Streamlined production of immobilized D-psicose 3-epimerase via secretion in Pichia pastoris: a new paradigm for industrial D-psicose production.

IF 4.9 2区 生物学 Q1 BIOTECHNOLOGY & APPLIED MICROBIOLOGY
Pimsiriya Srila, Phitsanu Pinmanee, Boontiwa Ninchan, Nisit Watthanasakphuban
{"title":"Streamlined production of immobilized D-psicose 3-epimerase via secretion in Pichia pastoris: a new paradigm for industrial D-psicose production.","authors":"Pimsiriya Srila, Phitsanu Pinmanee, Boontiwa Ninchan, Nisit Watthanasakphuban","doi":"10.1186/s12934-025-02763-4","DOIUrl":null,"url":null,"abstract":"<p><strong>Background: </strong>D-psicose, a rare sugar with significant health benefits, holds great promise as a low-calorie sweetener. Its synthesis requires the enzyme called D-psicose 3-epimerase (DPEase), which converts D-fructose into D-psicose. This study focuses on an alternative protein expression system for secretion DPEase production, using Pichia pastoris KM71. The gene encoding DPEase from Bacillus sp. KCTC 13219 was codon-optimized and fused downstream of the α-factor signal peptide. A one-step purification and immobilization method was developed by directly binding crude DPEase to a His-tag affinity column, enhancing both enzyme stability and reusability.</p><p><strong>Results: </strong>The recombinant DPEase was successfully expressed in P. pastoris and efficiently secreted into the culture medium, simplifying downstream processing. The purified DPEase exhibited optimal activity at pH 6.0 and 60 °C, demonstrating remarkable thermostability and maintaining over 80% relative activity across a broad pH range (pH 5.0-11.0) and temperature range (35-70 °C). Purification with 200 mM imidazole elution resulted in a 12.54-fold increase in the purification factor, achieving a specific activity of 3.65 Units/mg. The maximum D-psicose conversion rate of purified DPEase was 17.03% at 120 min reaction with 10% (w/v) D-fructose. The developed DPEase immobilization system showed high binding efficiency, facilitating one-step purification and immobilization for ready-to-use DPEase column. The immobilized enzyme could be reused up to five cycles, maintaining 83.38% relative activity, highlighting the potential of this system for efficient D-psicose production.</p><p><strong>Conclusions: </strong>This study successfully developed a prototype system for extracellular DPEase production in a recombinant microorganism. This streamlined enzyme purification and immobilization, significantly reducing the DPEase production costs. The recombinant DPEase exhibited remarkable stability across a wide range of pH and temperature. This broad stability makes the enzyme highly promising for industrial-scale D-psicose production, resulting in reduced energy costs and simplified synthesis process. The DPEase demonstrated desirable properties for various D-psicose conversion conditions, and the immobilized enzyme exhibited efficient reusability. These findings support the potential application of this system for large-scale production of D-psicose, a rare sugar with promising uses in the food and pharmaceutical industries.</p>","PeriodicalId":18582,"journal":{"name":"Microbial Cell Factories","volume":"24 1","pages":"149"},"PeriodicalIF":4.9000,"publicationDate":"2025-07-02","publicationTypes":"Journal Article","fieldsOfStudy":null,"isOpenAccess":false,"openAccessPdf":"https://www.ncbi.nlm.nih.gov/pmc/articles/PMC12220227/pdf/","citationCount":"0","resultStr":null,"platform":"Semanticscholar","paperid":null,"PeriodicalName":"Microbial Cell Factories","FirstCategoryId":"5","ListUrlMain":"https://doi.org/10.1186/s12934-025-02763-4","RegionNum":2,"RegionCategory":"生物学","ArticlePicture":[],"TitleCN":null,"AbstractTextCN":null,"PMCID":null,"EPubDate":"","PubModel":"","JCR":"Q1","JCRName":"BIOTECHNOLOGY & APPLIED MICROBIOLOGY","Score":null,"Total":0}
引用次数: 0

Abstract

Background: D-psicose, a rare sugar with significant health benefits, holds great promise as a low-calorie sweetener. Its synthesis requires the enzyme called D-psicose 3-epimerase (DPEase), which converts D-fructose into D-psicose. This study focuses on an alternative protein expression system for secretion DPEase production, using Pichia pastoris KM71. The gene encoding DPEase from Bacillus sp. KCTC 13219 was codon-optimized and fused downstream of the α-factor signal peptide. A one-step purification and immobilization method was developed by directly binding crude DPEase to a His-tag affinity column, enhancing both enzyme stability and reusability.

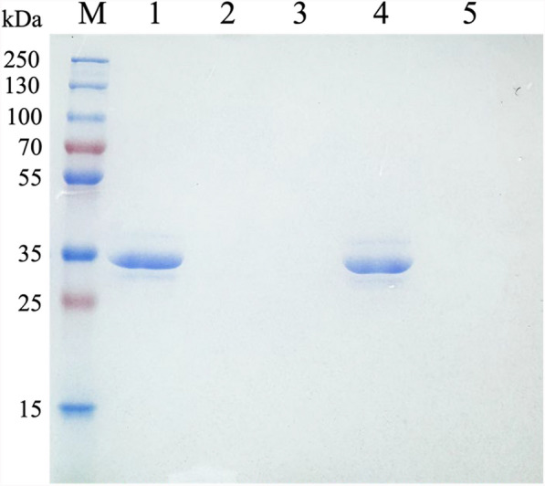
Results: The recombinant DPEase was successfully expressed in P. pastoris and efficiently secreted into the culture medium, simplifying downstream processing. The purified DPEase exhibited optimal activity at pH 6.0 and 60 °C, demonstrating remarkable thermostability and maintaining over 80% relative activity across a broad pH range (pH 5.0-11.0) and temperature range (35-70 °C). Purification with 200 mM imidazole elution resulted in a 12.54-fold increase in the purification factor, achieving a specific activity of 3.65 Units/mg. The maximum D-psicose conversion rate of purified DPEase was 17.03% at 120 min reaction with 10% (w/v) D-fructose. The developed DPEase immobilization system showed high binding efficiency, facilitating one-step purification and immobilization for ready-to-use DPEase column. The immobilized enzyme could be reused up to five cycles, maintaining 83.38% relative activity, highlighting the potential of this system for efficient D-psicose production.

Conclusions: This study successfully developed a prototype system for extracellular DPEase production in a recombinant microorganism. This streamlined enzyme purification and immobilization, significantly reducing the DPEase production costs. The recombinant DPEase exhibited remarkable stability across a wide range of pH and temperature. This broad stability makes the enzyme highly promising for industrial-scale D-psicose production, resulting in reduced energy costs and simplified synthesis process. The DPEase demonstrated desirable properties for various D-psicose conversion conditions, and the immobilized enzyme exhibited efficient reusability. These findings support the potential application of this system for large-scale production of D-psicose, a rare sugar with promising uses in the food and pharmaceutical industries.

Abstract Image

Abstract Image

Abstract Image

固定化D-psicose 3- epimase通过毕赤酵母分泌的流线型生产:工业D-psicose生产的新范例。
背景:D-psicose是一种罕见的糖,具有显著的健康益处,作为一种低热量的甜味剂具有很大的前景。它的合成需要一种叫做d -果糖3- epimase (DPEase)的酶,这种酶能将d -果糖转化为d -果糖。本研究的重点是利用毕赤酵母KM71构建分泌DPEase的替代蛋白表达系统。对Bacillus sp. KCTC 13219的DPEase编码基因进行密码子优化,融合在α-因子信号肽的下游。通过将粗DPEase直接结合到his标签亲和柱上,建立了一步纯化固定化方法,提高了酶的稳定性和可重复使用性。结果:重组DPEase在pastoris中成功表达,并有效地分泌到培养基中,简化了下游工序。纯化的DPEase在pH 6.0和60°C时表现出最佳活性,表现出显著的热稳定性,在较宽的pH范围(pH 5.0-11.0)和温度范围(35-70°C)内保持80%以上的相对活性。用200 mM咪唑洗脱纯化后,纯化系数提高12.54倍,比活性达到3.65单位/mg。与10% (w/v)的d -果糖反应120 min后,纯化的DPEase的最大d -果糖转化率为17.03%。所开发的DPEase固定化系统具有较高的结合效率,可一步纯化和固定化现成的DPEase柱。固定化酶可重复使用5个循环,相对活性维持在83.38%,表明该体系具有高效生产D-psicose的潜力。结论:本研究成功地建立了一个重组微生物胞外生产DPEase的原型系统。这种简化的酶纯化和固定化,显著降低了DPEase的生产成本。重组DPEase在广泛的pH和温度范围内表现出显著的稳定性。这种广泛的稳定性使得这种酶在工业规模的D-psicose生产中非常有前景,从而降低了能源成本并简化了合成过程。DPEase在各种D-psicose转化条件下表现出良好的性能,并且固定化酶具有高效的可重复使用性。这些发现支持了该系统大规模生产D-psicose的潜在应用,D-psicose是一种罕见的糖,在食品和制药工业中具有广阔的用途。
本文章由计算机程序翻译,如有差异,请以英文原文为准。
求助全文
约1分钟内获得全文 求助全文
来源期刊
Microbial Cell Factories
Microbial Cell Factories 工程技术-生物工程与应用微生物
CiteScore
9.30
自引率
4.70%
发文量
235
审稿时长
2.3 months
期刊介绍: Microbial Cell Factories is an open access peer-reviewed journal that covers any topic related to the development, use and investigation of microbial cells as producers of recombinant proteins and natural products, or as catalyzers of biological transformations of industrial interest. Microbial Cell Factories is the world leading, primary research journal fully focusing on Applied Microbiology. The journal is divided into the following editorial sections: -Metabolic engineering -Synthetic biology -Whole-cell biocatalysis -Microbial regulations -Recombinant protein production/bioprocessing -Production of natural compounds -Systems biology of cell factories -Microbial production processes -Cell-free systems
×
引用
GB/T 7714-2015
复制
MLA
复制
APA
复制
导出至
BibTeX EndNote RefMan NoteFirst NoteExpress
×
提示
您的信息不完整,为了账户安全,请先补充。
现在去补充
×
提示
您因"违规操作"
具体请查看互助需知
我知道了
×
提示
确定
请完成安全验证×
copy
已复制链接
快去分享给好友吧!
我知道了
右上角分享
点击右上角分享
0
联系我们:info@booksci.cn Book学术提供免费学术资源搜索服务,方便国内外学者检索中英文文献。致力于提供最便捷和优质的服务体验。 Copyright © 2023 布克学术 All rights reserved.
京ICP备2023020795号-1
ghs 京公网安备 11010802042870号
Book学术文献互助
Book学术文献互助群
群 号:604180095
Book学术官方微信