A Case of Hepatocellular Carcinoma in a Patient with Idiopathic Forearm Arteriovenous Fistula.

IF 0.6 Q4 GASTROENTEROLOGY & HEPATOLOGY
Case Reports in Gastroenterology Pub Date : 2025-03-20 eCollection Date: 2025-01-01 DOI:10.1159/000544101
Sayuri Takada, Yutaka Yata, Hirotaka Ishizu, Yuma Inoue, Tomoyasu Kuroda, Shigeki Ikeda, Atsushi Jogo, Akira Yamamoto, Hiroshi Higashiyama, Norifumi Kawada
{"title":"A Case of Hepatocellular Carcinoma in a Patient with Idiopathic Forearm Arteriovenous Fistula.","authors":"Sayuri Takada, Yutaka Yata, Hirotaka Ishizu, Yuma Inoue, Tomoyasu Kuroda, Shigeki Ikeda, Atsushi Jogo, Akira Yamamoto, Hiroshi Higashiyama, Norifumi Kawada","doi":"10.1159/000544101","DOIUrl":null,"url":null,"abstract":"<p><strong>Introduction: </strong>We report an exceedingly rare case of hepatocellular carcinoma (HCC) associated with an idiopathic congenital forearm arteriovenous fistula (AVF). Given the absence of previous reports addressing the treatment of HCC in patients with AVF, we evaluate HCC treatment strategies, including the appropriateness of using angiogenesis inhibitors.</p><p><strong>Case presentation: </strong>A 74-year-old man was admitted for the evaluation of liver tumors. His medical history included a chronic, intractable idiopathic right forearm AVF, for which he had undergone multiple surgical interventions. Abdominal EOB-MRI revealed multiple small focal lesions across both liver lobes during the hepatobiliary phase, indicative of multiple HCC, and liver biopsy confirmed early-stage HCC. Considering the potential presence of additional vascular anomalies similar to the forearm AVF, local hepatic artery chemoembolization was performed. Since there is still insufficient discussion about the systemic administration of angiogenesis inhibitors to patients with vascular abnormalities such as AVF, we discuss the treatment options for HCC with AVF, including its strategies in the progressed HCC stage.</p><p><strong>Conclusion: </strong>As molecularly targeted therapies continue to evolve, recognizing the unique aspects of cases like ours is crucial. Establishing an appropriate treatment strategy for HCC patients with AVF is imperative, highlighting the need for tailored therapeutic approaches based on individual vascular profiles.</p>","PeriodicalId":9614,"journal":{"name":"Case Reports in Gastroenterology","volume":"19 1","pages":"173-183"},"PeriodicalIF":0.6000,"publicationDate":"2025-03-20","publicationTypes":"Journal Article","fieldsOfStudy":null,"isOpenAccess":false,"openAccessPdf":"https://www.ncbi.nlm.nih.gov/pmc/articles/PMC12215111/pdf/","citationCount":"0","resultStr":null,"platform":"Semanticscholar","paperid":null,"PeriodicalName":"Case Reports in Gastroenterology","FirstCategoryId":"1085","ListUrlMain":"https://doi.org/10.1159/000544101","RegionNum":0,"RegionCategory":null,"ArticlePicture":[],"TitleCN":null,"AbstractTextCN":null,"PMCID":null,"EPubDate":"2025/1/1 0:00:00","PubModel":"eCollection","JCR":"Q4","JCRName":"GASTROENTEROLOGY & HEPATOLOGY","Score":null,"Total":0}
引用次数: 0

Abstract

Introduction: We report an exceedingly rare case of hepatocellular carcinoma (HCC) associated with an idiopathic congenital forearm arteriovenous fistula (AVF). Given the absence of previous reports addressing the treatment of HCC in patients with AVF, we evaluate HCC treatment strategies, including the appropriateness of using angiogenesis inhibitors.

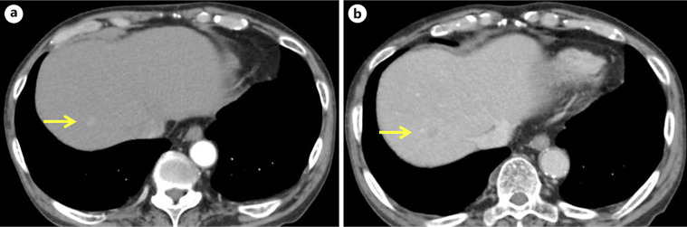
Case presentation: A 74-year-old man was admitted for the evaluation of liver tumors. His medical history included a chronic, intractable idiopathic right forearm AVF, for which he had undergone multiple surgical interventions. Abdominal EOB-MRI revealed multiple small focal lesions across both liver lobes during the hepatobiliary phase, indicative of multiple HCC, and liver biopsy confirmed early-stage HCC. Considering the potential presence of additional vascular anomalies similar to the forearm AVF, local hepatic artery chemoembolization was performed. Since there is still insufficient discussion about the systemic administration of angiogenesis inhibitors to patients with vascular abnormalities such as AVF, we discuss the treatment options for HCC with AVF, including its strategies in the progressed HCC stage.

Conclusion: As molecularly targeted therapies continue to evolve, recognizing the unique aspects of cases like ours is crucial. Establishing an appropriate treatment strategy for HCC patients with AVF is imperative, highlighting the need for tailored therapeutic approaches based on individual vascular profiles.

Abstract Image

Abstract Image

Abstract Image

肝癌并发特发性前臂动静脉瘘1例。
我们报告一例极其罕见的肝细胞癌(HCC)合并特发性先天性前臂动静脉瘘(AVF)的病例。鉴于之前没有关于AVF患者HCC治疗的报道,我们评估了HCC治疗策略,包括使用血管生成抑制剂的适宜性。病例介绍:一名74岁男性因评估肝脏肿瘤而入院。他的病史包括慢性顽固性特发性右前臂AVF,为此他接受了多次手术干预。腹部EOB-MRI显示肝胆期双肝叶多发小灶性病变,提示多发HCC,肝活检证实早期HCC。考虑到可能存在与前臂AVF相似的额外血管异常,我们进行了局部肝动脉化疗栓塞。由于血管生成抑制剂对血管异常(如AVF)患者的全身应用的讨论仍然不足,我们讨论了AVF治疗HCC的选择,包括其在进展期的策略。结论:随着分子靶向治疗的不断发展,认识到像我们这样的病例的独特方面是至关重要的。为伴有AVF的HCC患者制定合适的治疗策略势在必行,强调需要根据个体血管特征定制治疗方法。
本文章由计算机程序翻译,如有差异,请以英文原文为准。
求助全文
约1分钟内获得全文 求助全文
来源期刊
Case Reports in Gastroenterology
Case Reports in Gastroenterology Medicine-Gastroenterology
CiteScore
1.10
自引率
0.00%
发文量
99
审稿时长
7 weeks
期刊介绍:
×
引用
GB/T 7714-2015
复制
MLA
复制
APA
复制
导出至
BibTeX EndNote RefMan NoteFirst NoteExpress
×
提示
您的信息不完整,为了账户安全,请先补充。
现在去补充
×
提示
您因"违规操作"
具体请查看互助需知
我知道了
×
提示
确定
请完成安全验证×
copy
已复制链接
快去分享给好友吧!
我知道了
右上角分享
点击右上角分享
0
联系我们:info@booksci.cn Book学术提供免费学术资源搜索服务,方便国内外学者检索中英文文献。致力于提供最便捷和优质的服务体验。 Copyright © 2023 布克学术 All rights reserved.
京ICP备2023020795号-1
ghs 京公网安备 11010802042870号
Book学术文献互助
Book学术文献互助群
群 号:604180095
Book学术官方微信