Diagnostic Challenges and Treatment of Concurrent Toxoplasmosis and Disseminated Cryptococcus in an Immunocompromised Patient.

IF 0.8 Q4 INFECTIOUS DISEASES
Case Reports in Infectious Diseases Pub Date : 2025-06-21 eCollection Date: 2025-01-01 DOI:10.1155/crdi/9917703
Jeffrey Valencia Uribe, Ann-Katrin Valencia, Brian Nudelman, Nicole Nudelman, Dante P Melendez Lecca
{"title":"Diagnostic Challenges and Treatment of Concurrent Toxoplasmosis and Disseminated Cryptococcus in an Immunocompromised Patient.","authors":"Jeffrey Valencia Uribe, Ann-Katrin Valencia, Brian Nudelman, Nicole Nudelman, Dante P Melendez Lecca","doi":"10.1155/crdi/9917703","DOIUrl":null,"url":null,"abstract":"<p><p><b>Background:</b> Co-infection with disseminated cryptococcosis and toxoplasma encephalitis is rare but presents significant diagnostic and therapeutic challenges, particularly in severely immunocompromised patients. This case study highlights the complexities involved in managing such dual infections. <b>Case Presentation:</b> We describe a 43-year-old Hispanic male with Stage IV EBV-positive diffuse large B-cell lymphoma and hemophagocytic lymphohistiocytosis who presented with progressive weakness and altered mental status. Initial brain MRI revealed multiple enhancing lesions. Diagnostic tests for cryptococcosis and toxoplasma were inconclusive; however, a positive cryptococcal antigen test, new lung nodules, and potential central nervous system involvement suggested possible disseminated cryptococcosis. Diagnosis of cryptococcal meningoencephalitis could not be confirmed due to negative CSF cultures. <b>Management and Outcome:</b> Despite initiating treatment with amphotericin B and flucytosine for suspected cryptococcosis, the patient's condition did not improve. Initial Karius and CSF PCR tests for Toxoplasma were negative. A subsequent brain biopsy, however, confirmed toxoplasmic encephalitis. Treatment was adjusted to intravenous Trimethoprim/Sulfamethoxazole for toxoplasmosis, with continued fluconazole for cryptococcosis. The patient exhibited significant clinical improvement with this revised therapy. <b>Conclusion:</b> Diagnosing concurrent cryptococcal and toxoplasma infections is challenging due to overlapping clinical symptoms and variability in test sensitivities. This case underscores the need for a comprehensive diagnostic approach and the critical role of brain biopsy when other diagnostic methods, such as Karius testing and CSF PCR, are inconclusive. Prompt empirical treatment based on clinical suspicion, with subsequent treatment adjustments guided by clinical response and follow-up assessments, is essential for effective management.</p>","PeriodicalId":9608,"journal":{"name":"Case Reports in Infectious Diseases","volume":"2025 ","pages":"9917703"},"PeriodicalIF":0.8000,"publicationDate":"2025-06-21","publicationTypes":"Journal Article","fieldsOfStudy":null,"isOpenAccess":false,"openAccessPdf":"https://www.ncbi.nlm.nih.gov/pmc/articles/PMC12206000/pdf/","citationCount":"0","resultStr":null,"platform":"Semanticscholar","paperid":null,"PeriodicalName":"Case Reports in Infectious Diseases","FirstCategoryId":"1085","ListUrlMain":"https://doi.org/10.1155/crdi/9917703","RegionNum":0,"RegionCategory":null,"ArticlePicture":[],"TitleCN":null,"AbstractTextCN":null,"PMCID":null,"EPubDate":"2025/1/1 0:00:00","PubModel":"eCollection","JCR":"Q4","JCRName":"INFECTIOUS DISEASES","Score":null,"Total":0}
引用次数: 0

Abstract

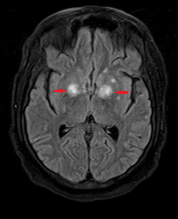
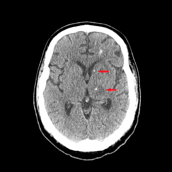
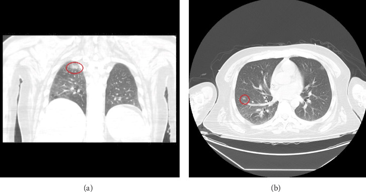
Background: Co-infection with disseminated cryptococcosis and toxoplasma encephalitis is rare but presents significant diagnostic and therapeutic challenges, particularly in severely immunocompromised patients. This case study highlights the complexities involved in managing such dual infections. Case Presentation: We describe a 43-year-old Hispanic male with Stage IV EBV-positive diffuse large B-cell lymphoma and hemophagocytic lymphohistiocytosis who presented with progressive weakness and altered mental status. Initial brain MRI revealed multiple enhancing lesions. Diagnostic tests for cryptococcosis and toxoplasma were inconclusive; however, a positive cryptococcal antigen test, new lung nodules, and potential central nervous system involvement suggested possible disseminated cryptococcosis. Diagnosis of cryptococcal meningoencephalitis could not be confirmed due to negative CSF cultures. Management and Outcome: Despite initiating treatment with amphotericin B and flucytosine for suspected cryptococcosis, the patient's condition did not improve. Initial Karius and CSF PCR tests for Toxoplasma were negative. A subsequent brain biopsy, however, confirmed toxoplasmic encephalitis. Treatment was adjusted to intravenous Trimethoprim/Sulfamethoxazole for toxoplasmosis, with continued fluconazole for cryptococcosis. The patient exhibited significant clinical improvement with this revised therapy. Conclusion: Diagnosing concurrent cryptococcal and toxoplasma infections is challenging due to overlapping clinical symptoms and variability in test sensitivities. This case underscores the need for a comprehensive diagnostic approach and the critical role of brain biopsy when other diagnostic methods, such as Karius testing and CSF PCR, are inconclusive. Prompt empirical treatment based on clinical suspicion, with subsequent treatment adjustments guided by clinical response and follow-up assessments, is essential for effective management.

Abstract Image

Abstract Image

Abstract Image

免疫功能低下患者并发弓形虫病和播散性隐球菌的诊断挑战和治疗。
背景:播散性隐球菌病和弓形虫脑炎合并感染是罕见的,但对诊断和治疗提出了重大挑战,特别是在严重免疫功能低下的患者中。本案例研究强调了管理这类双重感染的复杂性。病例介绍:我们描述了一位43岁的西班牙裔男性,患有IV期ebv阳性弥漫性大b细胞淋巴瘤和噬血细胞淋巴组织细胞增多症,表现为进行性虚弱和精神状态改变。最初的脑部MRI显示多发强化病灶。隐球菌病和弓形虫病的诊断试验尚无定论;然而,阳性的隐球菌抗原测试,新的肺结节和潜在的中枢神经系统受累提示可能是播散性隐球菌病。由于脑脊液培养阴性,不能确诊隐球菌性脑膜脑炎。处理和结果:尽管开始用两性霉素B和氟胞嘧啶治疗疑似隐球菌病,但患者的病情没有改善。弓形虫的初始卡里乌斯和脑脊液PCR检测呈阴性。然而,随后的脑部活检证实为弓形虫性脑炎。治疗调整为静脉注射甲氧苄啶/磺胺甲恶唑治疗弓形虫病,继续使用氟康唑治疗隐球菌病。患者表现出显著的临床改善与修订后的治疗。结论:诊断隐球菌和弓形虫并发感染是具有挑战性的,由于重叠的临床症状和试验敏感性的变化。该病例强调了综合诊断方法的必要性,以及当其他诊断方法(如Karius检测和CSF PCR)无法确定时,脑活检的关键作用。根据临床怀疑及时进行经验性治疗,并在临床反应和随访评估的指导下进行后续治疗调整,是有效管理的必要条件。
本文章由计算机程序翻译,如有差异,请以英文原文为准。
求助全文
约1分钟内获得全文 求助全文
来源期刊
自引率
0.00%
发文量
64
审稿时长
13 weeks
×
引用
GB/T 7714-2015
复制
MLA
复制
APA
复制
导出至
BibTeX EndNote RefMan NoteFirst NoteExpress
×
提示
您的信息不完整,为了账户安全,请先补充。
现在去补充
×
提示
您因"违规操作"
具体请查看互助需知
我知道了
×
提示
确定
请完成安全验证×
copy
已复制链接
快去分享给好友吧!
我知道了
右上角分享
点击右上角分享
0
联系我们:info@booksci.cn Book学术提供免费学术资源搜索服务,方便国内外学者检索中英文文献。致力于提供最便捷和优质的服务体验。 Copyright © 2023 布克学术 All rights reserved.
京ICP备2023020795号-1
ghs 京公网安备 11010802042870号
Book学术文献互助
Book学术文献互助群
群 号:604180095
Book学术官方微信