Adenocarcinoma of Müllerian origin developed 22 years after Salpingo-oophorectomy in a woman with BRCA1 mutation: a thought about modification of chemotherapy dose and peritoneal resection.

IF 0.4 Q3 MEDICINE, GENERAL & INTERNAL
Oxford Medical Case Reports Pub Date : 2025-06-27 eCollection Date: 2025-06-01 DOI:10.1093/omcr/omaf075
Stanley Kim, John Schaerth, Kevin Chen, William Stull, Gian Yakoub
{"title":"Adenocarcinoma of Müllerian origin developed 22 years after Salpingo-oophorectomy in a woman with BRCA1 mutation: a thought about modification of chemotherapy dose and peritoneal resection.","authors":"Stanley Kim, John Schaerth, Kevin Chen, William Stull, Gian Yakoub","doi":"10.1093/omcr/omaf075","DOIUrl":null,"url":null,"abstract":"<p><p>Late recurrence of ovarian cancer is exceedingly rare. We report a case of adenocarcinoma of Müllerian origin that developed 22 years after hysterectomy and bilateral salpingo-oophorectomy (BSO) for ovarian cancer in an 81-year-old woman with a pathogenic BRCA1 mutation. The patient underwent six cycles of reduced-dose carboplatin and paclitaxel, achieving remission with a dramatic decline in CA-125 levels. Women with BRCA mutations have a significantly increased risk of ovarian/tube/peritoneal cancer. Although risk-reducing BSO effectively decreases the risk of ovarian and fallopian tube cancers, the risk of peritoneal cancer remains substantial. This case not only illustrates the persistent lifetime risk of ovarian/tube/peritoneal cancer despite BSO but also underscores the need for reevaluation of prophylactic surgical strategies, particularly regarding the extent of peritoneal resection, in BRCA mutation carriers. Additionally, this case report demonstrated the efficacy of dose-modified chemotherapy for BRCA-associated cancers. Further research is warranted to refine surgical and therapeutic strategies for patients with BRCA mutation.</p>","PeriodicalId":45318,"journal":{"name":"Oxford Medical Case Reports","volume":"2025 6","pages":"omaf075"},"PeriodicalIF":0.4000,"publicationDate":"2025-06-27","publicationTypes":"Journal Article","fieldsOfStudy":null,"isOpenAccess":false,"openAccessPdf":"https://www.ncbi.nlm.nih.gov/pmc/articles/PMC12202305/pdf/","citationCount":"0","resultStr":null,"platform":"Semanticscholar","paperid":null,"PeriodicalName":"Oxford Medical Case Reports","FirstCategoryId":"1085","ListUrlMain":"https://doi.org/10.1093/omcr/omaf075","RegionNum":0,"RegionCategory":null,"ArticlePicture":[],"TitleCN":null,"AbstractTextCN":null,"PMCID":null,"EPubDate":"2025/6/1 0:00:00","PubModel":"eCollection","JCR":"Q3","JCRName":"MEDICINE, GENERAL & INTERNAL","Score":null,"Total":0}
引用次数: 0

Abstract

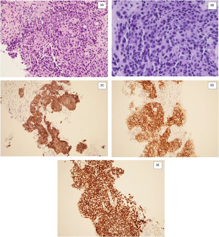
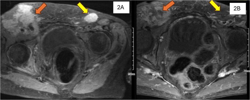
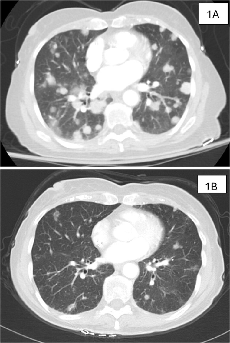
Late recurrence of ovarian cancer is exceedingly rare. We report a case of adenocarcinoma of Müllerian origin that developed 22 years after hysterectomy and bilateral salpingo-oophorectomy (BSO) for ovarian cancer in an 81-year-old woman with a pathogenic BRCA1 mutation. The patient underwent six cycles of reduced-dose carboplatin and paclitaxel, achieving remission with a dramatic decline in CA-125 levels. Women with BRCA mutations have a significantly increased risk of ovarian/tube/peritoneal cancer. Although risk-reducing BSO effectively decreases the risk of ovarian and fallopian tube cancers, the risk of peritoneal cancer remains substantial. This case not only illustrates the persistent lifetime risk of ovarian/tube/peritoneal cancer despite BSO but also underscores the need for reevaluation of prophylactic surgical strategies, particularly regarding the extent of peritoneal resection, in BRCA mutation carriers. Additionally, this case report demonstrated the efficacy of dose-modified chemotherapy for BRCA-associated cancers. Further research is warranted to refine surgical and therapeutic strategies for patients with BRCA mutation.

Abstract Image

Abstract Image

Abstract Image

一名BRCA1突变妇女在输卵管卵巢切除术22年后发生勒氏腺癌:对化疗剂量和腹膜切除的改变的思考
卵巢癌晚期复发极为罕见。我们报告一位81岁的女性,在子宫切除术和双侧输卵管卵巢切除术(BSO)后22年发生了勒氏腺癌起源,并伴有致病性BRCA1突变。患者接受了6个周期的低剂量卡铂和紫杉醇治疗,CA-125水平显著下降,病情得到缓解。携带BRCA突变的女性患卵巢癌/输卵管癌/腹膜癌的风险显著增加。虽然降低风险的BSO有效地降低了卵巢癌和输卵管癌的风险,但腹膜癌的风险仍然很大。该病例不仅说明了尽管行BSO,但卵巢癌/输卵管癌/腹膜癌的持续终生风险,而且强调了BRCA突变携带者需要重新评估预防性手术策略,特别是关于腹膜切除的范围。此外,本病例报告证明了剂量改良化疗对brca相关癌症的疗效。需要进一步的研究来完善BRCA突变患者的手术和治疗策略。
本文章由计算机程序翻译,如有差异,请以英文原文为准。
求助全文
约1分钟内获得全文 求助全文
来源期刊
Oxford Medical Case Reports
Oxford Medical Case Reports MEDICINE, GENERAL & INTERNAL-
CiteScore
0.90
自引率
0.00%
发文量
125
审稿时长
19 weeks
期刊介绍: Oxford Medical Case Reports (OMCR) is an open access, peer-reviewed online journal publishing original and educationally valuable case reports that expand the field of medicine. The journal covers all medical specialities including cardiology, rheumatology, nephrology, oncology, neurology, and reproduction, comprising a comprehensive resource for physicians in all fields and at all stages of training. Oxford Medical Case Reports deposits all articles in PubMed Central (PMC). Physicians and researchers can find your work through PubMed , helping you reach the widest possible audience. The journal is also indexed in the Web of Science Core Collection . Oxford Medical Case Reports publishes case reports under the following categories: Allergy Audiovestibular medicine Cardiology and cardiovascular systems Critical care medicine Dermatology Emergency medicine Endocrinology and metabolism Gastroenterology and hepatology Geriatrics and gerontology Haematology Immunology Infectious diseases and tropical medicine Medical disorders in pregnancy Medical ophthalmology Nephrology Neurology Oncology Paediatrics Pain Palliative medicine Pharmacology and pharmacy Psychiatry Radiology, nuclear medicine, and medical imaging Respiratory disorders Rheumatology Sexual and reproductive health Sports Medicine Substance abuse.
×
引用
GB/T 7714-2015
复制
MLA
复制
APA
复制
导出至
BibTeX EndNote RefMan NoteFirst NoteExpress
×
提示
您的信息不完整,为了账户安全,请先补充。
现在去补充
×
提示
您因"违规操作"
具体请查看互助需知
我知道了
×
提示
确定
请完成安全验证×
copy
已复制链接
快去分享给好友吧!
我知道了
右上角分享
点击右上角分享
0
联系我们:info@booksci.cn Book学术提供免费学术资源搜索服务,方便国内外学者检索中英文文献。致力于提供最便捷和优质的服务体验。 Copyright © 2023 布克学术 All rights reserved.
京ICP备2023020795号-1
ghs 京公网安备 11010802042870号
Book学术文献互助
Book学术文献互助群
群 号:604180095
Book学术官方微信