Follow up assessment on the first local theranostic intra-cavitary Yttrium-90 citrate colloid irradiation for refractory cystic craniopharyngioma: Is it still a valuable treatment option?

Q3 Medicine
Nadiah Abd Razak, Pung Choon Ping, Kamalia Kamarulzaman, Siti Zarina Amir Hassan
{"title":"Follow up assessment on the first local theranostic intra-cavitary Yttrium-90 citrate colloid irradiation for refractory cystic craniopharyngioma: Is it still a valuable treatment option?","authors":"Nadiah Abd Razak, Pung Choon Ping, Kamalia Kamarulzaman, Siti Zarina Amir Hassan","doi":"10.22038/aojnmb.2025.83694.1594","DOIUrl":null,"url":null,"abstract":"<p><p>Craniopharyngioma is a rare, benign intracranial tumour that can present with solid, cystic, or mixed solid-cystic characteristics. This case report aims to discuss the follow up assessment of our patient after one year of the irradiation therapy for craniopharyngioma. A 43-year-old male who has underlying refractory cystic craniopharyngioma requiring two-weekly aspirations, complicated with visual impairment and panhypopituitarism, was referred to our department for intra-cavitary irradiation therapy. Initial diagnostic assessment with Tc-99m MAA followed by dose calculation using the Backlund formula were conducted prior to the therapy. The patient received 6.22 mCi (230.14 MBq) of Ytrrium-90 citrate colloid via the Ommaya reservoir to deliver a radiation dose of 300 Gy to the tumour. Positive outcomes were observed as signified by the reduction on the aspirated cystic frequency and volume, tumour volume, improvement on the visual function and stable hormonal level. Despite the complications, the intra-cavitary irradiation therapy has demonstrated a significant and valuable therapeutic option for our patient in the management of refractory cystic craniopharyngioma.</p>","PeriodicalId":8503,"journal":{"name":"Asia Oceania Journal of Nuclear Medicine and Biology","volume":"13 2","pages":"179-184"},"PeriodicalIF":0.0000,"publicationDate":"2025-01-01","publicationTypes":"Journal Article","fieldsOfStudy":null,"isOpenAccess":false,"openAccessPdf":"https://www.ncbi.nlm.nih.gov/pmc/articles/PMC12205123/pdf/","citationCount":"0","resultStr":null,"platform":"Semanticscholar","paperid":null,"PeriodicalName":"Asia Oceania Journal of Nuclear Medicine and Biology","FirstCategoryId":"1085","ListUrlMain":"https://doi.org/10.22038/aojnmb.2025.83694.1594","RegionNum":0,"RegionCategory":null,"ArticlePicture":[],"TitleCN":null,"AbstractTextCN":null,"PMCID":null,"EPubDate":"","PubModel":"","JCR":"Q3","JCRName":"Medicine","Score":null,"Total":0}
引用次数: 0

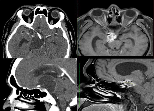
Abstract

Craniopharyngioma is a rare, benign intracranial tumour that can present with solid, cystic, or mixed solid-cystic characteristics. This case report aims to discuss the follow up assessment of our patient after one year of the irradiation therapy for craniopharyngioma. A 43-year-old male who has underlying refractory cystic craniopharyngioma requiring two-weekly aspirations, complicated with visual impairment and panhypopituitarism, was referred to our department for intra-cavitary irradiation therapy. Initial diagnostic assessment with Tc-99m MAA followed by dose calculation using the Backlund formula were conducted prior to the therapy. The patient received 6.22 mCi (230.14 MBq) of Ytrrium-90 citrate colloid via the Ommaya reservoir to deliver a radiation dose of 300 Gy to the tumour. Positive outcomes were observed as signified by the reduction on the aspirated cystic frequency and volume, tumour volume, improvement on the visual function and stable hormonal level. Despite the complications, the intra-cavitary irradiation therapy has demonstrated a significant and valuable therapeutic option for our patient in the management of refractory cystic craniopharyngioma.

Abstract Image

Abstract Image

Abstract Image

难治性囊性颅咽管瘤首次局部腔内治疗性柠檬酸钇-90胶体照射的随访评估:它仍然是一个有价值的治疗选择吗?
颅咽管瘤是一种罕见的良性颅内肿瘤,可表现为实性、囊性或混合实性囊性特征。本病例报告旨在讨论我们的病人放射治疗颅咽管瘤一年后的随访评估。一名43岁男性,因难治性囊性颅咽管瘤,需两周抽吸,合并视力障碍及全垂体功能减退,转介至我科行腔内照射治疗。在治疗前使用Tc-99m MAA进行初步诊断评估,然后使用Backlund公式计算剂量。患者通过Ommaya储存库接受6.22 mCi (230.14 MBq)的柠檬酸钇-90胶体,向肿瘤输送300 Gy的辐射剂量。观察到的积极结果是,吸出的囊肿频率和体积减少,肿瘤体积减少,视觉功能改善,激素水平稳定。尽管有并发症,腔内放射治疗已证明是治疗难治性囊性颅咽管瘤的重要和有价值的治疗选择。
本文章由计算机程序翻译,如有差异,请以英文原文为准。
求助全文
约1分钟内获得全文 求助全文
来源期刊
Asia Oceania Journal of Nuclear Medicine and Biology
Asia Oceania Journal of Nuclear Medicine and Biology Medicine-Radiology, Nuclear Medicine and Imaging
CiteScore
1.80
自引率
0.00%
发文量
28
审稿时长
12 weeks
×
引用
GB/T 7714-2015
复制
MLA
复制
APA
复制
导出至
BibTeX EndNote RefMan NoteFirst NoteExpress
×
提示
您的信息不完整,为了账户安全,请先补充。
现在去补充
×
提示
您因"违规操作"
具体请查看互助需知
我知道了
×
提示
确定
请完成安全验证×
copy
已复制链接
快去分享给好友吧!
我知道了
右上角分享
点击右上角分享
0
联系我们:info@booksci.cn Book学术提供免费学术资源搜索服务,方便国内外学者检索中英文文献。致力于提供最便捷和优质的服务体验。 Copyright © 2023 布克学术 All rights reserved.
京ICP备2023020795号-1
ghs 京公网安备 11010802042870号
Book学术文献互助
Book学术文献互助群
群 号:604180095
Book学术官方微信