Dissenting an Uncommon Diagnosis at Unusual Origin: A Case Report of Teratocarcinosarcoma of Sinonasal Cavity - A Rare Malignancy.

IF 0.7 Q4 ONCOLOGY
Case Reports in Oncology Pub Date : 2025-05-29 eCollection Date: 2025-01-01 DOI:10.1159/000546502
Shahzaib Maqbool, Muhammad Ibrahim, Abdullah Munir Ahmed, Hassaan Tahir, Ammna Kouser, Muhammad Amin Abbas, Abdur Rehman, Imran Khan, Javed Iqbal
{"title":"Dissenting an Uncommon Diagnosis at Unusual Origin: A Case Report of Teratocarcinosarcoma of Sinonasal Cavity - A Rare Malignancy.","authors":"Shahzaib Maqbool, Muhammad Ibrahim, Abdullah Munir Ahmed, Hassaan Tahir, Ammna Kouser, Muhammad Amin Abbas, Abdur Rehman, Imran Khan, Javed Iqbal","doi":"10.1159/000546502","DOIUrl":null,"url":null,"abstract":"<p><strong>Introduction: </strong>Teratocarcinosarcoma is an extremely rare and aggressive malignancy of the nasal cavity and paranasal sinuses, comprising epithelial, mesenchymal, and neuroectodermal components. Due to its aggressive behavior, early diagnosis and a multimodal treatment approach are essential for improving outcomes.</p><p><strong>Case presentation: </strong>We report the case of a 55-year-old male who presented with bilateral nasal discharge, recurrent epistaxis, progressive nasal swelling, and left-sided epiphora over several months. Clinical examination revealed a grade III reddish, polypoidal mass with nasal obstruction and palpable cervical lymph nodes. Imaging showed a destructive mass involving the nasal cavity and adjacent sinuses. Histopathology and immunohistochemistry confirmed the diagnosis of teratocarcinosarcoma. Surgical resection via lateral rhinotomy and medial maxillectomy, followed by radiotherapy and chemotherapy, led to significant regression of the tumor.</p><p><strong>Conclusion: </strong>This case underscores the importance of timely diagnosis and a multidisciplinary treatment approach in managing aggressive sinonasal malignancies like teratocarcinosarcoma.</p>","PeriodicalId":9625,"journal":{"name":"Case Reports in Oncology","volume":"18 1","pages":"872-877"},"PeriodicalIF":0.7000,"publicationDate":"2025-05-29","publicationTypes":"Journal Article","fieldsOfStudy":null,"isOpenAccess":false,"openAccessPdf":"https://www.ncbi.nlm.nih.gov/pmc/articles/PMC12215199/pdf/","citationCount":"0","resultStr":null,"platform":"Semanticscholar","paperid":null,"PeriodicalName":"Case Reports in Oncology","FirstCategoryId":"1085","ListUrlMain":"https://doi.org/10.1159/000546502","RegionNum":0,"RegionCategory":null,"ArticlePicture":[],"TitleCN":null,"AbstractTextCN":null,"PMCID":null,"EPubDate":"2025/1/1 0:00:00","PubModel":"eCollection","JCR":"Q4","JCRName":"ONCOLOGY","Score":null,"Total":0}
引用次数: 0

Abstract

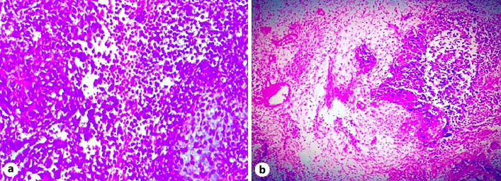
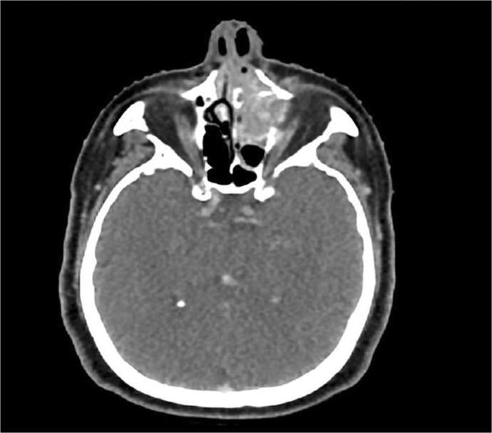
Introduction: Teratocarcinosarcoma is an extremely rare and aggressive malignancy of the nasal cavity and paranasal sinuses, comprising epithelial, mesenchymal, and neuroectodermal components. Due to its aggressive behavior, early diagnosis and a multimodal treatment approach are essential for improving outcomes.

Case presentation: We report the case of a 55-year-old male who presented with bilateral nasal discharge, recurrent epistaxis, progressive nasal swelling, and left-sided epiphora over several months. Clinical examination revealed a grade III reddish, polypoidal mass with nasal obstruction and palpable cervical lymph nodes. Imaging showed a destructive mass involving the nasal cavity and adjacent sinuses. Histopathology and immunohistochemistry confirmed the diagnosis of teratocarcinosarcoma. Surgical resection via lateral rhinotomy and medial maxillectomy, followed by radiotherapy and chemotherapy, led to significant regression of the tumor.

Conclusion: This case underscores the importance of timely diagnosis and a multidisciplinary treatment approach in managing aggressive sinonasal malignancies like teratocarcinosarcoma.

Abstract Image

Abstract Image

Abstract Image

不寻常来源的不寻常诊断:一种罕见的恶性肿瘤——鼻腔畸胎瘤肉瘤1例报告。
前言:畸胎癌肉瘤是一种极为罕见的鼻腔和鼻窦恶性肿瘤,由上皮、间充质和神经外胚层组成。由于其侵袭性行为,早期诊断和多模式治疗方法对于改善预后至关重要。病例介绍:我们报告一个55岁男性的病例,他表现为双侧鼻溢液,复发性鼻出血,进行性鼻肿胀,以及几个月来的左侧鼻溢。临床检查发现一个III级红色息肉样肿块,伴有鼻塞和可触及的颈部淋巴结。影像显示一破坏性肿块累及鼻腔及邻近鼻窦。组织病理学和免疫组织化学证实了畸胎瘤肉瘤的诊断。通过侧鼻切开术和内侧上颌切除手术,再加上放疗和化疗,肿瘤明显消退。结论:该病例强调了及时诊断和多学科治疗在治疗侵袭性鼻窦恶性肿瘤如畸形瘤中的重要性。
本文章由计算机程序翻译,如有差异,请以英文原文为准。
求助全文
约1分钟内获得全文 求助全文
来源期刊
CiteScore
1.40
自引率
12.50%
发文量
151
审稿时长
7 weeks
×
引用
GB/T 7714-2015
复制
MLA
复制
APA
复制
导出至
BibTeX EndNote RefMan NoteFirst NoteExpress
×
提示
您的信息不完整,为了账户安全,请先补充。
现在去补充
×
提示
您因"违规操作"
具体请查看互助需知
我知道了
×
提示
确定
请完成安全验证×
copy
已复制链接
快去分享给好友吧!
我知道了
右上角分享
点击右上角分享
0
联系我们:info@booksci.cn Book学术提供免费学术资源搜索服务,方便国内外学者检索中英文文献。致力于提供最便捷和优质的服务体验。 Copyright © 2023 布克学术 All rights reserved.
京ICP备2023020795号-1
ghs 京公网安备 11010802042870号
Book学术文献互助
Book学术文献互助群
群 号:604180095
Book学术官方微信