Full-Thickness Macular Hole Formation After Intravitreal Faricimab Injection for Polypoidal Choroidal Vasculopathy.

IF 0.7 Q3 MEDICINE, GENERAL & INTERNAL
International Medical Case Reports Journal Pub Date : 2025-06-23 eCollection Date: 2025-01-01 DOI:10.2147/IMCRJ.S527975
Fahsiri Tavonvunchai, Karntida Chanwimol
{"title":"Full-Thickness Macular Hole Formation After Intravitreal Faricimab Injection for Polypoidal Choroidal Vasculopathy.","authors":"Fahsiri Tavonvunchai, Karntida Chanwimol","doi":"10.2147/IMCRJ.S527975","DOIUrl":null,"url":null,"abstract":"<p><strong>Purpose: </strong>To report a case of an Asian man with idiopathic polypoidal choroidal vasculopathy (PCV) who developed a full-thickness macular hole (FTMH) following treatment with intravitreal faricimab, which resolved after vitreoretinal surgery.</p><p><strong>Patients and methods: </strong>A 63-year-old man with idiopathic PCV was treated with intravitreal faricimab. Although pigment epithelial detachment (PED) decreased, he developed cystoid macular edema with vitreomacular traction (VMT), which progressed to a FTMH.</p><p><strong>Results: </strong>Pars plana vitrectomy and internal limiting membrane peeling successfully treated the FTMH. One year after the procedure, the macular hole remains closed, and the PCV was inactive.</p><p><strong>Conclusion: </strong>Various mechanisms may have contributed to the exacerbation of the preexisting VMT and PED, which finally resulted in the development of a FTMH. Careful attention should be paid to changes in the vitreomacular interface and posterior vitreous detachment before performing intravitreal anti-vascular endothelial growth factor treatment. Nevertheless, FTMHs can be successfully treated with prompt vitreoretinal surgery.</p>","PeriodicalId":14337,"journal":{"name":"International Medical Case Reports Journal","volume":"18 ","pages":"741-746"},"PeriodicalIF":0.7000,"publicationDate":"2025-06-23","publicationTypes":"Journal Article","fieldsOfStudy":null,"isOpenAccess":false,"openAccessPdf":"https://www.ncbi.nlm.nih.gov/pmc/articles/PMC12205330/pdf/","citationCount":"0","resultStr":null,"platform":"Semanticscholar","paperid":null,"PeriodicalName":"International Medical Case Reports Journal","FirstCategoryId":"1085","ListUrlMain":"https://doi.org/10.2147/IMCRJ.S527975","RegionNum":0,"RegionCategory":null,"ArticlePicture":[],"TitleCN":null,"AbstractTextCN":null,"PMCID":null,"EPubDate":"2025/1/1 0:00:00","PubModel":"eCollection","JCR":"Q3","JCRName":"MEDICINE, GENERAL & INTERNAL","Score":null,"Total":0}
引用次数: 0

Abstract

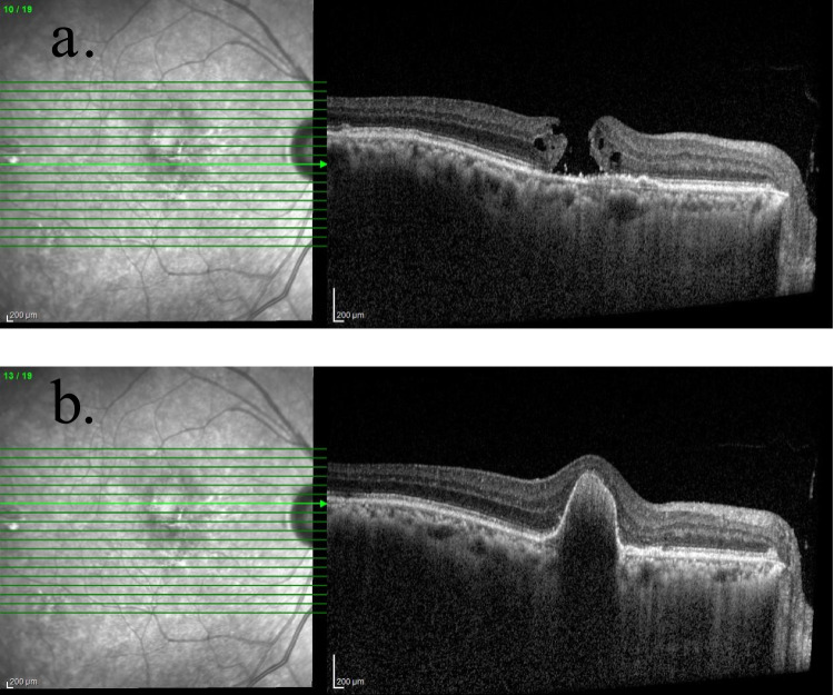
Purpose: To report a case of an Asian man with idiopathic polypoidal choroidal vasculopathy (PCV) who developed a full-thickness macular hole (FTMH) following treatment with intravitreal faricimab, which resolved after vitreoretinal surgery.

Patients and methods: A 63-year-old man with idiopathic PCV was treated with intravitreal faricimab. Although pigment epithelial detachment (PED) decreased, he developed cystoid macular edema with vitreomacular traction (VMT), which progressed to a FTMH.

Results: Pars plana vitrectomy and internal limiting membrane peeling successfully treated the FTMH. One year after the procedure, the macular hole remains closed, and the PCV was inactive.

Conclusion: Various mechanisms may have contributed to the exacerbation of the preexisting VMT and PED, which finally resulted in the development of a FTMH. Careful attention should be paid to changes in the vitreomacular interface and posterior vitreous detachment before performing intravitreal anti-vascular endothelial growth factor treatment. Nevertheless, FTMHs can be successfully treated with prompt vitreoretinal surgery.

Abstract Image

Abstract Image

Abstract Image

玻璃体注射法利西单抗治疗息肉样脉络膜血管病变后全层黄斑裂孔的形成。
目的:报告一例亚洲男性特发性息肉样脉络膜血管病变(PCV)患者在玻璃体内法利西单抗治疗后出现全层黄斑孔(FTMH),并在玻璃体视网膜手术后消失。患者和方法:63岁男性特发性PCV患者采用玻璃体内法利昔单抗治疗。虽然色素上皮脱离(PED)减少,但他出现囊样黄斑水肿伴玻璃体黄斑牵引(VMT),并发展为FTMH。结果:玻璃体切除联合内限制膜剥离治疗FTMH成功。手术一年后,黄斑孔仍然闭合,PCV不活动。结论:多种机制可能导致先前存在的VMT和PED的恶化,最终导致FTMH的发展。在进行玻璃体内抗血管内皮生长因子治疗前,应注意玻璃体黄斑界面的变化和玻璃体后脱离。然而,通过及时的玻璃体视网膜手术可以成功地治疗FTMHs。
本文章由计算机程序翻译,如有差异,请以英文原文为准。
求助全文
约1分钟内获得全文 求助全文
来源期刊
International Medical Case Reports Journal
International Medical Case Reports Journal MEDICINE, GENERAL & INTERNAL-
CiteScore
1.40
自引率
0.00%
发文量
135
审稿时长
16 weeks
期刊介绍: International Medical Case Reports Journal is an international, peer-reviewed, open access, online journal publishing original case reports from all medical specialties. Submissions should not normally exceed 3,000 words or 4 published pages including figures, diagrams and references. As of 1st April 2019, the International Medical Case Reports Journal will no longer consider meta-analyses for publication.
×
引用
GB/T 7714-2015
复制
MLA
复制
APA
复制
导出至
BibTeX EndNote RefMan NoteFirst NoteExpress
×
提示
您的信息不完整,为了账户安全,请先补充。
现在去补充
×
提示
您因"违规操作"
具体请查看互助需知
我知道了
×
提示
确定
请完成安全验证×
copy
已复制链接
快去分享给好友吧!
我知道了
右上角分享
点击右上角分享
0
联系我们:info@booksci.cn Book学术提供免费学术资源搜索服务,方便国内外学者检索中英文文献。致力于提供最便捷和优质的服务体验。 Copyright © 2023 布克学术 All rights reserved.
京ICP备2023020795号-1
ghs 京公网安备 11010802042870号
Book学术文献互助
Book学术文献互助群
群 号:604180095
Book学术官方微信