTypes":"Journal Article","fieldsOfStudy":null,"isOpenAccess":false,"openAccessPdf":"https://www.ncbi.nlm.nih.gov/pmc/articles/PMC12221256/pdf/","citationCount":"0","resultStr":null,"platform":"Semanticscholar","paperid":null,"PeriodicalName":"ecancermedicalscience","FirstCategoryId":"1085","ListUrlMain":"https://doi.org/10.3332/ecancer.2025.1928","RegionNum":0,"RegionCategory":null,"ArticlePicture":[],"TitleCN":null,"AbstractTextCN":null,"PMCID":null,"EPubDate":"2025/1/1 0:00:00","PubModel":"eCollection","JCR":"Q4","JCRName":"ONCOLOGY","Score":null,"Total":0}
引用次数: 0

Abstract

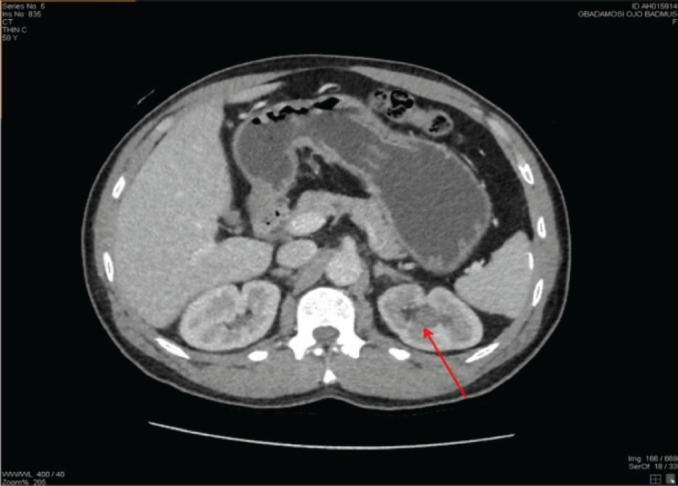
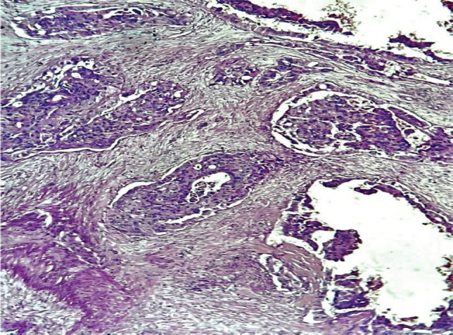
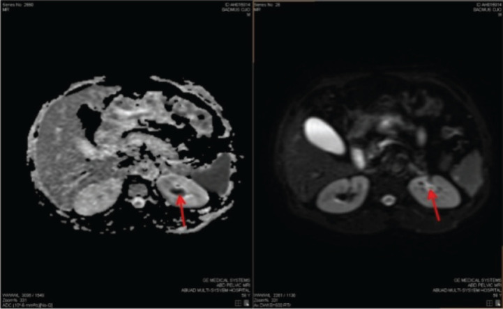
Upper urinary tract urothelial carcinomas (UTUCs) are rare malignant neoplasms, representing about 5% of all urothelial carcinomas (UCs). The incidence of primary UTUC in the renal pelvis and calyx is quite rare. UTUC is a high-grade tumour with a poor prognosis at presentation. Characteristically, UTUC presents with symptoms such as gross and microscopic hematuria or flank pain. Its mode of definitive diagnosis remains histopathology examination, despite using computed tomography urography (CTU) as the gold imaging standard. However, atypical clinical presentations and abnormal radiologic findings could lead to misdiagnosis of UTUC. We report a 59-year-old male who presented with recurrent left flank pain of 2 years duration, and an episode of hematuria. A CTU showed no classic radiologic feature of upper UCs; however, his abdominal magnetic resonance imaging was suggestive. He subsequently had a left radical nephroureterectomy. The post-operative histology report showed a primary invasive high-grade UC of the left renal pelvis and calyx. He was counseled on the findings and placed on surveillance. There are few reported cases of UTUC of the renal pelvis and renal calyx; given that it is a rare malignancy. This is quite concerning, especially with the missed imaging finding by CTU.

Abstract Image

Abstract Image

Abstract Image

原发性肾盂及肾盂浸润性尿路上皮癌1例报告。
上尿路尿路上皮癌(UTUCs)是一种罕见的恶性肿瘤,约占所有尿路上皮癌的5%。原发性UTUC在肾盂和肾盂的发生率是相当罕见的。UTUC是一种高级别肿瘤,出现时预后较差。典型的UTUC表现为肉眼和显微镜下的血尿或侧腹疼痛。它的明确诊断模式仍然是组织病理学检查,尽管使用计算机断层尿路造影(CTU)作为金成像标准。然而,不典型的临床表现和异常的影像学表现可能导致误诊UTUC。我们报告一个59岁的男性,他表现为复发性左侧疼痛持续2年,并有血尿发作。CTU未显示上UCs的典型影像学特征;然而,他的腹部磁共振成像提示。随后他接受了左侧肾输尿管根治性切除术。术后组织学报告显示原发性侵袭性高级别UC左肾盂和肾盏。他被告知调查结果并受到监视。肾盂和肾盏的UTUC病例报道很少;因为这是一种罕见的恶性肿瘤。这是非常令人担忧的,尤其是在CTU没有发现影像的情况下。
本文章由计算机程序翻译,如有差异,请以英文原文为准。
求助全文
约1分钟内获得全文 求助全文
来源期刊
CiteScore
3.80
自引率
5.60%
发文量
138
审稿时长
27 weeks
×
引用
GB/T 7714-2015
复制
MLA
复制
APA
复制
导出至
BibTeX EndNote RefMan NoteFirst NoteExpress
×
提示
您的信息不完整,为了账户安全,请先补充。
现在去补充
×
提示
您因"违规操作"
具体请查看互助需知
我知道了
×
提示
确定
请完成安全验证×
copy
已复制链接
快去分享给好友吧!
我知道了
右上角分享
点击右上角分享
0
联系我们:info@booksci.cn Book学术提供免费学术资源搜索服务,方便国内外学者检索中英文文献。致力于提供最便捷和优质的服务体验。 Copyright © 2023 布克学术 All rights reserved.
京ICP备2023020795号-1
ghs 京公网安备 11010802042870号
Book学术文献互助
Book学术文献互助群
群 号:604180095
Book学术官方微信