Hepatic Angiosarcoma Presenting as Ascites: Case Report of a Rare yet Lethal Disease.

IF 0.6 Q4 GASTROENTEROLOGY & HEPATOLOGY
Case Reports in Gastroenterology Pub Date : 2025-07-02 eCollection Date: 2025-01-01 DOI:10.1159/000546375
Archit Garg, Mehak Bassi, Capecomorin Pitchumoni, Arkady Broder
{"title":"Hepatic Angiosarcoma Presenting as Ascites: Case Report of a Rare yet Lethal Disease.","authors":"Archit Garg, Mehak Bassi, Capecomorin Pitchumoni, Arkady Broder","doi":"10.1159/000546375","DOIUrl":null,"url":null,"abstract":"<p><strong>Introduction: </strong>Angiosarcomas, constituting less than 1% of all sarcomas, are rare soft tissue tumors originating from the endothelial cells. Hepatic angiosarcoma (HAS) is a rare and aggressive primary hepatic malignancy accounting for only 0.5%-2% of all liver tumors. The patients often endorse nonspecific symptoms like vague abdominal pain, nausea, vomiting, and jaundice making the diagnosis challenging. Most patients succumb to death within 6 months of diagnosis due to liver failure or hemorrhage from spontaneous rupture of HAS. Therapeutic guidelines remain undefined, and management often involves a multidisciplinary approach. Surgical resection is the only potentially curative option, which has been shown to be most beneficial when HAS is limited to one lobe. Hepatic artery embolization is used in the case of rupture of HAS. Chemotherapy can be used for palliative care in cases of advanced tumors. We present a fatal case of metastatic HAS to underscore diagnostic pitfalls and therapeutic challenges.</p><p><strong>Case description: </strong>A 56-year-old male presented with 2 months of abdominal pain, distension, fatigue, and weight loss. Imaging revealed multifocal hypodense liver and splenic lesions. Laboratory findings included severe anemia (Hb 6.1 g/dL), thrombocytopenia (63 × 10<sup>3</sup>/mm<sup>3</sup>), and elevated liver enzymes. Ascitic fluid analysis demonstrated exudative, bloody ascites (SAAG <1.1) without malignant cytology. Liver biopsy confirmed HAS, showing atypical spindle cells infiltrating vascular channels, positive for CD34 and factor VIII. Despite transfusions, paracentesis, and palliative care, the patient developed disseminated intravascular coagulation and died 2 weeks post-diagnosis.</p><p><strong>Conclusion: </strong>HAS is a rapidly fatal malignancy often diagnosed at advanced stages due to nonspecific symptoms and lack of definitive risk factors in most cases. Multidisciplinary collaboration is essential for symptom management, though treatment options remain limited, and prognosis is poor. Therefore, it becomes imperative for clinicians to keep in mind the common presentation of a rare but lethal disease.</p>","PeriodicalId":9614,"journal":{"name":"Case Reports in Gastroenterology","volume":"19 1","pages":"488-495"},"PeriodicalIF":0.6000,"publicationDate":"2025-07-02","publicationTypes":"Journal Article","fieldsOfStudy":null,"isOpenAccess":false,"openAccessPdf":"https://www.ncbi.nlm.nih.gov/pmc/articles/PMC12215201/pdf/","citationCount":"0","resultStr":null,"platform":"Semanticscholar","paperid":null,"PeriodicalName":"Case Reports in Gastroenterology","FirstCategoryId":"1085","ListUrlMain":"https://doi.org/10.1159/000546375","RegionNum":0,"RegionCategory":null,"ArticlePicture":[],"TitleCN":null,"AbstractTextCN":null,"PMCID":null,"EPubDate":"2025/1/1 0:00:00","PubModel":"eCollection","JCR":"Q4","JCRName":"GASTROENTEROLOGY & HEPATOLOGY","Score":null,"Total":0}
引用次数: 0

Abstract

Introduction: Angiosarcomas, constituting less than 1% of all sarcomas, are rare soft tissue tumors originating from the endothelial cells. Hepatic angiosarcoma (HAS) is a rare and aggressive primary hepatic malignancy accounting for only 0.5%-2% of all liver tumors. The patients often endorse nonspecific symptoms like vague abdominal pain, nausea, vomiting, and jaundice making the diagnosis challenging. Most patients succumb to death within 6 months of diagnosis due to liver failure or hemorrhage from spontaneous rupture of HAS. Therapeutic guidelines remain undefined, and management often involves a multidisciplinary approach. Surgical resection is the only potentially curative option, which has been shown to be most beneficial when HAS is limited to one lobe. Hepatic artery embolization is used in the case of rupture of HAS. Chemotherapy can be used for palliative care in cases of advanced tumors. We present a fatal case of metastatic HAS to underscore diagnostic pitfalls and therapeutic challenges.

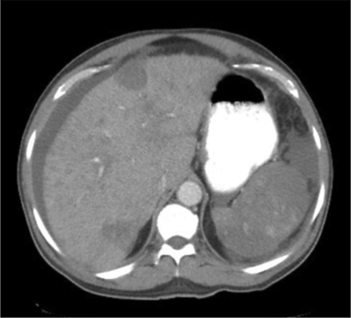
Case description: A 56-year-old male presented with 2 months of abdominal pain, distension, fatigue, and weight loss. Imaging revealed multifocal hypodense liver and splenic lesions. Laboratory findings included severe anemia (Hb 6.1 g/dL), thrombocytopenia (63 × 103/mm3), and elevated liver enzymes. Ascitic fluid analysis demonstrated exudative, bloody ascites (SAAG <1.1) without malignant cytology. Liver biopsy confirmed HAS, showing atypical spindle cells infiltrating vascular channels, positive for CD34 and factor VIII. Despite transfusions, paracentesis, and palliative care, the patient developed disseminated intravascular coagulation and died 2 weeks post-diagnosis.

Conclusion: HAS is a rapidly fatal malignancy often diagnosed at advanced stages due to nonspecific symptoms and lack of definitive risk factors in most cases. Multidisciplinary collaboration is essential for symptom management, though treatment options remain limited, and prognosis is poor. Therefore, it becomes imperative for clinicians to keep in mind the common presentation of a rare but lethal disease.

Abstract Image

Abstract Image

Abstract Image

以腹水表现的肝血管肉瘤:罕见但致命的病例报告。
血管肉瘤是一种罕见的软组织肿瘤,起源于内皮细胞,占所有肉瘤的不到1%。肝血管肉瘤(HAS)是一种罕见的侵袭性原发性肝脏恶性肿瘤,仅占所有肝脏肿瘤的0.5%-2%。患者通常表现出非特异性症状,如模糊腹痛、恶心、呕吐和黄疸,使诊断具有挑战性。大多数患者在诊断后6个月内死于肝衰竭或自发性肝破裂出血。治疗指南仍然不明确,管理通常涉及多学科方法。手术切除是唯一潜在的治疗选择,当肿瘤局限于一个肺叶时,手术切除是最有益的。肝动脉栓塞用于肝动脉破裂的病例。化疗可用于晚期肿瘤的姑息治疗。我们提出一个致命的病例转移性HAS强调诊断陷阱和治疗的挑战。病例描述:56岁男性,腹痛、腹胀、乏力、体重下降2个月。影像学显示肝脏及脾脏多灶性低密度病变。实验室结果包括严重贫血(血红蛋白6.1 g/dL)、血小板减少(63 × 103/mm3)和肝酶升高。结论:HAS是一种快速致命的恶性肿瘤,由于大多数病例的非特异性症状和缺乏明确的危险因素,通常在晚期诊断出来。多学科合作对症状管理至关重要,尽管治疗选择仍然有限,预后较差。因此,临床医生必须牢记这种罕见但致命的疾病的常见表现。
本文章由计算机程序翻译,如有差异,请以英文原文为准。
求助全文
约1分钟内获得全文 求助全文
来源期刊
Case Reports in Gastroenterology
Case Reports in Gastroenterology Medicine-Gastroenterology
CiteScore
1.10
自引率
0.00%
发文量
99
审稿时长
7 weeks
期刊介绍:
×
引用
GB/T 7714-2015
复制
MLA
复制
APA
复制
导出至
BibTeX EndNote RefMan NoteFirst NoteExpress
×
提示
您的信息不完整,为了账户安全,请先补充。
现在去补充
×
提示
您因"违规操作"
具体请查看互助需知
我知道了
×
提示
确定
请完成安全验证×
copy
已复制链接
快去分享给好友吧!
我知道了
右上角分享
点击右上角分享
0
联系我们:info@booksci.cn Book学术提供免费学术资源搜索服务,方便国内外学者检索中英文文献。致力于提供最便捷和优质的服务体验。 Copyright © 2023 布克学术 All rights reserved.
京ICP备2023020795号-1
ghs 京公网安备 11010802042870号
Book学术文献互助
Book学术文献互助群
群 号:604180095
Book学术官方微信