Gait function progress in a patient with a femoral neck fracture who underwent rehabilitation during prolonged surgical waiting time: a case study.

Takahiro Toriyama, Takahiro Miyashita, Keita Tomii, Toshiyasu Sakurai, Hiroyuki Kodaira
{"title":"Gait function progress in a patient with a femoral neck fracture who underwent rehabilitation during prolonged surgical waiting time: a case study.","authors":"Takahiro Toriyama, Takahiro Miyashita, Keita Tomii, Toshiyasu Sakurai, Hiroyuki Kodaira","doi":"10.1589/jpts.37.376","DOIUrl":null,"url":null,"abstract":"<p><p>[Purpose] We report the case of an 81-year-old woman with a femoral neck fracture whose gait function improved with in-hospital physical therapy prior to surgery. [Participants and Methods] The patient's planned bipolar hip arthroplasty was postponed due to suspected metal allergy, and she commenced rehabilitation on hospital day 4. [Results] On day 7, the patient stood and was transferred with assistance. Subsequently, owing to pain, she only left her bed during rehabilitation. On day 10, the fracture was externally fixed using a soft-conforming lumbar immobilization orthosis, which relieved the pain. The patient was allowed to stand and was transferred under supervision. On day 22, surgery was scheduled after obtaining a negative metal patch test result. On day 23, the patient was able to walk 25 m using a walker. Bipolar hip arthroplasty was performed on day 28. On day 30, she walked 10 m using a walker with light assistance. On day 52, the patient walked independently using a cane. The patient was discharged on day 63. [Conclusion] External lumbar immobilization bandages effectively reduced motion-related fracture pain. The high frequency of rehabilitation while waiting for surgery effectively prevented perioperative complications and promoted early postoperative walking recovery.</p>","PeriodicalId":16834,"journal":{"name":"Journal of Physical Therapy Science","volume":"37 7","pages":"376-381"},"PeriodicalIF":0.0000,"publicationDate":"2025-07-01","publicationTypes":"Journal Article","fieldsOfStudy":null,"isOpenAccess":false,"openAccessPdf":"https://www.ncbi.nlm.nih.gov/pmc/articles/PMC12208695/pdf/","citationCount":"0","resultStr":null,"platform":"Semanticscholar","paperid":null,"PeriodicalName":"Journal of Physical Therapy Science","FirstCategoryId":"1085","ListUrlMain":"https://doi.org/10.1589/jpts.37.376","RegionNum":0,"RegionCategory":null,"ArticlePicture":[],"TitleCN":null,"AbstractTextCN":null,"PMCID":null,"EPubDate":"","PubModel":"","JCR":"","JCRName":"","Score":null,"Total":0}
引用次数: 0

Abstract

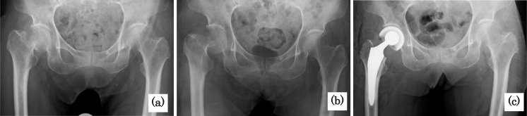
[Purpose] We report the case of an 81-year-old woman with a femoral neck fracture whose gait function improved with in-hospital physical therapy prior to surgery. [Participants and Methods] The patient's planned bipolar hip arthroplasty was postponed due to suspected metal allergy, and she commenced rehabilitation on hospital day 4. [Results] On day 7, the patient stood and was transferred with assistance. Subsequently, owing to pain, she only left her bed during rehabilitation. On day 10, the fracture was externally fixed using a soft-conforming lumbar immobilization orthosis, which relieved the pain. The patient was allowed to stand and was transferred under supervision. On day 22, surgery was scheduled after obtaining a negative metal patch test result. On day 23, the patient was able to walk 25 m using a walker. Bipolar hip arthroplasty was performed on day 28. On day 30, she walked 10 m using a walker with light assistance. On day 52, the patient walked independently using a cane. The patient was discharged on day 63. [Conclusion] External lumbar immobilization bandages effectively reduced motion-related fracture pain. The high frequency of rehabilitation while waiting for surgery effectively prevented perioperative complications and promoted early postoperative walking recovery.

Abstract Image

Abstract Image

Abstract Image

股骨颈骨折患者在长时间手术等待期间接受康复治疗的步态功能进展:一个案例研究。
【目的】我们报告一例81岁女性股骨颈骨折患者,其步态功能在手术前通过住院物理治疗得到改善。【参与者与方法】患者因疑似金属过敏,原定双相髋关节置换术延期,住院第4天开始康复。[结果]第7天,患者站立并在协助下转移。后来,由于疼痛,她在康复期间只下过床。第10天,使用柔软的腰椎固定矫形器对骨折进行外部固定,缓解了疼痛。病人被允许站立,并在监护下转移。第22天,在获得阴性金属贴片试验结果后,安排手术。第23天,患者能够使用助行器行走25米。第28天行双极髋关节置换术。在第30天,她使用助行器步行了10米。第52天,患者使用拐杖独立行走。患者于第63天出院。[结论]腰椎外固定绷带能有效减轻运动相关性骨折疼痛。高频率的围手术期康复有效预防围手术期并发症,促进术后早期行走恢复。
本文章由计算机程序翻译,如有差异,请以英文原文为准。
求助全文
约1分钟内获得全文 求助全文
来源期刊
自引率
0.00%
发文量
137
审稿时长
4-8 weeks
×
引用
GB/T 7714-2015
复制
MLA
复制
APA
复制
导出至
BibTeX EndNote RefMan NoteFirst NoteExpress
×
提示
您的信息不完整,为了账户安全,请先补充。
现在去补充
×
提示
您因"违规操作"
具体请查看互助需知
我知道了
×
提示
确定
请完成安全验证×
copy
已复制链接
快去分享给好友吧!
我知道了
右上角分享
点击右上角分享
0
联系我们:info@booksci.cn Book学术提供免费学术资源搜索服务,方便国内外学者检索中英文文献。致力于提供最便捷和优质的服务体验。 Copyright © 2023 布克学术 All rights reserved.
京ICP备2023020795号-1
ghs 京公网安备 11010802042870号
Book学术文献互助
Book学术文献互助群
群 号:604180095
Book学术官方微信