Engineering of the Caspase-3 Gene in Recombinant CHO Cells Caused More Apoptosis Resistance and enhanced Recombinant Protein Production Than the BAX Gene.

Q2 Biochemistry, Genetics and Molecular Biology
Amirabbas Rahimi, Morteza Karimipoor, Reza Mahdian, Atefeh Alipour, Saadi Hosseini, Marzieh Mohammadi, Hooman Kaghazian, Hosein Shahsavarani, Mohammad Ali Shokrgozar
{"title":"Engineering of the Caspase-3 Gene in Recombinant CHO Cells Caused More Apoptosis Resistance and enhanced Recombinant Protein Production Than the BAX Gene.","authors":"Amirabbas Rahimi, Morteza Karimipoor, Reza Mahdian, Atefeh Alipour, Saadi Hosseini, Marzieh Mohammadi, Hooman Kaghazian, Hosein Shahsavarani, Mohammad Ali Shokrgozar","doi":"10.61186/ibj.4934","DOIUrl":null,"url":null,"abstract":"<p><strong>Background: </strong>BAX and caspase-3 are essential genes in the apoptotic pathway of cells, promoting the apoptotic cascade through different mechanisms. Inhibition of these genes can increase the longevity of cells in cell culture. This study aimed to compare the effects of clustered regularly interspaced short palindromic repeats-CRISPR-associated protein 9 (CRISPR-Cas9)-mediated knockdown of BAX and caspase-3 genes on apoptosis inhibition, cell lifespan, and erythropoietin (EPO) production in CHO cell lines.</p><p><strong>Methods: </strong>The BAX and caspase-3 gene expression was evaluated in the recombinant Chinese hamster ovary (rCHO) cell lines producing EPO using the CRISPR-Cas9 method. Their anti-apoptotic effects and the level of EPO expression were also compared. In addition, oleuropein (OP) as an apoptosis inducer, was introduced to the manipulated cell line to assess the stability and viability of the manipulated cell lines.</p><p><strong>Results: </strong>The rCHO cells with the manipulated BAX gene exhibited a higher cell density than those with the manipulated caspase-3 gene (152% vs. 142%). Despite the increased cell density in the cells with the BAX gene manipulation, EPO production was higher in the cells with the manipulated caspase-3 gene (1.58-fold increase in the BAX-manipulated cells compared to a 1.70-fold increase in the caspase-3-manipulated cells).</p><p><strong>Conclusion: </strong>Our observations suggest that the downregulation of the BAX and caspase-3 genes using the CRISPR method, inhibits apoptosis and enhances the yield of recombinant EPO, even in the presence of an apoptosis inducer. Additionally, reduction of caspase-3 expression was proved to be more effective than BAX in extending the lifespan of cells and producing heterologous recombinant proteins.</p>","PeriodicalId":14500,"journal":{"name":"Iranian Biomedical Journal","volume":"29 3","pages":"149-158"},"PeriodicalIF":0.0000,"publicationDate":"2025-05-01","publicationTypes":"Journal Article","fieldsOfStudy":null,"isOpenAccess":false,"openAccessPdf":"https://www.ncbi.nlm.nih.gov/pmc/articles/PMC12396116/pdf/","citationCount":"0","resultStr":null,"platform":"Semanticscholar","paperid":null,"PeriodicalName":"Iranian Biomedical Journal","FirstCategoryId":"1085","ListUrlMain":"https://doi.org/10.61186/ibj.4934","RegionNum":0,"RegionCategory":null,"ArticlePicture":[],"TitleCN":null,"AbstractTextCN":null,"PMCID":null,"EPubDate":"","PubModel":"","JCR":"Q2","JCRName":"Biochemistry, Genetics and Molecular Biology","Score":null,"Total":0}
引用次数: 0

Abstract

Background: BAX and caspase-3 are essential genes in the apoptotic pathway of cells, promoting the apoptotic cascade through different mechanisms. Inhibition of these genes can increase the longevity of cells in cell culture. This study aimed to compare the effects of clustered regularly interspaced short palindromic repeats-CRISPR-associated protein 9 (CRISPR-Cas9)-mediated knockdown of BAX and caspase-3 genes on apoptosis inhibition, cell lifespan, and erythropoietin (EPO) production in CHO cell lines.

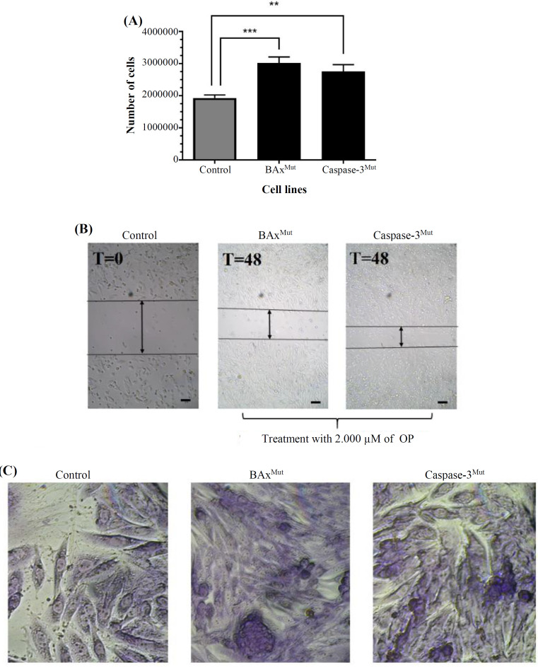
Methods: The BAX and caspase-3 gene expression was evaluated in the recombinant Chinese hamster ovary (rCHO) cell lines producing EPO using the CRISPR-Cas9 method. Their anti-apoptotic effects and the level of EPO expression were also compared. In addition, oleuropein (OP) as an apoptosis inducer, was introduced to the manipulated cell line to assess the stability and viability of the manipulated cell lines.

Results: The rCHO cells with the manipulated BAX gene exhibited a higher cell density than those with the manipulated caspase-3 gene (152% vs. 142%). Despite the increased cell density in the cells with the BAX gene manipulation, EPO production was higher in the cells with the manipulated caspase-3 gene (1.58-fold increase in the BAX-manipulated cells compared to a 1.70-fold increase in the caspase-3-manipulated cells).

Conclusion: Our observations suggest that the downregulation of the BAX and caspase-3 genes using the CRISPR method, inhibits apoptosis and enhances the yield of recombinant EPO, even in the presence of an apoptosis inducer. Additionally, reduction of caspase-3 expression was proved to be more effective than BAX in extending the lifespan of cells and producing heterologous recombinant proteins.

Abstract Image

Abstract Image

Abstract Image

Caspase-3基因在重组CHO细胞中的工程化比BAX基因更能抵抗细胞凋亡并促进重组蛋白的产生。
背景:BAX和caspase-3是细胞凋亡通路中必不可少的基因,通过不同的机制促进细胞凋亡级联。抑制这些基因可以增加细胞培养中细胞的寿命。本研究旨在比较crispr - cas9介导的BAX和caspase-3基因敲低对CHO细胞系凋亡抑制、细胞寿命和EPO生成的影响。方法:采用CRISPR-Cas9方法,检测产生EPO的rCHO细胞系中BAX和caspase-3基因的表达。比较其抗凋亡作用及EPO表达水平。此外,将OP作为一种凋亡诱导剂引入到操纵细胞系中,以评估操纵细胞系的稳定性和活力。结果:转染BAX基因的rCHO细胞密度高于转染caspase-3基因的rCHO细胞密度(152%比142%)。尽管在BAX基因操作的细胞中细胞密度增加,但在caspase-3基因操作的细胞中EPO的产量更高(BAX操作的细胞增加了1.58倍,而caspase-3操作的细胞增加了1.70倍)。结论:我们的观察结果表明,使用CRISPR方法下调BAX和caspase-3基因,即使在存在凋亡诱导剂的情况下,也能抑制细胞凋亡并提高重组EPO的产量。此外,减少caspase-3的表达被证明比BAX更有效地延长细胞寿命和产生异源重组蛋白。
本文章由计算机程序翻译,如有差异,请以英文原文为准。
求助全文
约1分钟内获得全文 求助全文
来源期刊
Iranian Biomedical Journal
Iranian Biomedical Journal Biochemistry, Genetics and Molecular Biology-Biochemistry, Genetics and Molecular Biology (all)
CiteScore
3.20
自引率
0.00%
发文量
42
审稿时长
8 weeks
×
引用
GB/T 7714-2015
复制
MLA
复制
APA
复制
导出至
BibTeX EndNote RefMan NoteFirst NoteExpress
×
提示
您的信息不完整,为了账户安全,请先补充。
现在去补充
×
提示
您因"违规操作"
具体请查看互助需知
我知道了
×
提示
确定
请完成安全验证×
copy
已复制链接
快去分享给好友吧!
我知道了
右上角分享
点击右上角分享
0
联系我们:info@booksci.cn Book学术提供免费学术资源搜索服务,方便国内外学者检索中英文文献。致力于提供最便捷和优质的服务体验。 Copyright © 2023 布克学术 All rights reserved.
京ICP备2023020795号-1
ghs 京公网安备 11010802042870号
Book学术文献互助
Book学术文献互助群
群 号:604180095
Book学术官方微信