Surgical Case of Metachronous Occurrence of Intracholecystic Papillary Neoplasm in the Remnant Cystic Duct 19 Years after Cholecystectomy.

IF 0.7 Q4 SURGERY
Surgical Case Reports Pub Date : 2025-01-01 Epub Date: 2025-06-24 DOI:10.70352/scrj.cr.24-0175
Hiroki Kanno, Kenjiro Date, Yoshinao Kinjyo, Takeshi Aoyagi, Shota Yamashiro, Eishi Iwaoka, Ko Shigemura, Koichiro Shimonaga, Takao Tsukahara, Ryo Ichikawa, Hiroyuki Nakane, Kanako Kurata, Gentaro Hirokata, Yoshihiko Sadakari, Masahiko Taniguchi
{"title":"Surgical Case of Metachronous Occurrence of Intracholecystic Papillary Neoplasm in the Remnant Cystic Duct 19 Years after Cholecystectomy.","authors":"Hiroki Kanno, Kenjiro Date, Yoshinao Kinjyo, Takeshi Aoyagi, Shota Yamashiro, Eishi Iwaoka, Ko Shigemura, Koichiro Shimonaga, Takao Tsukahara, Ryo Ichikawa, Hiroyuki Nakane, Kanako Kurata, Gentaro Hirokata, Yoshihiko Sadakari, Masahiko Taniguchi","doi":"10.70352/scrj.cr.24-0175","DOIUrl":null,"url":null,"abstract":"<p><strong>Introduction: </strong>Intracholecystic papillary neoplasm (ICPN) is a recently identified disease characterized by papillary pre-invasive neoplasm of the gallbladder. Despite its characterization, the natural history of ICPN remains elusive. Furthermore, a few cases of metachronous ICPN in the remnant biliary system have been documented. Here, we report a surgical case involving metachronous ICPN in the remnant cystic duct 19 years post-cholecystectomy for primary ICPN.</p><p><strong>Case presentation: </strong>A 77-year-old man presented to our hospital with general fatigue and jaundice. He had previously undergone an open cholecystectomy and lithotomy for gallbladder cancer and common bile duct stones 19 years earlier. Blood tests revealed elevated levels of hepatobiliary enzymes and tumor markers. Both computed tomography and magnetic resonance imaging indicated dilatation of the intrahepatic and common bile ducts, and an enhanced nodule was observed in the common hepatic duct. Intraductal ultrasonography identified a papillary tumor infiltrating the distal bile duct from the common hepatic duct. Brush cytology subsequently helped confirm adenocarcinoma. Consequently, the patient was diagnosed with Bismuth type 1 perihilar cholangiocarcinoma and underwent subtotal stomach-preserving pancreaticoduodenectomy. Histological examination revealed the tumor as pancreatobiliary-type ICPN associated with invasive carcinoma, which had originated in the remnant cystic duct and invaded the common hepatic duct. A retrospective review of the resected gallbladder specimens from 19 years earlier confirmed ICPN according to the current classification, establishing this as a metachronous occurrence of ICPN.</p><p><strong>Conclusions: </strong>These findings suggest that ICPN can recur as metachronous lesions in the remnant biliary system after resection of primary lesion, highlighting the necessity of sustained, long-term biliary surveillance following primary lesion resection.</p>","PeriodicalId":22096,"journal":{"name":"Surgical Case Reports","volume":"11 1","pages":""},"PeriodicalIF":0.7000,"publicationDate":"2025-01-01","publicationTypes":"Journal Article","fieldsOfStudy":null,"isOpenAccess":false,"openAccessPdf":"https://www.ncbi.nlm.nih.gov/pmc/articles/PMC12207100/pdf/","citationCount":"0","resultStr":null,"platform":"Semanticscholar","paperid":null,"PeriodicalName":"Surgical Case Reports","FirstCategoryId":"1085","ListUrlMain":"https://doi.org/10.70352/scrj.cr.24-0175","RegionNum":0,"RegionCategory":null,"ArticlePicture":[],"TitleCN":null,"AbstractTextCN":null,"PMCID":null,"EPubDate":"2025/6/24 0:00:00","PubModel":"Epub","JCR":"Q4","JCRName":"SURGERY","Score":null,"Total":0}
引用次数: 0

Abstract

Introduction: Intracholecystic papillary neoplasm (ICPN) is a recently identified disease characterized by papillary pre-invasive neoplasm of the gallbladder. Despite its characterization, the natural history of ICPN remains elusive. Furthermore, a few cases of metachronous ICPN in the remnant biliary system have been documented. Here, we report a surgical case involving metachronous ICPN in the remnant cystic duct 19 years post-cholecystectomy for primary ICPN.

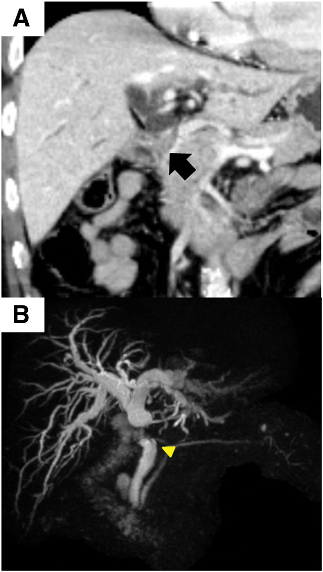
Case presentation: A 77-year-old man presented to our hospital with general fatigue and jaundice. He had previously undergone an open cholecystectomy and lithotomy for gallbladder cancer and common bile duct stones 19 years earlier. Blood tests revealed elevated levels of hepatobiliary enzymes and tumor markers. Both computed tomography and magnetic resonance imaging indicated dilatation of the intrahepatic and common bile ducts, and an enhanced nodule was observed in the common hepatic duct. Intraductal ultrasonography identified a papillary tumor infiltrating the distal bile duct from the common hepatic duct. Brush cytology subsequently helped confirm adenocarcinoma. Consequently, the patient was diagnosed with Bismuth type 1 perihilar cholangiocarcinoma and underwent subtotal stomach-preserving pancreaticoduodenectomy. Histological examination revealed the tumor as pancreatobiliary-type ICPN associated with invasive carcinoma, which had originated in the remnant cystic duct and invaded the common hepatic duct. A retrospective review of the resected gallbladder specimens from 19 years earlier confirmed ICPN according to the current classification, establishing this as a metachronous occurrence of ICPN.

Conclusions: These findings suggest that ICPN can recur as metachronous lesions in the remnant biliary system after resection of primary lesion, highlighting the necessity of sustained, long-term biliary surveillance following primary lesion resection.

Abstract Image

Abstract Image

Abstract Image

胆囊切除术后19年残余胆囊管内胆囊内乳头状肿瘤异时发生的手术一例。
简介:胆囊内乳头状肿瘤(ICPN)是最近发现的一种以胆囊乳头状浸润前肿瘤为特征的疾病。尽管其特征,ICPN的自然历史仍然难以捉摸。此外,少数病例的异时性ICPN在残余胆道系统已被记录。在此,我们报告一例在胆囊切除术后19年发生原发性ICPN的残余胆囊管异时性ICPN的手术病例。病例介绍:一名77岁男性以全身疲劳及黄疸就诊。19年前,他曾因胆囊癌和胆总管结石接受过开放性胆囊切除术和取石手术。血液检查显示肝胆酶和肿瘤标志物水平升高。计算机断层扫描和磁共振成像显示肝内和总胆管扩张,并在肝总管内观察到一个增强的结节。导管内超声检查发现一乳头状肿瘤从肝总管向远端胆管浸润。刷细胞学随后帮助确诊腺癌。因此,患者被诊断为Bismuth 1型肝门周围胆管癌,并接受了保胃胰十二指肠次全切除术。组织学检查显示肿瘤为胰胆型ICPN合并浸润性癌,起源于残余囊管,侵犯肝总管。回顾性回顾19年前切除的胆囊标本,根据目前的分类证实了ICPN,并将其确定为异时发生的ICPN。结论:这些发现提示ICPN在原发病变切除后可作为异时性病变在残余胆道系统复发,强调了原发病变切除后持续、长期胆道监测的必要性。
本文章由计算机程序翻译,如有差异,请以英文原文为准。
求助全文
约1分钟内获得全文 求助全文
来源期刊
自引率
0.00%
发文量
218
审稿时长
13 weeks
×
引用
GB/T 7714-2015
复制
MLA
复制
APA
复制
导出至
BibTeX EndNote RefMan NoteFirst NoteExpress
×
提示
您的信息不完整,为了账户安全,请先补充。
现在去补充
×
提示
您因"违规操作"
具体请查看互助需知
我知道了
×
提示
确定
请完成安全验证×
copy
已复制链接
快去分享给好友吧!
我知道了
右上角分享
点击右上角分享
0
联系我们:info@booksci.cn Book学术提供免费学术资源搜索服务,方便国内外学者检索中英文文献。致力于提供最便捷和优质的服务体验。 Copyright © 2023 布克学术 All rights reserved.
京ICP备2023020795号-1
ghs 京公网安备 11010802042870号
Book学术文献互助
Book学术文献互助群
群 号:604180095
Book学术官方微信