TECHNIQUE CROSSOVER IN STENTING CORONARY BIFURCATION.

IF 0.8 4区 医学 Q3 MEDICINE, GENERAL & INTERNAL
Sandra Šarić, Marin Vučković
{"title":"TECHNIQUE CROSSOVER IN STENTING CORONARY BIFURCATION.","authors":"Sandra Šarić, Marin Vučković","doi":"10.20471/acc.2024.63.s1.7","DOIUrl":null,"url":null,"abstract":"<p><p>Planning and guiding PCI in a complex intervention is very important and one of the most important decisions is the one on whether to use one or two stent bifurcation techniques. Unfortunately, this can easily turn into complication and the need to alter the procedural strategy. The main points to be considered when deciding on the PCI strategy are related to both procedural safety and long-term outcomes. Provisional stenting has been recommended as the default technique for most coronary bifurcation lesions. In this paper, we describe the case of a patient scheduled for elective procedure of bifurcation lesion of LAD/D1. Our planned strategy was provisional stenting of LAD, using one stent for LAD, DCB for D1. Due to the complication that occurred, i.e., dissection of LAD after LAD stenting, we changed the strategy to two-stents technique strategy, using Culotte technique.</p>","PeriodicalId":7072,"journal":{"name":"Acta clinica Croatica","volume":"63 Suppl1","pages":"37-42"},"PeriodicalIF":0.8000,"publicationDate":"2024-03-01","publicationTypes":"Journal Article","fieldsOfStudy":null,"isOpenAccess":false,"openAccessPdf":"https://www.ncbi.nlm.nih.gov/pmc/articles/PMC12207840/pdf/","citationCount":"0","resultStr":null,"platform":"Semanticscholar","paperid":null,"PeriodicalName":"Acta clinica Croatica","FirstCategoryId":"3","ListUrlMain":"https://doi.org/10.20471/acc.2024.63.s1.7","RegionNum":4,"RegionCategory":"医学","ArticlePicture":[],"TitleCN":null,"AbstractTextCN":null,"PMCID":null,"EPubDate":"","PubModel":"","JCR":"Q3","JCRName":"MEDICINE, GENERAL & INTERNAL","Score":null,"Total":0}
引用次数: 0

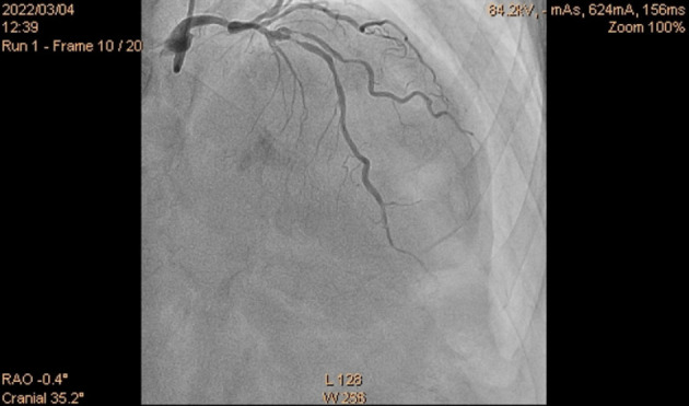
Abstract

Planning and guiding PCI in a complex intervention is very important and one of the most important decisions is the one on whether to use one or two stent bifurcation techniques. Unfortunately, this can easily turn into complication and the need to alter the procedural strategy. The main points to be considered when deciding on the PCI strategy are related to both procedural safety and long-term outcomes. Provisional stenting has been recommended as the default technique for most coronary bifurcation lesions. In this paper, we describe the case of a patient scheduled for elective procedure of bifurcation lesion of LAD/D1. Our planned strategy was provisional stenting of LAD, using one stent for LAD, DCB for D1. Due to the complication that occurred, i.e., dissection of LAD after LAD stenting, we changed the strategy to two-stents technique strategy, using Culotte technique.

Abstract Image

Abstract Image

Abstract Image

冠状动脉分叉支架术的技术交叉。
在复杂的介入治疗中规划和指导PCI是非常重要的,其中最重要的决定之一是是否使用一种或两种支架分叉技术。不幸的是,这很容易变得复杂,需要改变程序策略。在决定PCI策略时要考虑的要点与手术安全性和长期结果有关。临时支架置入术被推荐为大多数冠状动脉分叉病变的默认技术。在本文中,我们描述的情况下,病人计划择期手术的分叉病变的LAD/D1。我们计划的策略是LAD临时支架置入,LAD使用一个支架,D1使用DCB。由于LAD支架置入术后LAD发生夹层等并发症,我们将策略改为双支架技术策略,采用Culotte技术。
本文章由计算机程序翻译,如有差异,请以英文原文为准。
求助全文
约1分钟内获得全文 求助全文
来源期刊
Acta clinica Croatica
Acta clinica Croatica 医学-医学:内科
CiteScore
1.10
自引率
16.70%
发文量
38
审稿时长
6-12 weeks
期刊介绍: Acta Clinica Croatica is a peer reviewed general medical journal that publishes original articles that advance and improve medical science and practice and that serve the purpose of transfer of original and valuable information to journal readers. Acta Clinica Croatica is published in English four times a year.
×
引用
GB/T 7714-2015
复制
MLA
复制
APA
复制
导出至
BibTeX EndNote RefMan NoteFirst NoteExpress
×
提示
您的信息不完整,为了账户安全,请先补充。
现在去补充
×
提示
您因"违规操作"
具体请查看互助需知
我知道了
×
提示
确定
请完成安全验证×
copy
已复制链接
快去分享给好友吧!
我知道了
右上角分享
点击右上角分享
0
联系我们:info@booksci.cn Book学术提供免费学术资源搜索服务,方便国内外学者检索中英文文献。致力于提供最便捷和优质的服务体验。 Copyright © 2023 布克学术 All rights reserved.
京ICP备2023020795号-1
ghs 京公网安备 11010802042870号
Book学术文献互助
Book学术文献互助群
群 号:604180095
Book学术官方微信