First reported case of axillary Angiolymphoid hyperplasia with eosinophilia: a rare localization and literature review.

IF 0.4 Q3 MEDICINE, GENERAL & INTERNAL
Oxford Medical Case Reports Pub Date : 2025-06-28 eCollection Date: 2025-06-01 DOI:10.1093/omcr/omaf089
Dyala Sayed Ahmed, Zeinab Mustafa Asmar, Moatasem Hussein Al-Janabi, Fouz Hassan
{"title":"First reported case of axillary Angiolymphoid hyperplasia with eosinophilia: a rare localization and literature review.","authors":"Dyala Sayed Ahmed, Zeinab Mustafa Asmar, Moatasem Hussein Al-Janabi, Fouz Hassan","doi":"10.1093/omcr/omaf089","DOIUrl":null,"url":null,"abstract":"<p><p>Angiolymphoid hyperplasia with eosinophilia (ALHE) is a rare benign vasoproliferative disorder that commonly affects the scalp and periauricular region. It presents as solitary or multiple erythematous papules or nodules, typically in young to middle-aged adults. The etiology remains unclear, with trauma, infections, and hormonal influences considered possible triggers. Here, we report a rare case of ALHE in a 72-year-old male with multiple scalp nodules and a solitary lesion in the axilla, an unusual anatomical site. Histopathological examination confirmed ALHE. Surgical excision was performed, with no recurrence at six months. To our knowledge, this is the first documented case of axillary ALHE, expanding the spectrum of its clinical presentation.</p>","PeriodicalId":45318,"journal":{"name":"Oxford Medical Case Reports","volume":"2025 6","pages":"omaf089"},"PeriodicalIF":0.4000,"publicationDate":"2025-06-28","publicationTypes":"Journal Article","fieldsOfStudy":null,"isOpenAccess":false,"openAccessPdf":"https://www.ncbi.nlm.nih.gov/pmc/articles/PMC12205433/pdf/","citationCount":"0","resultStr":null,"platform":"Semanticscholar","paperid":null,"PeriodicalName":"Oxford Medical Case Reports","FirstCategoryId":"1085","ListUrlMain":"https://doi.org/10.1093/omcr/omaf089","RegionNum":0,"RegionCategory":null,"ArticlePicture":[],"TitleCN":null,"AbstractTextCN":null,"PMCID":null,"EPubDate":"2025/6/1 0:00:00","PubModel":"eCollection","JCR":"Q3","JCRName":"MEDICINE, GENERAL & INTERNAL","Score":null,"Total":0}
引用次数: 0

Abstract

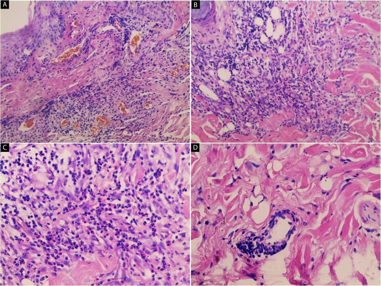
Angiolymphoid hyperplasia with eosinophilia (ALHE) is a rare benign vasoproliferative disorder that commonly affects the scalp and periauricular region. It presents as solitary or multiple erythematous papules or nodules, typically in young to middle-aged adults. The etiology remains unclear, with trauma, infections, and hormonal influences considered possible triggers. Here, we report a rare case of ALHE in a 72-year-old male with multiple scalp nodules and a solitary lesion in the axilla, an unusual anatomical site. Histopathological examination confirmed ALHE. Surgical excision was performed, with no recurrence at six months. To our knowledge, this is the first documented case of axillary ALHE, expanding the spectrum of its clinical presentation.

Abstract Image

Abstract Image

腋窝血管淋巴样增生伴嗜酸性粒细胞增多:罕见的定位和文献复习。
血管淋巴样增生伴嗜酸性粒细胞增多症(ALHE)是一种罕见的良性血管增殖性疾病,通常影响头皮和耳周区域。它表现为单发或多发红斑丘疹或结节,多见于青壮年。病因尚不清楚,创伤、感染和激素影响被认为是可能的诱因。在这里,我们报告一个罕见的ALHE病例,72岁男性,多发头皮结节和腋窝的孤立病变,一个不寻常的解剖部位。组织病理学检查证实为ALHE。手术切除,6个月无复发。据我们所知,这是第一例记录在案的腋窝ALHE病例,扩大了其临床表现的范围。
本文章由计算机程序翻译,如有差异,请以英文原文为准。
求助全文
约1分钟内获得全文 求助全文
来源期刊
Oxford Medical Case Reports
Oxford Medical Case Reports MEDICINE, GENERAL & INTERNAL-
CiteScore
0.90
自引率
0.00%
发文量
125
审稿时长
19 weeks
期刊介绍: Oxford Medical Case Reports (OMCR) is an open access, peer-reviewed online journal publishing original and educationally valuable case reports that expand the field of medicine. The journal covers all medical specialities including cardiology, rheumatology, nephrology, oncology, neurology, and reproduction, comprising a comprehensive resource for physicians in all fields and at all stages of training. Oxford Medical Case Reports deposits all articles in PubMed Central (PMC). Physicians and researchers can find your work through PubMed , helping you reach the widest possible audience. The journal is also indexed in the Web of Science Core Collection . Oxford Medical Case Reports publishes case reports under the following categories: Allergy Audiovestibular medicine Cardiology and cardiovascular systems Critical care medicine Dermatology Emergency medicine Endocrinology and metabolism Gastroenterology and hepatology Geriatrics and gerontology Haematology Immunology Infectious diseases and tropical medicine Medical disorders in pregnancy Medical ophthalmology Nephrology Neurology Oncology Paediatrics Pain Palliative medicine Pharmacology and pharmacy Psychiatry Radiology, nuclear medicine, and medical imaging Respiratory disorders Rheumatology Sexual and reproductive health Sports Medicine Substance abuse.
×
引用
GB/T 7714-2015
复制
MLA
复制
APA
复制
导出至
BibTeX EndNote RefMan NoteFirst NoteExpress
×
提示
您的信息不完整,为了账户安全,请先补充。
现在去补充
×
提示
您因"违规操作"
具体请查看互助需知
我知道了
×
提示
确定
请完成安全验证×
copy
已复制链接
快去分享给好友吧!
我知道了
右上角分享
点击右上角分享
0
联系我们:info@booksci.cn Book学术提供免费学术资源搜索服务,方便国内外学者检索中英文文献。致力于提供最便捷和优质的服务体验。 Copyright © 2023 布克学术 All rights reserved.
京ICP备2023020795号-1
ghs 京公网安备 11010802042870号
Book学术文献互助
Book学术文献互助群
群 号:604180095
Book学术官方微信