In Vitro Culture of Vitrified Immature Mouse Testicular Tissue in The Presence of N-acetylcysteine Antioxidant.

IF 2.2 Q2 OBSTETRICS & GYNECOLOGY
Parmiss Nikoosokhan, Zeinab Ghezelayagh, Samira Hajiaghalou, Alireza Alizadeh Moghadam Masouleh, Bita Ebrahimi
{"title":"<i>In Vitro</i> Culture of Vitrified Immature Mouse Testicular Tissue in The Presence of N-acetylcysteine Antioxidant.","authors":"Parmiss Nikoosokhan, Zeinab Ghezelayagh, Samira Hajiaghalou, Alireza Alizadeh Moghadam Masouleh, Bita Ebrahimi","doi":"10.22074/ijfs.2025.2039641.1749","DOIUrl":null,"url":null,"abstract":"<p><strong>Background: </strong>Cryopreservation of immature testicular tissue is a suitable method for spermatogonial stem cell (SSC) preservation in prepubertal boys, who are at risk of infertility due to cancer treatments. Viable spermatozoa can be obtained by transplantation or <i>in vitro</i> culture of cryopreserved testicular tissue. Optimizing the culture conditions is essential for reducing tissue damage caused by oxidative stress produced during cryopreservation and culture. Our objective was to improve the culture conditions of vitrified immature mouse testicular tissue by using N-acetylcysteine (NAC) antioxidant.</p><p><strong>Materials and methods: </strong>In this experimental study, testicular tissues of 6-day-old immature NMRI mice were isolated, vitrified, and distributed into three groups: control, culture I (cultured without NAC), and culture II (cultured in the presence of 125 mM NAC). After seven days of culture, histological analysis, cell viability, apoptotic-related gene expression, promyelocytic leukaemia zinc finger (<i>Plzf</i>) gene expression, and Caspase-3 protein expression were assessed. Moreover, the malondialdehyde (MDA) level was measured in the culture media.</p><p><strong>Results: </strong>Tissue integrity and higher viability level were observed in the culture II group compared to the other two groups. Furthermore, the <i>Bax/Bcl-2</i> ratio and MDA level were decreased significantly in the culture ӀӀ group, whereas <i>Caspase-3</i> and <i>Plzf</i> gene expression were significantly increased.</p><p><strong>Conclusion: </strong>Our data revealed that the presence of 125 mM NAC improves the developmental process of vitrifiedwarmed immature mouse testicular fragments during <i>in vitro</i> culture, thus it may have potential implications for <i>in vitro</i> culturing of human prepubertal testicular tissues.</p>","PeriodicalId":14080,"journal":{"name":"International Journal of Fertility & Sterility","volume":"19 3","pages":"296-304"},"PeriodicalIF":2.2000,"publicationDate":"2025-05-14","publicationTypes":"Journal Article","fieldsOfStudy":null,"isOpenAccess":false,"openAccessPdf":"https://www.ncbi.nlm.nih.gov/pmc/articles/PMC12206351/pdf/","citationCount":"0","resultStr":null,"platform":"Semanticscholar","paperid":null,"PeriodicalName":"International Journal of Fertility & Sterility","FirstCategoryId":"1085","ListUrlMain":"https://doi.org/10.22074/ijfs.2025.2039641.1749","RegionNum":0,"RegionCategory":null,"ArticlePicture":[],"TitleCN":null,"AbstractTextCN":null,"PMCID":null,"EPubDate":"","PubModel":"","JCR":"Q2","JCRName":"OBSTETRICS & GYNECOLOGY","Score":null,"Total":0}
引用次数: 0

Abstract

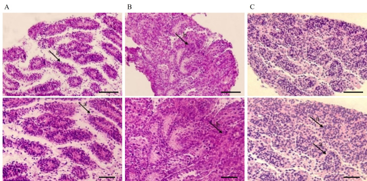
Background: Cryopreservation of immature testicular tissue is a suitable method for spermatogonial stem cell (SSC) preservation in prepubertal boys, who are at risk of infertility due to cancer treatments. Viable spermatozoa can be obtained by transplantation or in vitro culture of cryopreserved testicular tissue. Optimizing the culture conditions is essential for reducing tissue damage caused by oxidative stress produced during cryopreservation and culture. Our objective was to improve the culture conditions of vitrified immature mouse testicular tissue by using N-acetylcysteine (NAC) antioxidant.

Materials and methods: In this experimental study, testicular tissues of 6-day-old immature NMRI mice were isolated, vitrified, and distributed into three groups: control, culture I (cultured without NAC), and culture II (cultured in the presence of 125 mM NAC). After seven days of culture, histological analysis, cell viability, apoptotic-related gene expression, promyelocytic leukaemia zinc finger (Plzf) gene expression, and Caspase-3 protein expression were assessed. Moreover, the malondialdehyde (MDA) level was measured in the culture media.

Results: Tissue integrity and higher viability level were observed in the culture II group compared to the other two groups. Furthermore, the Bax/Bcl-2 ratio and MDA level were decreased significantly in the culture ӀӀ group, whereas Caspase-3 and Plzf gene expression were significantly increased.

Conclusion: Our data revealed that the presence of 125 mM NAC improves the developmental process of vitrifiedwarmed immature mouse testicular fragments during in vitro culture, thus it may have potential implications for in vitro culturing of human prepubertal testicular tissues.

Abstract Image

Abstract Image

Abstract Image

n -乙酰半胱氨酸抗氧化剂作用下玻璃化未成熟小鼠睾丸组织的体外培养。
背景:冷冻保存未成熟睾丸组织是保存精原干细胞(SSC)的合适方法,适用于因癌症治疗而有不育风险的青春期前男孩。可以通过移植或体外培养冷冻保存的睾丸组织获得活精子。优化培养条件是减少低温保存和培养过程中氧化应激引起的组织损伤的必要条件。我们的目的是利用n -乙酰半胱氨酸(NAC)抗氧化剂改善玻璃化的未成熟小鼠睾丸组织的培养条件。材料与方法:本实验研究分离6日龄未成熟NMRI小鼠睾丸组织,玻璃化,分为对照组、培养I(不含NAC培养)和培养II (125mm NAC培养)三组。培养7天后进行组织学分析、细胞活力、凋亡相关基因表达、早幼粒细胞白血病锌指(Plzf)基因表达、Caspase-3蛋白表达。同时测定培养基中丙二醛(MDA)含量。结果:与其他两组相比,培养组的组织完整性和活力水平更高。此外,ӀӀ培养组Bax/Bcl-2比值和MDA水平显著降低,Caspase-3和Plzf基因表达显著升高。结论:125 mM NAC的存在改善了玻璃化加热的未成熟小鼠睾丸碎片的体外培养过程,因此可能对体外培养人青春期前睾丸组织具有潜在的指导意义。
本文章由计算机程序翻译,如有差异,请以英文原文为准。
求助全文
约1分钟内获得全文 求助全文
来源期刊
CiteScore
4.20
自引率
0.00%
发文量
68
审稿时长
>12 weeks
期刊介绍: International Journal of Fertility & Sterility is a quarterly English publication of Royan Institute . The aim of the journal is to disseminate information through publishing the most recent scientific research studies on Fertility and Sterility and other related topics. Int J Fertil Steril has been certified by Ministry of Culture and Islamic Guidance in 2007 and was accredited as a scientific and research journal by HBI (Health and Biomedical Information) Journal Accreditation Commission in 2008. Int J Fertil Steril is an Open Access journal.
×
引用
GB/T 7714-2015
复制
MLA
复制
APA
复制
导出至
BibTeX EndNote RefMan NoteFirst NoteExpress
×
提示
您的信息不完整,为了账户安全,请先补充。
现在去补充
×
提示
您因"违规操作"
具体请查看互助需知
我知道了
×
提示
确定
请完成安全验证×
copy
已复制链接
快去分享给好友吧!
我知道了
右上角分享
点击右上角分享
0
联系我们:info@booksci.cn Book学术提供免费学术资源搜索服务,方便国内外学者检索中英文文献。致力于提供最便捷和优质的服务体验。 Copyright © 2023 布克学术 All rights reserved.
京ICP备2023020795号-1
ghs 京公网安备 11010802042870号
Book学术文献互助
Book学术文献互助群
群 号:604180095
Book学术官方微信