Multimodal Magnetic Resonance Imaging with Mild Repetitive Head Injury in Awake Rats: Modeling the Human Experience and Clinical Condition.

IF 5.8 2区 医学 Q1 NEUROSCIENCES
Neuroscience bulletin Pub Date : 2025-09-01 Epub Date: 2025-06-29 DOI:10.1007/s12264-025-01438-9
Nicole Bens, Arnold Chang, Richard Ortiz, Joshua Leaston, Praveen Kulkarni, Rosemarie Hightower, Sophia Prom, Nicholas O'Hare, Eno Ebong, Craig F Ferris
{"title":"Multimodal Magnetic Resonance Imaging with Mild Repetitive Head Injury in Awake Rats: Modeling the Human Experience and Clinical Condition.","authors":"Nicole Bens, Arnold Chang, Richard Ortiz, Joshua Leaston, Praveen Kulkarni, Rosemarie Hightower, Sophia Prom, Nicholas O'Hare, Eno Ebong, Craig F Ferris","doi":"10.1007/s12264-025-01438-9","DOIUrl":null,"url":null,"abstract":"<p><p>Mild repetitive head injury is a serious health problem with long-term negative consequences. Changes in brain neurobiology were assessed with MRI in a model of head injury designed to reflect the human experience. Rats were maintained on a reverse light-dark cycle and head impacted daily at 24 h intervals over three days while fully awake under red light illumination. There was no neuroradiological evidence of brain damage. Rats were imaged for changes in blood brain barrier permeability, edema and gray matter microarchitecture, and resting state functional connectivity. Data were registered to a 3D MRI rat atlas with 173 segmented brain areas providing site-specific information on each imaging modality. Changes in BBB permeability were minimal and localized to the hippocampus and cerebellum. There was evidence of cytotoxic edema in the basal ganglia, thalamus, and cerebellum. There was a global decrease in connectivity and an increase in gliosis in the thalamus, cerebellum, and hippocampus. This study shows a sequelae of neuropathology caused by mild repetitive head injury that is commonly observed in clinical practice using MRI in patients. As such, it may serve as a model for testing the efficacy of new therapeutics using any or all of the measures as biomarkers to assess drug efficacy.</p>","PeriodicalId":19314,"journal":{"name":"Neuroscience bulletin","volume":" ","pages":"1603-1616"},"PeriodicalIF":5.8000,"publicationDate":"2025-09-01","publicationTypes":"Journal Article","fieldsOfStudy":null,"isOpenAccess":false,"openAccessPdf":"https://www.ncbi.nlm.nih.gov/pmc/articles/PMC12433400/pdf/","citationCount":"0","resultStr":null,"platform":"Semanticscholar","paperid":null,"PeriodicalName":"Neuroscience bulletin","FirstCategoryId":"3","ListUrlMain":"https://doi.org/10.1007/s12264-025-01438-9","RegionNum":2,"RegionCategory":"医学","ArticlePicture":[],"TitleCN":null,"AbstractTextCN":null,"PMCID":null,"EPubDate":"2025/6/29 0:00:00","PubModel":"Epub","JCR":"Q1","JCRName":"NEUROSCIENCES","Score":null,"Total":0}
引用次数: 0

Abstract

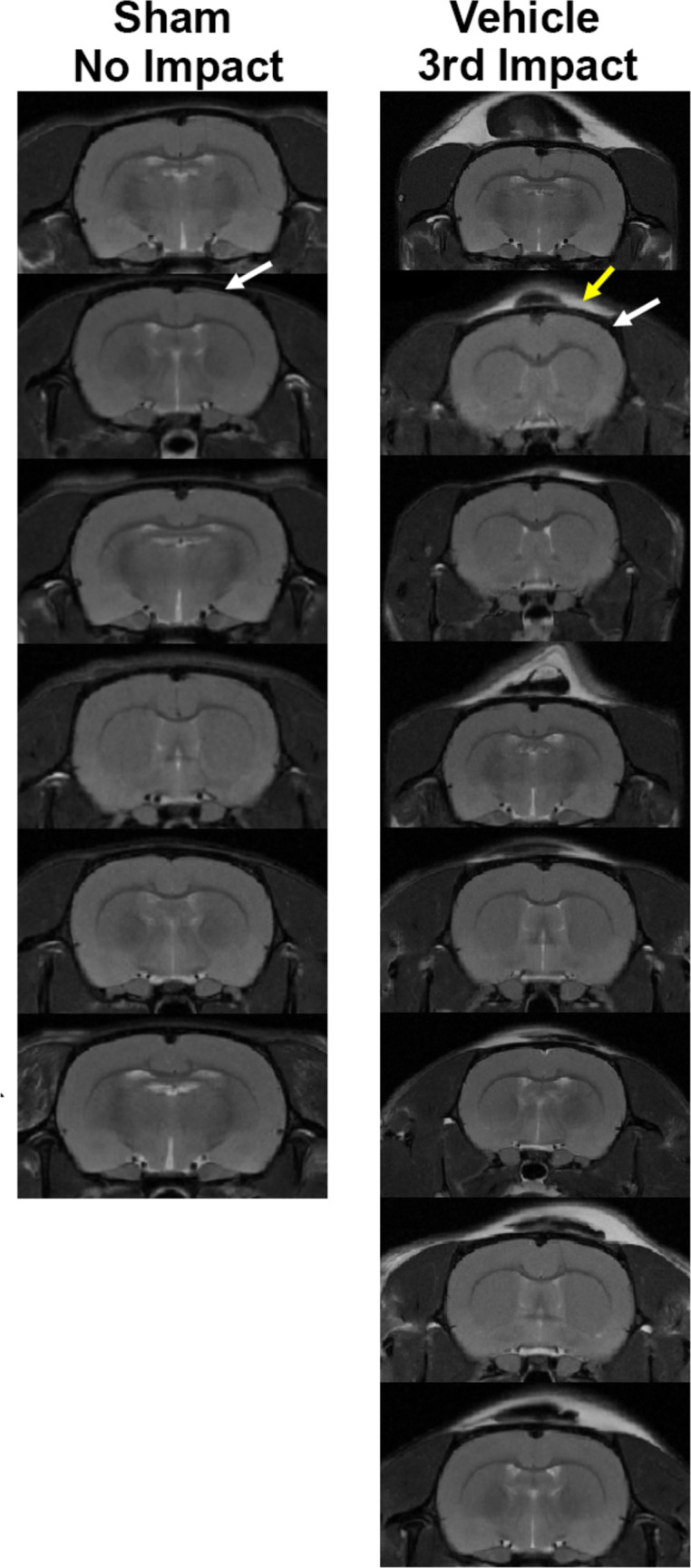
Mild repetitive head injury is a serious health problem with long-term negative consequences. Changes in brain neurobiology were assessed with MRI in a model of head injury designed to reflect the human experience. Rats were maintained on a reverse light-dark cycle and head impacted daily at 24 h intervals over three days while fully awake under red light illumination. There was no neuroradiological evidence of brain damage. Rats were imaged for changes in blood brain barrier permeability, edema and gray matter microarchitecture, and resting state functional connectivity. Data were registered to a 3D MRI rat atlas with 173 segmented brain areas providing site-specific information on each imaging modality. Changes in BBB permeability were minimal and localized to the hippocampus and cerebellum. There was evidence of cytotoxic edema in the basal ganglia, thalamus, and cerebellum. There was a global decrease in connectivity and an increase in gliosis in the thalamus, cerebellum, and hippocampus. This study shows a sequelae of neuropathology caused by mild repetitive head injury that is commonly observed in clinical practice using MRI in patients. As such, it may serve as a model for testing the efficacy of new therapeutics using any or all of the measures as biomarkers to assess drug efficacy.

Abstract Image

Abstract Image

Abstract Image

清醒大鼠轻度重复性头部损伤的多模态磁共振成像:模拟人的经验和临床状况。
轻度重复性头部损伤是一种严重的健康问题,具有长期的负面影响。脑神经生物学的变化是用MRI评估的头部损伤模型设计,以反映人类的经验。在3天的时间里,大鼠在红光照射下完全清醒,每天24小时进行反向光-暗循环和头部撞击。没有脑损伤的神经放射学证据。对大鼠进行血脑屏障通透性、水肿和灰质微结构以及静息状态功能连通性的变化成像。数据记录在三维MRI大鼠图谱上,其中包含173个脑区,提供每种成像方式的特定位置信息。血脑屏障通透性的改变很小,且局限于海马和小脑。基底神经节、丘脑和小脑有细胞毒性水肿的证据。在丘脑、小脑和海马体中,连通性整体下降,胶质细胞增多。本研究显示了在临床实践中使用MRI在患者中通常观察到的轻度重复性头部损伤引起的神经病理学后遗症。因此,它可以作为测试新疗法有效性的模型,使用任何或所有措施作为生物标志物来评估药物有效性。
本文章由计算机程序翻译,如有差异,请以英文原文为准。
求助全文
约1分钟内获得全文 求助全文
来源期刊
Neuroscience bulletin
Neuroscience bulletin NEUROSCIENCES-
CiteScore
7.20
自引率
16.10%
发文量
163
审稿时长
6-12 weeks
期刊介绍: Neuroscience Bulletin (NB), the official journal of the Chinese Neuroscience Society, is published monthly by Shanghai Institutes for Biological Sciences (SIBS), Chinese Academy of Sciences (CAS) and Springer. NB aims to publish research advances in the field of neuroscience and promote exchange of scientific ideas within the community. The journal publishes original papers on various topics in neuroscience and focuses on potential disease implications on the nervous system. NB welcomes research contributions on molecular, cellular, or developmental neuroscience using multidisciplinary approaches and functional strategies. We feature full-length original articles, reviews, methods, letters to the editor, insights, and research highlights. As the official journal of the Chinese Neuroscience Society, which currently has more than 12,000 members in China, NB is devoted to facilitating communications between Chinese neuroscientists and their international colleagues. The journal is recognized as the most influential publication in neuroscience research in China.
×
引用
GB/T 7714-2015
复制
MLA
复制
APA
复制
导出至
BibTeX EndNote RefMan NoteFirst NoteExpress
×
提示
您的信息不完整,为了账户安全,请先补充。
现在去补充
×
提示
您因"违规操作"
具体请查看互助需知
我知道了
×
提示
确定
请完成安全验证×
copy
已复制链接
快去分享给好友吧!
我知道了
右上角分享
点击右上角分享
0
联系我们:info@booksci.cn Book学术提供免费学术资源搜索服务,方便国内外学者检索中英文文献。致力于提供最便捷和优质的服务体验。 Copyright © 2023 布克学术 All rights reserved.
京ICP备2023020795号-1
ghs 京公网安备 11010802042870号
Book学术文献互助
Book学术文献互助群
群 号:604180095
Book学术官方微信