Distal pulmonary epithelial maturation in preterm infants: does the lung of the preterm infant continue its functional pulmonary development postnatally?

Q3 Medicine
Raluca Chirculescu, Paul Cristian Balanescu, Gheorghe Peltecu
{"title":"Distal pulmonary epithelial maturation in preterm infants: does the lung of the preterm infant continue its functional pulmonary development postnatally?","authors":"Raluca Chirculescu, Paul Cristian Balanescu, Gheorghe Peltecu","doi":"10.25122/jml-2025-0072","DOIUrl":null,"url":null,"abstract":"<p><p>Disruption of pulmonary development caused by premature birth before the achievement of functional pulmonary maturation culminates in respiratory distress syndrome, primarily due to surfactant deficiency. Furthermore, the severity of this syndrome intensifies, particularly in the case of extremely premature neonates. This investigation aimed to evaluate the presence of postnatal pulmonary functional maturation in premature neonates. In pursuit of this objective, we conducted immunohistochemical assays for surfactant and Napsin A within the pulmonary tissue of 67 preterm neonates, with gestational ages ranging from 23 to 35 weeks, whose lifespans varied between one day and 149 days. The two immunohistochemical markers were evaluated within the pulmonary distal epithelium, and their expression was interpreted in relation to various pre- and postnatal factors. The examination was performed on tissue microarrays, sectioned at 5 micrometers, and the assessment of the immunohistochemical markers was interpreted from photographs captured under the optical microscope. Our investigation revealed that all neonates, regardless of their gestational age or lifespan, demonstrated the presence of surfactant within the pulmonary tissue. The intensity of Napsin A expression exhibited a positive correlation with gestational age, duration of oxygen therapy/mechanical ventilation, administration of antenatal corticosteroids, and maternal infections during pregnancy. In summary, our research demonstrated that mechanical ventilation, through the dynamic process of alveolar distension, promotes surfactant production within the distal lung epithelium. Antenatal treatment with corticosteroids and maternal antenatal infections enhances pulmonary function, facilitating surfactant production.</p>","PeriodicalId":16386,"journal":{"name":"Journal of Medicine and Life","volume":"18 5","pages":"478-486"},"PeriodicalIF":0.0000,"publicationDate":"2025-05-01","publicationTypes":"Journal Article","fieldsOfStudy":null,"isOpenAccess":false,"openAccessPdf":"https://www.ncbi.nlm.nih.gov/pmc/articles/PMC12207692/pdf/","citationCount":"0","resultStr":null,"platform":"Semanticscholar","paperid":null,"PeriodicalName":"Journal of Medicine and Life","FirstCategoryId":"1085","ListUrlMain":"https://doi.org/10.25122/jml-2025-0072","RegionNum":0,"RegionCategory":null,"ArticlePicture":[],"TitleCN":null,"AbstractTextCN":null,"PMCID":null,"EPubDate":"","PubModel":"","JCR":"Q3","JCRName":"Medicine","Score":null,"Total":0}
引用次数: 0

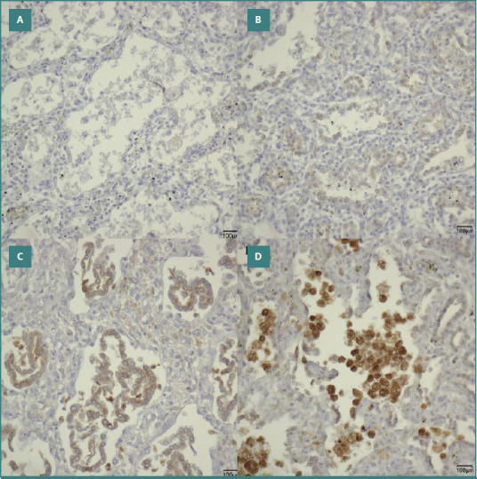
Abstract

Disruption of pulmonary development caused by premature birth before the achievement of functional pulmonary maturation culminates in respiratory distress syndrome, primarily due to surfactant deficiency. Furthermore, the severity of this syndrome intensifies, particularly in the case of extremely premature neonates. This investigation aimed to evaluate the presence of postnatal pulmonary functional maturation in premature neonates. In pursuit of this objective, we conducted immunohistochemical assays for surfactant and Napsin A within the pulmonary tissue of 67 preterm neonates, with gestational ages ranging from 23 to 35 weeks, whose lifespans varied between one day and 149 days. The two immunohistochemical markers were evaluated within the pulmonary distal epithelium, and their expression was interpreted in relation to various pre- and postnatal factors. The examination was performed on tissue microarrays, sectioned at 5 micrometers, and the assessment of the immunohistochemical markers was interpreted from photographs captured under the optical microscope. Our investigation revealed that all neonates, regardless of their gestational age or lifespan, demonstrated the presence of surfactant within the pulmonary tissue. The intensity of Napsin A expression exhibited a positive correlation with gestational age, duration of oxygen therapy/mechanical ventilation, administration of antenatal corticosteroids, and maternal infections during pregnancy. In summary, our research demonstrated that mechanical ventilation, through the dynamic process of alveolar distension, promotes surfactant production within the distal lung epithelium. Antenatal treatment with corticosteroids and maternal antenatal infections enhances pulmonary function, facilitating surfactant production.

Abstract Image

Abstract Image

早产儿远端肺上皮成熟:早产儿的肺在出生后是否继续其功能性肺发育?
在实现肺功能成熟之前,早产导致肺发育中断,最终导致呼吸窘迫综合征,主要是由于表面活性剂缺乏。此外,这种综合征的严重程度加剧,特别是在极早产儿的情况下。本研究旨在评估早产儿出生后肺功能成熟的存在。为了实现这一目标,我们对67名胎龄在23至35周、寿命在1天至149天之间的早产儿进行了肺组织中表面活性剂和Napsin A的免疫组化检测。在肺远端上皮内评估两种免疫组织化学标志物,并解释其表达与各种产前和产后因素的关系。在组织微阵列上进行检查,在5微米处切片,并从光学显微镜下捕获的照片中解释免疫组织化学标记物的评估。我们的研究显示,所有的新生儿,无论他们的胎龄或寿命,都表现出在肺组织中存在表面活性剂。Napsin A的表达强度与胎龄、氧治疗/机械通气持续时间、产前皮质激素的使用和妊娠期间母体感染呈正相关。总之,我们的研究表明,机械通气通过肺泡扩张的动态过程,促进远端肺上皮内表面活性剂的产生。产前治疗与皮质类固醇和产妇产前感染增强肺功能,促进表面活性剂的生产。
本文章由计算机程序翻译,如有差异,请以英文原文为准。
求助全文
约1分钟内获得全文 求助全文
来源期刊
Journal of Medicine and Life
Journal of Medicine and Life Medicine-Medicine (all)
CiteScore
1.90
自引率
0.00%
发文量
202
期刊介绍: The Journal of Medicine and Life publishes peer-reviewed articles from various fields of medicine and life sciences, including original research, systematic reviews, special reports, case presentations, major medical breakthroughs and letters to the editor. The Journal focuses on current matters that lie at the intersection of biomedical science and clinical practice and strives to present this information to inform health care delivery and improve patient outcomes. Papers addressing topics such as neuroprotection, neurorehabilitation, neuroplasticity, and neuroregeneration are particularly encouraged, as part of the Journal''s continuous interest in neuroscience research. The Editorial Board of the Journal of Medicine and Life is open to consider manuscripts from all levels of research and areas of biological sciences, including fundamental, experimental or clinical research and matters of public health. As part of our pledge to promote an educational and community-building environment, our issues feature sections designated to informing our readers regarding exciting international congresses, teaching courses and relevant institutional-level events.
×
引用
GB/T 7714-2015
复制
MLA
复制
APA
复制
导出至
BibTeX EndNote RefMan NoteFirst NoteExpress
×
提示
您的信息不完整,为了账户安全,请先补充。
现在去补充
×
提示
您因"违规操作"
具体请查看互助需知
我知道了
×
提示
确定
请完成安全验证×
copy
已复制链接
快去分享给好友吧!
我知道了
右上角分享
点击右上角分享
0
联系我们:info@booksci.cn Book学术提供免费学术资源搜索服务,方便国内外学者检索中英文文献。致力于提供最便捷和优质的服务体验。 Copyright © 2023 布克学术 All rights reserved.
京ICP备2023020795号-1
ghs 京公网安备 11010802042870号
Book学术文献互助
Book学术文献互助群
群 号:604180095
Book学术官方微信