A Prospective cohort study investigates the health consequences and biomarkers in Iraqi radiation workers.

Q3 Medicine
Rasha Sabeeh Ahmed, Haidar Ahmed Shamran, Dunia Ali Shamsi
{"title":"A Prospective cohort study investigates the health consequences and biomarkers in Iraqi radiation workers.","authors":"Rasha Sabeeh Ahmed, Haidar Ahmed Shamran, Dunia Ali Shamsi","doi":"10.22038/aojnmb.2025.82707.1583","DOIUrl":null,"url":null,"abstract":"<p><strong>Objectives: </strong>Objectives: Ionizing radiation has the potential to change the pattern of DNA methylation and can cause oxidative damage that may impact DNA. In this prospective cohort study, the effect of ionizing radiation on Iraqi radiation workers has been estimated by investigating the malondialdehyde levels, DNA methylation, DNA fragmentation, as well as the karyorrhectic, differentiated, and basal cells in buccal tissue.</p><p><strong>Methods: </strong>This work involved 80 participants, 40 hospital X-ray workers, and 40 control. Blood samples have been investigated using the NWLSS™ malondialdehyde assay, the gSYNC™ DNA extraction kit, and the comet assay.</p><p><strong>Results: </strong>The mean values of malondialdehyde level, DNA methylation, and DNA fragmentation (%DNA in tai), in workers were found to be 3.00±0.53, 51.63±26.44, and 26.73±12.67, respectively, while in the control were found to be 0.67±0.11, 13.25±11.30, and 9.09±11.96, respectively. In buccal tissue, the mean values of karyorrhectic cells, differentiated cells, late differentiated cells, and early differentiated cells in workers were found to be 7.70±4.64, 8.98±5.44, 14.74±5.25, and 18.50±6.40, respectively, while in control group were found to be 0.15±0.43, 0.20±0.41, 3.45±1.30, 10.78±1.80, respectively. The level of basal cells in buccal tissue was lower in workers (49.33±18.77) compared to the control group (85.75±2.19).</p><p><strong>Conclusions: </strong>The observed levels of biomarkers in radiation workers suggest adverse health consequences due to their occupational exposure to ionizing radiation. Controlling the exposure of hospital workers is the first step to improving the health of workers, thus decreasing economic and human costs.</p>","PeriodicalId":8503,"journal":{"name":"Asia Oceania Journal of Nuclear Medicine and Biology","volume":"13 2","pages":"166-178"},"PeriodicalIF":0.0000,"publicationDate":"2025-01-01","publicationTypes":"Journal Article","fieldsOfStudy":null,"isOpenAccess":false,"openAccessPdf":"https://www.ncbi.nlm.nih.gov/pmc/articles/PMC12205126/pdf/","citationCount":"0","resultStr":null,"platform":"Semanticscholar","paperid":null,"PeriodicalName":"Asia Oceania Journal of Nuclear Medicine and Biology","FirstCategoryId":"1085","ListUrlMain":"https://doi.org/10.22038/aojnmb.2025.82707.1583","RegionNum":0,"RegionCategory":null,"ArticlePicture":[],"TitleCN":null,"AbstractTextCN":null,"PMCID":null,"EPubDate":"","PubModel":"","JCR":"Q3","JCRName":"Medicine","Score":null,"Total":0}
引用次数: 0

Abstract

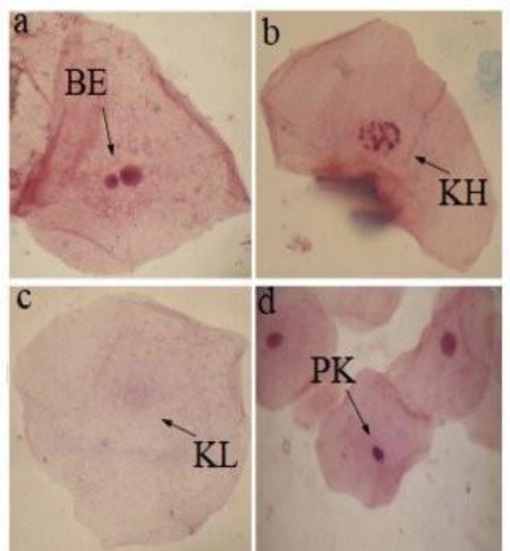
Objectives: Objectives: Ionizing radiation has the potential to change the pattern of DNA methylation and can cause oxidative damage that may impact DNA. In this prospective cohort study, the effect of ionizing radiation on Iraqi radiation workers has been estimated by investigating the malondialdehyde levels, DNA methylation, DNA fragmentation, as well as the karyorrhectic, differentiated, and basal cells in buccal tissue.

Methods: This work involved 80 participants, 40 hospital X-ray workers, and 40 control. Blood samples have been investigated using the NWLSS™ malondialdehyde assay, the gSYNC™ DNA extraction kit, and the comet assay.

Results: The mean values of malondialdehyde level, DNA methylation, and DNA fragmentation (%DNA in tai), in workers were found to be 3.00±0.53, 51.63±26.44, and 26.73±12.67, respectively, while in the control were found to be 0.67±0.11, 13.25±11.30, and 9.09±11.96, respectively. In buccal tissue, the mean values of karyorrhectic cells, differentiated cells, late differentiated cells, and early differentiated cells in workers were found to be 7.70±4.64, 8.98±5.44, 14.74±5.25, and 18.50±6.40, respectively, while in control group were found to be 0.15±0.43, 0.20±0.41, 3.45±1.30, 10.78±1.80, respectively. The level of basal cells in buccal tissue was lower in workers (49.33±18.77) compared to the control group (85.75±2.19).

Conclusions: The observed levels of biomarkers in radiation workers suggest adverse health consequences due to their occupational exposure to ionizing radiation. Controlling the exposure of hospital workers is the first step to improving the health of workers, thus decreasing economic and human costs.

Abstract Image

Abstract Image

Abstract Image

一项前瞻性队列研究调查了伊拉克辐射工作人员的健康后果和生物标志物。
目的:电离辐射有可能改变DNA甲基化模式,并可能导致可能影响DNA的氧化损伤。在这项前瞻性队列研究中,电离辐射对伊拉克辐射工人的影响通过调查丙二醛水平、DNA甲基化、DNA片段化以及口腔组织中的核紊乱、分化和基底细胞来估计。方法:80名受试者,40名医院x线工作人员,40名对照组。使用NWLSS™丙二醛检测、gSYNC™DNA提取试剂盒和comet检测对血液样本进行了检测。结果:工人丙二醛水平、DNA甲基化和DNA片段化(%DNA in tai)均值分别为3.00±0.53、51.63±26.44和26.73±12.67,对照组丙二醛水平均值分别为0.67±0.11、13.25±11.30和9.09±11.96。在口腔组织中,工人的核致密细胞、分化细胞、晚期分化细胞和早期分化细胞的平均值分别为7.70±4.64、8.98±5.44、14.74±5.25和18.50±6.40,对照组的平均值分别为0.15±0.43、0.20±0.41、3.45±1.30、10.78±1.80。工人口腔组织基底细胞水平(49.33±18.77)低于对照组(85.75±2.19)。结论:在辐射工作人员中观察到的生物标志物水平表明,他们的职业暴露于电离辐射会对健康造成不良影响。控制医院工作人员的接触是改善工作人员健康的第一步,从而降低经济和人力成本。
本文章由计算机程序翻译,如有差异,请以英文原文为准。
求助全文
约1分钟内获得全文 求助全文
来源期刊
Asia Oceania Journal of Nuclear Medicine and Biology
Asia Oceania Journal of Nuclear Medicine and Biology Medicine-Radiology, Nuclear Medicine and Imaging
CiteScore
1.80
自引率
0.00%
发文量
28
审稿时长
12 weeks
×
引用
GB/T 7714-2015
复制
MLA
复制
APA
复制
导出至
BibTeX EndNote RefMan NoteFirst NoteExpress
×
提示
您的信息不完整,为了账户安全,请先补充。
现在去补充
×
提示
您因"违规操作"
具体请查看互助需知
我知道了
×
提示
确定
请完成安全验证×
copy
已复制链接
快去分享给好友吧!
我知道了
右上角分享
点击右上角分享
0
联系我们:info@booksci.cn Book学术提供免费学术资源搜索服务,方便国内外学者检索中英文文献。致力于提供最便捷和优质的服务体验。 Copyright © 2023 布克学术 All rights reserved.
京ICP备2023020795号-1
ghs 京公网安备 11010802042870号
Book学术文献互助
Book学术文献互助群
群 号:604180095
Book学术官方微信