A new heterozygous TYK2 gene mutation: Case report and review of the literature.

IF 2.6 3区 医学
Lei Xie, Xinyue Hu, Hejing Wang, Juntao Feng, Ruoxi He
{"title":"A new heterozygous TYK2 gene mutation: Case report and review of the literature.","authors":"Lei Xie, Xinyue Hu, Hejing Wang, Juntao Feng, Ruoxi He","doi":"10.1177/03946320251351138","DOIUrl":null,"url":null,"abstract":"<p><p>Tyrosine kinase 2 (TYK2) deficiency is a rare primary immunodeficiency disease (PID). Patients carry TYK2 gene mutations and suffer from recurrent infections by intracellular pathogens, including mycobacteria. Delayed diagnosis often hinders timely and effective treatment, resulting in poor prognosis. In this study, we report a newly discovered TYK2 deficiency patient with recurrent pulmonary infections. The patient, a 27-year-old Chinese man with a history of tuberculosis, presented with recurrent cough, phlegm, and purulent sputum. Lung CT scan showed bronchiectasis with concomitant infection. Next-generation sequencing (NGS) identified Mycobacterium gordonae and Mycobacterium chelonae in lung, along with heterozygous c.997G>A&c.10C>T (p.V333M&p.R4C) mutation in TYK2. Further pathogenicity prediction analysis via dbNSFP (v5.1a) suggested the potential pathogenicity of this genetic variant. Additionally, TYK2 mRNA expression in peripheral blood mononuclear cells (PBMCs) also decreased significantly. Following anti-infective treatment, the patient improved and was discharged with regular human immunoglobulin infusion. However, the patient unfortunately succumbed to disease exacerbation in October 2021, 15 months after diagnosis. Furthermore, a literature review was conducted on cases of TYK2 deficiency. Previous studies have identified 24 mutation sites within TYK2 gene, which impair immune function and lead to early-onset recurrent infections. These mutations contribute to clinical heterogeneity, with the most common manifestation being recurrent infections by opportunistic pathogens, particularly mycobacteria. Our discovery of a novel TYK2 mutation expands the gene's mutation spectrum. Analyzing the characteristics of reported cases enhances understanding of TYK2 deficiency's clinical manifestations and facilitates early diagnosis of this rare condition.</p>","PeriodicalId":48647,"journal":{"name":"International Journal of Immunopathology and Pharmacology","volume":"39 ","pages":"3946320251351138"},"PeriodicalIF":2.6000,"publicationDate":"2025-01-01","publicationTypes":"Journal Article","fieldsOfStudy":null,"isOpenAccess":false,"openAccessPdf":"https://www.ncbi.nlm.nih.gov/pmc/articles/PMC12214311/pdf/","citationCount":"0","resultStr":null,"platform":"Semanticscholar","paperid":null,"PeriodicalName":"International Journal of Immunopathology and Pharmacology","FirstCategoryId":"3","ListUrlMain":"https://doi.org/10.1177/03946320251351138","RegionNum":3,"RegionCategory":"医学","ArticlePicture":[],"TitleCN":null,"AbstractTextCN":null,"PMCID":null,"EPubDate":"2025/6/30 0:00:00","PubModel":"Epub","JCR":"","JCRName":"","Score":null,"Total":0}
引用次数: 0

Abstract

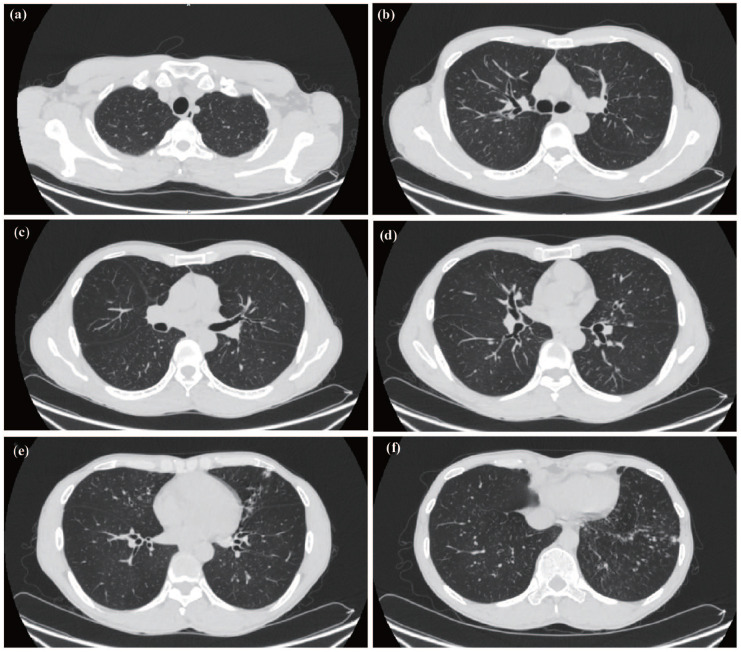
Tyrosine kinase 2 (TYK2) deficiency is a rare primary immunodeficiency disease (PID). Patients carry TYK2 gene mutations and suffer from recurrent infections by intracellular pathogens, including mycobacteria. Delayed diagnosis often hinders timely and effective treatment, resulting in poor prognosis. In this study, we report a newly discovered TYK2 deficiency patient with recurrent pulmonary infections. The patient, a 27-year-old Chinese man with a history of tuberculosis, presented with recurrent cough, phlegm, and purulent sputum. Lung CT scan showed bronchiectasis with concomitant infection. Next-generation sequencing (NGS) identified Mycobacterium gordonae and Mycobacterium chelonae in lung, along with heterozygous c.997G>A&c.10C>T (p.V333M&p.R4C) mutation in TYK2. Further pathogenicity prediction analysis via dbNSFP (v5.1a) suggested the potential pathogenicity of this genetic variant. Additionally, TYK2 mRNA expression in peripheral blood mononuclear cells (PBMCs) also decreased significantly. Following anti-infective treatment, the patient improved and was discharged with regular human immunoglobulin infusion. However, the patient unfortunately succumbed to disease exacerbation in October 2021, 15 months after diagnosis. Furthermore, a literature review was conducted on cases of TYK2 deficiency. Previous studies have identified 24 mutation sites within TYK2 gene, which impair immune function and lead to early-onset recurrent infections. These mutations contribute to clinical heterogeneity, with the most common manifestation being recurrent infections by opportunistic pathogens, particularly mycobacteria. Our discovery of a novel TYK2 mutation expands the gene's mutation spectrum. Analyzing the characteristics of reported cases enhances understanding of TYK2 deficiency's clinical manifestations and facilitates early diagnosis of this rare condition.

Abstract Image

Abstract Image

Abstract Image

一种新的杂合TYK2基因突变:病例报告和文献复习。
酪氨酸激酶2 (TYK2)缺乏是一种罕见的原发性免疫缺陷疾病(PID)。患者携带TYK2基因突变,并遭受细胞内病原体(包括分枝杆菌)的反复感染。延误诊断往往妨碍及时有效的治疗,导致预后不良。在这项研究中,我们报告了一个新发现的TYK2缺乏症患者复发性肺部感染。患者为27岁中国男性,有结核病史,表现为反复咳嗽、痰多和脓性痰。肺部CT显示支气管扩张伴感染。下一代测序(NGS)在肺中鉴定出gordonae和chelonae分枝杆菌,以及杂合子c.997G . > . A&c。TYK2中的10C>T (p.V333M&p.R4C)突变通过dbNSFP (v5.1a)进一步的致病性预测分析表明该遗传变异具有潜在的致病性。此外,TYK2 mRNA在外周血单个核细胞(PBMCs)中的表达也显著降低。经抗感染治疗后,患者病情好转,出院时给予常规人免疫球蛋白输注。然而,在诊断15个月后的2021年10月,患者不幸死于疾病恶化。此外,我们还对TYK2缺乏的病例进行了文献综述。先前的研究已经确定了TYK2基因内的24个突变位点,这些突变位点损害免疫功能并导致早发性复发感染。这些突变导致临床异质性,最常见的表现是机会致病菌,特别是分枝杆菌的反复感染。我们发现了一种新的TYK2突变,扩大了该基因的突变谱。分析报告病例的特点,有助于了解TYK2缺乏症的临床表现,有助于对这种罕见疾病的早期诊断。
本文章由计算机程序翻译,如有差异,请以英文原文为准。
求助全文
约1分钟内获得全文 求助全文
来源期刊
International Journal of Immunopathology and Pharmacology
International Journal of Immunopathology and Pharmacology Immunology and Microbiology-Immunology
自引率
0.00%
发文量
88
期刊介绍: International Journal of Immunopathology and Pharmacology is an Open Access peer-reviewed journal publishing original papers describing research in the fields of immunology, pathology and pharmacology. The intention is that the journal should reflect both the experimental and clinical aspects of immunology as well as advances in the understanding of the pathology and pharmacology of the immune system.
×
引用
GB/T 7714-2015
复制
MLA
复制
APA
复制
导出至
BibTeX EndNote RefMan NoteFirst NoteExpress
×
提示
您的信息不完整,为了账户安全,请先补充。
现在去补充
×
提示
您因"违规操作"
具体请查看互助需知
我知道了
×
提示
确定
请完成安全验证×
copy
已复制链接
快去分享给好友吧!
我知道了
右上角分享
点击右上角分享
0
联系我们:info@booksci.cn Book学术提供免费学术资源搜索服务,方便国内外学者检索中英文文献。致力于提供最便捷和优质的服务体验。 Copyright © 2023 布克学术 All rights reserved.
京ICP备2023020795号-1
ghs 京公网安备 11010802042870号
Book学术文献互助
Book学术文献互助群
群 号:604180095
Book学术官方微信