An engineered self-cleavage fusion system for the production of chimaera spider silk proteins.

IF 3.4 3区 生物学 Q2 BIOTECHNOLOGY & APPLIED MICROBIOLOGY
Yongqin Su, Ke Zheng, Cheng Cheng
{"title":"An engineered self-cleavage fusion system for the production of chimaera spider silk proteins.","authors":"Yongqin Su, Ke Zheng, Cheng Cheng","doi":"10.1186/s12896-025-00987-1","DOIUrl":null,"url":null,"abstract":"<p><strong>Background: </strong>Spidroins are well-known for their exceptional mechanical properties, which have inspired extensive research and applications across various fields. Large-scale production of spidroin continues to face major challenges due to the complexity involved in inducing host organisms to express full-length spidroins. This process requires advanced techniques and has issues such as plasmid instability and potential misfolding.</p><p><strong>Results: </strong>In this study, we developed a novel expression system by combining a fusion tag with a self-cleavage intein, enabling the convenient expression of three chimeric spidroins with varying numbers of repetitive units. After optimising expression conditions, NT2RepCT, NT4RepCT and NT6RepCT spidroins were obtained in soluble form, with yields of 266, 135 and 125 mg/L, respectively. All three spidroins exhibited an increased β-sheet content with increased numbers of repetitive units during transition from soluble to dry state. In terms of nanofibril morphologies, the self-assemblies of NT4RepCT and NT6RepCT closely resemble those of native silk proteins.</p><p><strong>Conclusion: </strong>This study can serve as a reference for preparation of high-performance spider silk materials and soluble expression of proteins, such as collagen, and as a foundation for preparation of other structurally complex polymer materials.</p>","PeriodicalId":8905,"journal":{"name":"BMC Biotechnology","volume":"25 1","pages":"56"},"PeriodicalIF":3.4000,"publicationDate":"2025-07-01","publicationTypes":"Journal Article","fieldsOfStudy":null,"isOpenAccess":false,"openAccessPdf":"https://www.ncbi.nlm.nih.gov/pmc/articles/PMC12218096/pdf/","citationCount":"0","resultStr":null,"platform":"Semanticscholar","paperid":null,"PeriodicalName":"BMC Biotechnology","FirstCategoryId":"5","ListUrlMain":"https://doi.org/10.1186/s12896-025-00987-1","RegionNum":3,"RegionCategory":"生物学","ArticlePicture":[],"TitleCN":null,"AbstractTextCN":null,"PMCID":null,"EPubDate":"","PubModel":"","JCR":"Q2","JCRName":"BIOTECHNOLOGY & APPLIED MICROBIOLOGY","Score":null,"Total":0}
引用次数: 0

Abstract

Background: Spidroins are well-known for their exceptional mechanical properties, which have inspired extensive research and applications across various fields. Large-scale production of spidroin continues to face major challenges due to the complexity involved in inducing host organisms to express full-length spidroins. This process requires advanced techniques and has issues such as plasmid instability and potential misfolding.

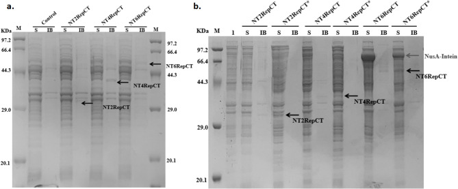
Results: In this study, we developed a novel expression system by combining a fusion tag with a self-cleavage intein, enabling the convenient expression of three chimeric spidroins with varying numbers of repetitive units. After optimising expression conditions, NT2RepCT, NT4RepCT and NT6RepCT spidroins were obtained in soluble form, with yields of 266, 135 and 125 mg/L, respectively. All three spidroins exhibited an increased β-sheet content with increased numbers of repetitive units during transition from soluble to dry state. In terms of nanofibril morphologies, the self-assemblies of NT4RepCT and NT6RepCT closely resemble those of native silk proteins.

Conclusion: This study can serve as a reference for preparation of high-performance spider silk materials and soluble expression of proteins, such as collagen, and as a foundation for preparation of other structurally complex polymer materials.

Abstract Image

Abstract Image

Abstract Image

一种用于生产嵌合体蜘蛛丝蛋白的工程自裂融合系统。
背景:蜘蛛因其特殊的机械性能而闻名,这激发了在各个领域的广泛研究和应用。由于诱导宿主生物表达全长蜘蛛蛋白的复杂性,蜘蛛蛋白的大规模生产仍然面临着重大挑战。这一过程需要先进的技术,并存在质粒不稳定和潜在的错误折叠等问题。结果:在本研究中,我们开发了一种新的表达系统,通过将融合标签与自裂蛋白结合,可以方便地表达具有不同数量重复单元的三种嵌合蜘蛛蛋白。优化表达条件后,可获得可溶性的NT2RepCT、NT4RepCT和NT6RepCT蜘蛛蛋白,产率分别为266、135和125 mg/L。在从可溶性到干燥状态的转变过程中,三种蜘蛛的β-sheet含量随着重复单位数量的增加而增加。在纳米纤维形态方面,NT4RepCT和NT6RepCT的自组装与天然丝蛋白的自组装非常相似。结论:本研究可为高性能蜘蛛丝材料的制备和胶原蛋白等蛋白的可溶性表达提供参考,并为制备其他结构复杂的高分子材料奠定基础。
本文章由计算机程序翻译,如有差异,请以英文原文为准。
求助全文
约1分钟内获得全文 求助全文
来源期刊
BMC Biotechnology
BMC Biotechnology 工程技术-生物工程与应用微生物
CiteScore
6.60
自引率
0.00%
发文量
34
审稿时长
2 months
期刊介绍: BMC Biotechnology is an open access, peer-reviewed journal that considers articles on the manipulation of biological macromolecules or organisms for use in experimental procedures, cellular and tissue engineering or in the pharmaceutical, agricultural biotechnology and allied industries.
×
引用
GB/T 7714-2015
复制
MLA
复制
APA
复制
导出至
BibTeX EndNote RefMan NoteFirst NoteExpress
×
提示
您的信息不完整,为了账户安全,请先补充。
现在去补充
×
提示
您因"违规操作"
具体请查看互助需知
我知道了
×
提示
确定
请完成安全验证×
copy
已复制链接
快去分享给好友吧!
我知道了
右上角分享
点击右上角分享
0
联系我们:info@booksci.cn Book学术提供免费学术资源搜索服务,方便国内外学者检索中英文文献。致力于提供最便捷和优质的服务体验。 Copyright © 2023 布克学术 All rights reserved.
京ICP备2023020795号-1
ghs 京公网安备 11010802042870号
Book学术文献互助
Book学术文献互助群
群 号:604180095
Book学术官方微信