PD-L1 Expression and Tumor Microenvironment Dynamics in Diffuse Large B-Cell Lymphoma: Immunophenotypic Insights.

Q3 Medicine
Georgian Halcu, Filip Cristian Mureșan, Andrei Niculae, Anca Evsei-Seceleanu, Mihai-Emilian Lapadat, Mihai Adrian Cerbu, Mihail Ceausu
{"title":"PD-L1 Expression and Tumor Microenvironment Dynamics in Diffuse Large B-Cell Lymphoma: Immunophenotypic Insights.","authors":"Georgian Halcu, Filip Cristian Mureșan, Andrei Niculae, Anca Evsei-Seceleanu, Mihai-Emilian Lapadat, Mihai Adrian Cerbu, Mihail Ceausu","doi":"10.25122/jml-2025-0078","DOIUrl":null,"url":null,"abstract":"<p><p>Diffuse large B-cell lymphoma (DLBCL) is the most common subtype of B-cell non-Hodgkin lymphoma (NHL) and is characterized by significant biological and clinical heterogeneity. The programmed death 1 (PD-1)/ programmed death-ligand 1 (PD-L1) immune checkpoint pathway plays a crucial role in tumor immune evasion; however, its diagnostic and prognostic relevance in DLBCL remains unclear. We retrospectively analyzed 66 cases of DLBCL diagnosed between 2017 and 2024 at a single institution. Immunohistochemistry was performed on formalin-fixed, paraffin-embedded tissues using antibodies against PD-L1, PD-1, CD4, CD8, and CD68. Clinical data and histopathological features were correlated with marker expression. Statistical analyses were conducted using IBM SPSS 25, with a significance level set at <i>P</i> < 0.05. PD-L1 expression (greater than 1%) in tumor cells was infrequent (6/66 cases), while immune cell PD-L1 positivity was prevalent (39/66 cases). PD-1 positivity was observed in five tumor samples and 40.9% of stromal immune cells. A significant association was found between tumoral PD-L1 expression and histological subtype (<i>P</i> = 0.015), with anaplastic variants showing higher expression levels. Positive PD-1 expression in immune cells was significantly associated with female gender (<i>P</i> = 0.044). High CD68 expression correlated with a lower Ann Arbor stage (<i>P</i> = 0.040) and tumor morphology (<i>P</i> = 0.010). CD4 and CD8 expression levels showed no significant correlations with clinicopathological features. PD-L1 and PD-1 expression patterns in DLBCL highlight their potential relevance for immune evasion and prognosis, particularly in anaplastic variants. The tumor microenvironment, especially macrophage infiltration, plays a complex role in disease progression. Further studies are needed to validate these findings and investigate therapeutic implications.</p>","PeriodicalId":16386,"journal":{"name":"Journal of Medicine and Life","volume":"18 5","pages":"463-471"},"PeriodicalIF":0.0000,"publicationDate":"2025-05-01","publicationTypes":"Journal Article","fieldsOfStudy":null,"isOpenAccess":false,"openAccessPdf":"https://www.ncbi.nlm.nih.gov/pmc/articles/PMC12207696/pdf/","citationCount":"0","resultStr":null,"platform":"Semanticscholar","paperid":null,"PeriodicalName":"Journal of Medicine and Life","FirstCategoryId":"1085","ListUrlMain":"https://doi.org/10.25122/jml-2025-0078","RegionNum":0,"RegionCategory":null,"ArticlePicture":[],"TitleCN":null,"AbstractTextCN":null,"PMCID":null,"EPubDate":"","PubModel":"","JCR":"Q3","JCRName":"Medicine","Score":null,"Total":0}
引用次数: 0

Abstract

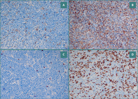
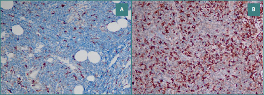
Diffuse large B-cell lymphoma (DLBCL) is the most common subtype of B-cell non-Hodgkin lymphoma (NHL) and is characterized by significant biological and clinical heterogeneity. The programmed death 1 (PD-1)/ programmed death-ligand 1 (PD-L1) immune checkpoint pathway plays a crucial role in tumor immune evasion; however, its diagnostic and prognostic relevance in DLBCL remains unclear. We retrospectively analyzed 66 cases of DLBCL diagnosed between 2017 and 2024 at a single institution. Immunohistochemistry was performed on formalin-fixed, paraffin-embedded tissues using antibodies against PD-L1, PD-1, CD4, CD8, and CD68. Clinical data and histopathological features were correlated with marker expression. Statistical analyses were conducted using IBM SPSS 25, with a significance level set at P < 0.05. PD-L1 expression (greater than 1%) in tumor cells was infrequent (6/66 cases), while immune cell PD-L1 positivity was prevalent (39/66 cases). PD-1 positivity was observed in five tumor samples and 40.9% of stromal immune cells. A significant association was found between tumoral PD-L1 expression and histological subtype (P = 0.015), with anaplastic variants showing higher expression levels. Positive PD-1 expression in immune cells was significantly associated with female gender (P = 0.044). High CD68 expression correlated with a lower Ann Arbor stage (P = 0.040) and tumor morphology (P = 0.010). CD4 and CD8 expression levels showed no significant correlations with clinicopathological features. PD-L1 and PD-1 expression patterns in DLBCL highlight their potential relevance for immune evasion and prognosis, particularly in anaplastic variants. The tumor microenvironment, especially macrophage infiltration, plays a complex role in disease progression. Further studies are needed to validate these findings and investigate therapeutic implications.

Abstract Image

Abstract Image

弥漫性大b细胞淋巴瘤中PD-L1表达和肿瘤微环境动力学:免疫表型的见解。
弥漫性大b细胞淋巴瘤(DLBCL)是b细胞非霍奇金淋巴瘤(NHL)最常见的亚型,具有显著的生物学和临床异质性。程序性死亡1 (PD-1)/程序性死亡配体1 (PD-L1)免疫检查点通路在肿瘤免疫逃避中起重要作用;然而,其在DLBCL中的诊断和预后相关性尚不清楚。我们回顾性分析了2017年至2024年在同一家机构诊断的66例DLBCL。使用针对PD-L1、PD-1、CD4、CD8和CD68的抗体对福尔马林固定、石蜡包埋的组织进行免疫组化。临床资料和组织病理学特征与标志物表达相关。采用IBM SPSS 25进行统计学分析,显著性水平设为P < 0.05。肿瘤细胞中PD-L1表达(大于1%)较少(6/66例),而免疫细胞PD-L1阳性普遍(39/66例)。5例肿瘤标本和40.9%的基质免疫细胞中PD-1阳性。肿瘤PD-L1表达与组织学亚型之间存在显著相关性(P = 0.015),间变性变体的表达水平较高。免疫细胞中PD-1阳性表达与女性有显著相关性(P = 0.044)。CD68高表达与较低的Ann Arbor分期(P = 0.040)和肿瘤形态(P = 0.010)相关。CD4和CD8表达水平与临床病理特征无显著相关性。PD-L1和PD-1在DLBCL中的表达模式强调了它们与免疫逃避和预后的潜在相关性,特别是在间变性变中。肿瘤微环境,特别是巨噬细胞浸润,在疾病进展中起着复杂的作用。需要进一步的研究来验证这些发现并调查治疗意义。
本文章由计算机程序翻译,如有差异,请以英文原文为准。
求助全文
约1分钟内获得全文 求助全文
来源期刊
Journal of Medicine and Life
Journal of Medicine and Life Medicine-Medicine (all)
CiteScore
1.90
自引率
0.00%
发文量
202
期刊介绍: The Journal of Medicine and Life publishes peer-reviewed articles from various fields of medicine and life sciences, including original research, systematic reviews, special reports, case presentations, major medical breakthroughs and letters to the editor. The Journal focuses on current matters that lie at the intersection of biomedical science and clinical practice and strives to present this information to inform health care delivery and improve patient outcomes. Papers addressing topics such as neuroprotection, neurorehabilitation, neuroplasticity, and neuroregeneration are particularly encouraged, as part of the Journal''s continuous interest in neuroscience research. The Editorial Board of the Journal of Medicine and Life is open to consider manuscripts from all levels of research and areas of biological sciences, including fundamental, experimental or clinical research and matters of public health. As part of our pledge to promote an educational and community-building environment, our issues feature sections designated to informing our readers regarding exciting international congresses, teaching courses and relevant institutional-level events.
×
引用
GB/T 7714-2015
复制
MLA
复制
APA
复制
导出至
BibTeX EndNote RefMan NoteFirst NoteExpress
×
提示
您的信息不完整,为了账户安全,请先补充。
现在去补充
×
提示
您因"违规操作"
具体请查看互助需知
我知道了
×
提示
确定
请完成安全验证×
copy
已复制链接
快去分享给好友吧!
我知道了
右上角分享
点击右上角分享
0
联系我们:info@booksci.cn Book学术提供免费学术资源搜索服务,方便国内外学者检索中英文文献。致力于提供最便捷和优质的服务体验。 Copyright © 2023 布克学术 All rights reserved.
京ICP备2023020795号-1
ghs 京公网安备 11010802042870号
Book学术文献互助
Book学术文献互助群
群 号:604180095
Book学术官方微信