Report of Active Surveillance for a Masson Tumor of Chest Wall With Spontaneous Resolution.

IF 2.3 3区 医学 Q3 ONCOLOGY
Mikaela L Mohardt, John M Kennedy, Diego F Lemos, Hannah Kooperkamp, Jessica A Cintolo-Gonzalez
{"title":"Report of Active Surveillance for a Masson Tumor of Chest Wall With Spontaneous Resolution.","authors":"Mikaela L Mohardt, John M Kennedy, Diego F Lemos, Hannah Kooperkamp, Jessica A Cintolo-Gonzalez","doi":"10.1111/1759-7714.70117","DOIUrl":null,"url":null,"abstract":"<p><p>Intravascular papillary endothelial hyperplasia (IPEH) or Masson tumor is a relatively rare benign tumor of vascular origin. While surgical resection is considered standard management, there is limited information regarding its natural history. Given the benign clinical behavior of IPEH, observation may be a viable option, particularly if surgery could incur significant morbidity. We present the case of a patient with a Masson tumor by the chest wall who opted for observation with significant spontaneous decrease in size of his tumor followed by complete resolution over an 18-month surveillance period. This case suggests an alternative approach to surgical resection.</p>","PeriodicalId":23338,"journal":{"name":"Thoracic Cancer","volume":"16 13","pages":"e70117"},"PeriodicalIF":2.3000,"publicationDate":"2025-07-01","publicationTypes":"Journal Article","fieldsOfStudy":null,"isOpenAccess":false,"openAccessPdf":"https://www.ncbi.nlm.nih.gov/pmc/articles/PMC12210035/pdf/","citationCount":"0","resultStr":null,"platform":"Semanticscholar","paperid":null,"PeriodicalName":"Thoracic Cancer","FirstCategoryId":"3","ListUrlMain":"https://doi.org/10.1111/1759-7714.70117","RegionNum":3,"RegionCategory":"医学","ArticlePicture":[],"TitleCN":null,"AbstractTextCN":null,"PMCID":null,"EPubDate":"","PubModel":"","JCR":"Q3","JCRName":"ONCOLOGY","Score":null,"Total":0}
引用次数: 0

Abstract

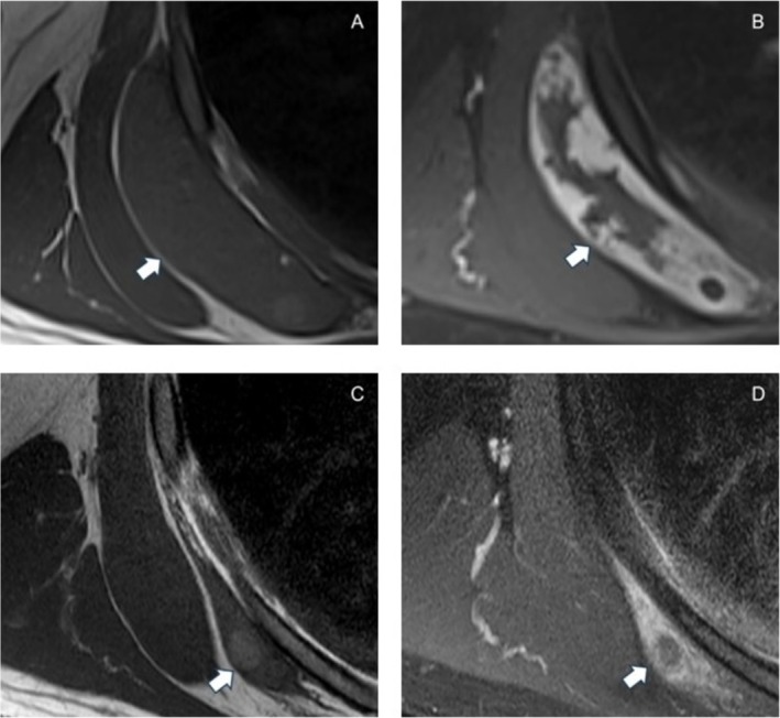
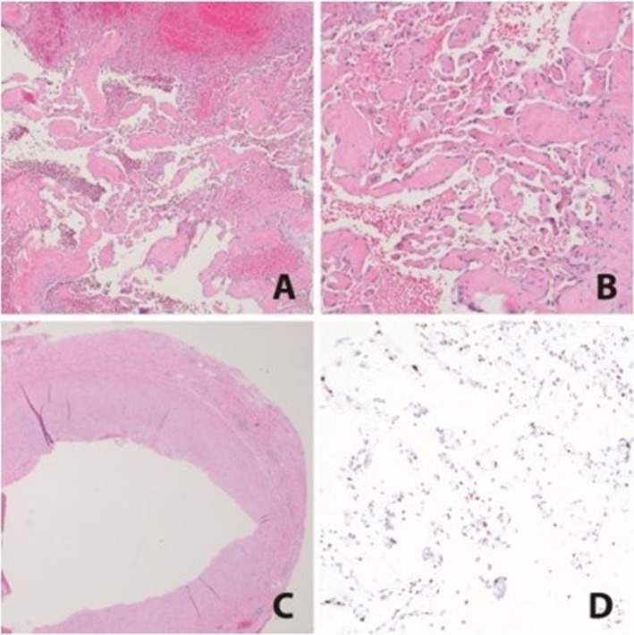
Intravascular papillary endothelial hyperplasia (IPEH) or Masson tumor is a relatively rare benign tumor of vascular origin. While surgical resection is considered standard management, there is limited information regarding its natural history. Given the benign clinical behavior of IPEH, observation may be a viable option, particularly if surgery could incur significant morbidity. We present the case of a patient with a Masson tumor by the chest wall who opted for observation with significant spontaneous decrease in size of his tumor followed by complete resolution over an 18-month surveillance period. This case suggests an alternative approach to surgical resection.

Abstract Image

Abstract Image

Abstract Image

主动监测胸壁马氏瘤自发性消退的报告。
血管内乳头状内皮增生(IPEH)或马松瘤是一种相对罕见的血管源性良性肿瘤。虽然手术切除被认为是标准的治疗方法,但关于其自然史的信息有限。鉴于IPEH的良性临床表现,观察可能是一个可行的选择,特别是如果手术可能导致显著的发病率。我们提出了一个胸壁马松肿瘤患者的病例,他选择了观察,肿瘤的大小明显自发减小,随后在18个月的监测期间完全解决。本病例建议采用手术切除的替代方法。
本文章由计算机程序翻译,如有差异,请以英文原文为准。
求助全文
约1分钟内获得全文 求助全文
来源期刊
Thoracic Cancer
Thoracic Cancer ONCOLOGY-RESPIRATORY SYSTEM
CiteScore
5.20
自引率
3.40%
发文量
439
审稿时长
2 months
期刊介绍: Thoracic Cancer aims to facilitate international collaboration and exchange of comprehensive and cutting-edge information on basic, translational, and applied clinical research in lung cancer, esophageal cancer, mediastinal cancer, breast cancer and other thoracic malignancies. Prevention, treatment and research relevant to Asia-Pacific is a focus area, but submissions from all regions are welcomed. The editors encourage contributions relevant to prevention, general thoracic surgery, medical oncology, radiology, radiation medicine, pathology, basic cancer research, as well as epidemiological and translational studies in thoracic cancer. Thoracic Cancer is the official publication of the Chinese Society of Lung Cancer, International Chinese Society of Thoracic Surgery and is endorsed by the Korean Association for the Study of Lung Cancer and the Hong Kong Cancer Therapy Society. The Journal publishes a range of article types including: Editorials, Invited Reviews, Mini Reviews, Original Articles, Clinical Guidelines, Technological Notes, Imaging in thoracic cancer, Meeting Reports, Case Reports, Letters to the Editor, Commentaries, and Brief Reports.
×
引用
GB/T 7714-2015
复制
MLA
复制
APA
复制
导出至
BibTeX EndNote RefMan NoteFirst NoteExpress
×
提示
您的信息不完整,为了账户安全,请先补充。
现在去补充
×
提示
您因"违规操作"
具体请查看互助需知
我知道了
×
提示
确定
请完成安全验证×
copy
已复制链接
快去分享给好友吧!
我知道了
右上角分享
点击右上角分享
0
联系我们:info@booksci.cn Book学术提供免费学术资源搜索服务,方便国内外学者检索中英文文献。致力于提供最便捷和优质的服务体验。 Copyright © 2023 布克学术 All rights reserved.
京ICP备2023020795号-1
ghs 京公网安备 11010802042870号
Book学术文献互助
Book学术文献互助群
群 号:604180095
Book学术官方微信