[18F]FMISO PET in metastatic neuroendocrine tumours: a pilot study.

Q3 Medicine
David L Chan, Alice Conner, Nick Pavlakis, Elizabeth Bailey, Alireza Aslani, Kathy Willowson, Connie Diakos, Elizabeth J Bernard, Stephen Clarke, Alexander Engel, Paul J Roach, Dale L Bailey
{"title":"[<sup>18</sup>F]FMISO PET in metastatic neuroendocrine tumours: a pilot study.","authors":"David L Chan, Alice Conner, Nick Pavlakis, Elizabeth Bailey, Alireza Aslani, Kathy Willowson, Connie Diakos, Elizabeth J Bernard, Stephen Clarke, Alexander Engel, Paul J Roach, Dale L Bailey","doi":"10.22038/aojnmb.2025.83664.1611","DOIUrl":null,"url":null,"abstract":"<p><strong>Objectives: </strong>The phenomenon of peripheral [<sup>68</sup>Ga]DOTATATE avidity without central avidity (which we have termed a \"DONUT\") has been observed in neuroendocrine neoplasm (NEN) lesions. There has been speculation as to whether this is due to hypoxia, de-differentiated disease or other causes. The presence of hypoxia may have prognostic and therapeutic implications, and was evaluated in these lesions using the PET hypoxia imaging biomarker [<sup>18</sup>F]FMISO.</p><p><strong>Methods: </strong>Prospective pilot study in patients with metastatic NENs with at least one DONUT lesion (central [<sup>68</sup>Ga]DOTATATE non-avidity). [<sup>18</sup>F]FDG and [<sup>18</sup>F]FMISO scans were acquired within 60 days of the [<sup>68</sup>Ga]DOTATATE PET/CT. [<sup>18</sup>F]FMISO scans were acquired as a dynamic scan over 20 mins from injection with a delayed image at 2 hours. The dynamic acquisition was analysed quantitatively using a graphical approach yielding parametric images of Influx Rate Constant and Volume of Distribution. [<sup>18</sup>F]FMISO uptake within the identified DONUT hole on the 2 hr delayed scan was qualitatively scored by two experienced nuclear medicine physicians as: 0 (no uptake), 1 (uptake less than normal liver), 2 (uptake equal to normal liver), or 3 (uptake greater than normal liver).</p><p><strong>Results: </strong>Ten patients were enrolled with primary sites including pancreas (n=3), small bowel (n=3), rectum (n=2), duodenum (n=1) and lung (n=1). Six subjects were scored 1, three subjects were scored 2, and one subject was scored 3. All lesions evaluated were located in the liver. Quantitative [<sup>18</sup>F]FMISO parametric imaging showed evidence of increased uptake rate (Ki) in the photopenic areas of the DONUT lesions in 8/10 subjects. Surrounding uptake rate in normal liver was extremely low. In the qualitative delayed image assessment, only one subject demonstrated [<sup>18</sup>F]FMISO uptake greater than surrounding normal liver (small bowel primary, G2).</p><p><strong>Conclusion: </strong>Only one of ten patients with DONUT lesions demonstrated increased [<sup>18</sup>F]FMISO uptake rate on delayed static imaging. In contrast, dynamic imaging demonstrated increased [<sup>18</sup>F]FMISO uptake rate in the region of [<sup>68</sup>Ga]DOTATATE photopenia on 8 of 10 patients. Future research using [<sup>18</sup>F]FMISO in NEN patients should incorporate dynamic imaging.</p>","PeriodicalId":8503,"journal":{"name":"Asia Oceania Journal of Nuclear Medicine and Biology","volume":"13 2","pages":"117-125"},"PeriodicalIF":0.0000,"publicationDate":"2025-01-01","publicationTypes":"Journal Article","fieldsOfStudy":null,"isOpenAccess":false,"openAccessPdf":"https://www.ncbi.nlm.nih.gov/pmc/articles/PMC12205124/pdf/","citationCount":"0","resultStr":null,"platform":"Semanticscholar","paperid":null,"PeriodicalName":"Asia Oceania Journal of Nuclear Medicine and Biology","FirstCategoryId":"1085","ListUrlMain":"https://doi.org/10.22038/aojnmb.2025.83664.1611","RegionNum":0,"RegionCategory":null,"ArticlePicture":[],"TitleCN":null,"AbstractTextCN":null,"PMCID":null,"EPubDate":"","PubModel":"","JCR":"Q3","JCRName":"Medicine","Score":null,"Total":0}
引用次数: 0

Abstract

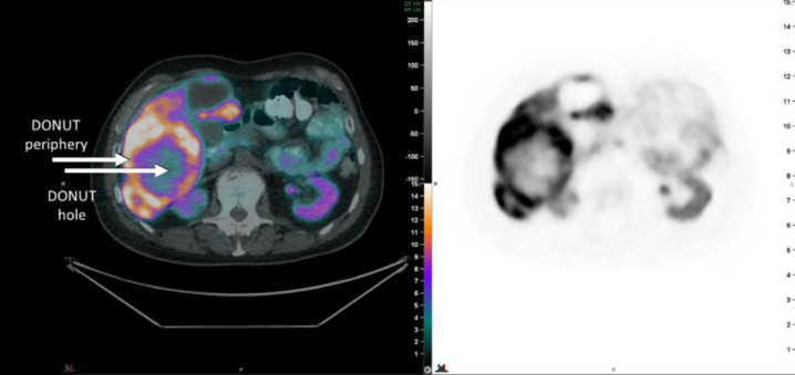
Objectives: The phenomenon of peripheral [68Ga]DOTATATE avidity without central avidity (which we have termed a "DONUT") has been observed in neuroendocrine neoplasm (NEN) lesions. There has been speculation as to whether this is due to hypoxia, de-differentiated disease or other causes. The presence of hypoxia may have prognostic and therapeutic implications, and was evaluated in these lesions using the PET hypoxia imaging biomarker [18F]FMISO.

Methods: Prospective pilot study in patients with metastatic NENs with at least one DONUT lesion (central [68Ga]DOTATATE non-avidity). [18F]FDG and [18F]FMISO scans were acquired within 60 days of the [68Ga]DOTATATE PET/CT. [18F]FMISO scans were acquired as a dynamic scan over 20 mins from injection with a delayed image at 2 hours. The dynamic acquisition was analysed quantitatively using a graphical approach yielding parametric images of Influx Rate Constant and Volume of Distribution. [18F]FMISO uptake within the identified DONUT hole on the 2 hr delayed scan was qualitatively scored by two experienced nuclear medicine physicians as: 0 (no uptake), 1 (uptake less than normal liver), 2 (uptake equal to normal liver), or 3 (uptake greater than normal liver).

Results: Ten patients were enrolled with primary sites including pancreas (n=3), small bowel (n=3), rectum (n=2), duodenum (n=1) and lung (n=1). Six subjects were scored 1, three subjects were scored 2, and one subject was scored 3. All lesions evaluated were located in the liver. Quantitative [18F]FMISO parametric imaging showed evidence of increased uptake rate (Ki) in the photopenic areas of the DONUT lesions in 8/10 subjects. Surrounding uptake rate in normal liver was extremely low. In the qualitative delayed image assessment, only one subject demonstrated [18F]FMISO uptake greater than surrounding normal liver (small bowel primary, G2).

Conclusion: Only one of ten patients with DONUT lesions demonstrated increased [18F]FMISO uptake rate on delayed static imaging. In contrast, dynamic imaging demonstrated increased [18F]FMISO uptake rate in the region of [68Ga]DOTATATE photopenia on 8 of 10 patients. Future research using [18F]FMISO in NEN patients should incorporate dynamic imaging.

Abstract Image

Abstract Image

Abstract Image

[18F]FMISO PET在转移性神经内分泌肿瘤中的应用。
目的:在神经内分泌肿瘤(NEN)病变中观察到外周[68Ga]DOTATATE贪婪而无中枢贪婪(我们称之为“DONUT”)的现象。人们一直在猜测这是由于缺氧、去分化疾病还是其他原因。缺氧的存在可能具有预后和治疗意义,并在这些病变中使用PET缺氧成像生物标志物[18F]FMISO进行评估。方法:前瞻性试点研究,转移性NENs患者至少有一个DONUT病变(中央[68Ga]DOTATATE非avidity)。[18F]FDG和[18F]FMISO扫描在[68Ga]DOTATATE PET/CT后60天内进行。[18F]FMISO扫描是在注射后20分钟内获得的动态扫描,并在2小时后获得延迟图像。采用图形方法对动态采集进行了定量分析,得到了流入速率常数和分布体积的参数图像。[18F]两名经验丰富的核医学医生对延迟扫描2小时的DONUT孔内的FMISO摄取进行定性评分:0(无摄取),1(摄取少于正常肝脏),2(摄取等于正常肝脏)或3(摄取大于正常肝脏)。结果:10例患者入组,原发部位包括胰腺(n=3)、小肠(n=3)、直肠(n=2)、十二指肠(n=1)和肺(n=1)。6名受试者得分为1,3名受试者得分为2,1名受试者得分为3。所有被评估的病变都位于肝脏。定量[18F]FMISO参数成像显示8/10的受试者在DONUT病变的光衰区摄取速率(Ki)增加。正常肝脏的周围摄取率极低。在定性延迟图像评估中,只有一名受试者显示[18F]FMISO摄取高于周围正常肝脏(小肠原发,G2)。结论:只有1 / 10的DONUT病变患者延迟静态成像显示FMISO摄取率升高[18F]。相比之下,动态成像显示10例患者中有8例在[68Ga]DOTATATE光减少区[18F]FMISO摄取增加。未来使用[18F]FMISO对NEN患者的研究应纳入动态成像。
本文章由计算机程序翻译,如有差异,请以英文原文为准。
求助全文
约1分钟内获得全文 求助全文
来源期刊
Asia Oceania Journal of Nuclear Medicine and Biology
Asia Oceania Journal of Nuclear Medicine and Biology Medicine-Radiology, Nuclear Medicine and Imaging
CiteScore
1.80
自引率
0.00%
发文量
28
审稿时长
12 weeks
×
引用
GB/T 7714-2015
复制
MLA
复制
APA
复制
导出至
BibTeX EndNote RefMan NoteFirst NoteExpress
×
提示
您的信息不完整,为了账户安全,请先补充。
现在去补充
×
提示
您因"违规操作"
具体请查看互助需知
我知道了
×
提示
确定
请完成安全验证×
copy
已复制链接
快去分享给好友吧!
我知道了
右上角分享
点击右上角分享
0
联系我们:info@booksci.cn Book学术提供免费学术资源搜索服务,方便国内外学者检索中英文文献。致力于提供最便捷和优质的服务体验。 Copyright © 2023 布克学术 All rights reserved.
京ICP备2023020795号-1
ghs 京公网安备 11010802042870号
Book学术文献互助
Book学术文献互助群
群 号:604180095
Book学术官方微信