An integrated analysis of second- and third-generation transcriptome sequencing technologies reveals the DAZAP1 function in pig testis.

IF 2.1 4区 农林科学 Q2 AGRICULTURE, DAIRY & ANIMAL SCIENCE
Animal Reproduction Pub Date : 2025-06-27 eCollection Date: 2025-01-01 DOI:10.1590/1984-3143-AR2024-012
Xia Zhang, Hailong Huo, Honglin Li, Yongqing Liu, Fujie Qiao, Changyao Li, Jinlong Huo
{"title":"An integrated analysis of second- and third-generation transcriptome sequencing technologies reveals the <i>DAZAP1</i> function in pig testis.","authors":"Xia Zhang, Hailong Huo, Honglin Li, Yongqing Liu, Fujie Qiao, Changyao Li, Jinlong Huo","doi":"10.1590/1984-3143-AR2024-012","DOIUrl":null,"url":null,"abstract":"<p><p>The quality of pig sperm is one of the crucial determinants of reproductive ability, and sperm defects can shorten the reproductive life of boars and affect the production of offspring. During transcription and translation, the <i>DAZAP1</i> gene exerts regulatory control over alternative splicing, thereby exerting influence on vital cellular processes including cell growth, development, and spermatogenesis. In this study, we employed second- and third-generation transcriptome sequencing techniques to isolate and identify the <i>DAZAP1</i> gene and its transcripts using Banna mini-pig inbred line (BMI) testicular cDNA as a template. We identified three splice variants of the <i>DAZAP1</i> gene, including ENSSSCT00000023438.4 (DAZAP1_X1), ENSSSCT00000051975.3 (DAZAP1_X2), and ENSSSCT00000074738.2 (DAZAP1_X3). Furthermore, the transcript DAZAP1_X2, was subjected to comprehensive analysis. The DAZAP1_X2 variant comprises 13 exons, with a coding sequence (CDS) length of 1254 bp (417 aa). Subsequently, enrichment analyses based on GO and KEGG pathways revealed that DAZAP1_X2 primarily participated in pathways associated with spermatogenesis, movement of the 9+2 cilium structure, germ cell development, gamete generation, and sexual reproduction. The ceRNA analysis identified three miRNAs interacting with DAZAP1_X2: ssc-miR-107, ssc-miR-127, and ssc-miR-1343, which were primarily linked to spermatogenesis. Both the testis and urethral bulb had significant levels of <i>DAZAP1</i> expression, according to multi-tissue expression analysis. Subcellular localization indicated that the DAZAP1 was mainly distributed in the cell nucleus. <i>DAZAP1</i> was critical for sperm formation and was essential for reproductive. These results shed light on the biological roles of <i>DAZAP1</i> in pigs.</p>","PeriodicalId":7889,"journal":{"name":"Animal Reproduction","volume":"22 2","pages":"e20240141"},"PeriodicalIF":2.1000,"publicationDate":"2025-06-27","publicationTypes":"Journal Article","fieldsOfStudy":null,"isOpenAccess":false,"openAccessPdf":"https://www.ncbi.nlm.nih.gov/pmc/articles/PMC12203886/pdf/","citationCount":"0","resultStr":null,"platform":"Semanticscholar","paperid":null,"PeriodicalName":"Animal Reproduction","FirstCategoryId":"97","ListUrlMain":"https://doi.org/10.1590/1984-3143-AR2024-012","RegionNum":4,"RegionCategory":"农林科学","ArticlePicture":[],"TitleCN":null,"AbstractTextCN":null,"PMCID":null,"EPubDate":"2025/1/1 0:00:00","PubModel":"eCollection","JCR":"Q2","JCRName":"AGRICULTURE, DAIRY & ANIMAL SCIENCE","Score":null,"Total":0}
引用次数: 0

Abstract

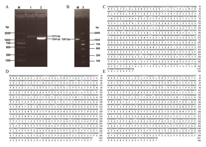
The quality of pig sperm is one of the crucial determinants of reproductive ability, and sperm defects can shorten the reproductive life of boars and affect the production of offspring. During transcription and translation, the DAZAP1 gene exerts regulatory control over alternative splicing, thereby exerting influence on vital cellular processes including cell growth, development, and spermatogenesis. In this study, we employed second- and third-generation transcriptome sequencing techniques to isolate and identify the DAZAP1 gene and its transcripts using Banna mini-pig inbred line (BMI) testicular cDNA as a template. We identified three splice variants of the DAZAP1 gene, including ENSSSCT00000023438.4 (DAZAP1_X1), ENSSSCT00000051975.3 (DAZAP1_X2), and ENSSSCT00000074738.2 (DAZAP1_X3). Furthermore, the transcript DAZAP1_X2, was subjected to comprehensive analysis. The DAZAP1_X2 variant comprises 13 exons, with a coding sequence (CDS) length of 1254 bp (417 aa). Subsequently, enrichment analyses based on GO and KEGG pathways revealed that DAZAP1_X2 primarily participated in pathways associated with spermatogenesis, movement of the 9+2 cilium structure, germ cell development, gamete generation, and sexual reproduction. The ceRNA analysis identified three miRNAs interacting with DAZAP1_X2: ssc-miR-107, ssc-miR-127, and ssc-miR-1343, which were primarily linked to spermatogenesis. Both the testis and urethral bulb had significant levels of DAZAP1 expression, according to multi-tissue expression analysis. Subcellular localization indicated that the DAZAP1 was mainly distributed in the cell nucleus. DAZAP1 was critical for sperm formation and was essential for reproductive. These results shed light on the biological roles of DAZAP1 in pigs.

Abstract Image

Abstract Image

Abstract Image

对第二代和第三代转录组测序技术的综合分析揭示了DAZAP1在猪睾丸中的功能。
猪精子质量是决定繁殖能力的重要因素之一,精子缺陷会缩短公猪的繁殖寿命,影响后代的产仔。在转录和翻译过程中,DAZAP1基因对选择性剪接进行调控,从而对细胞生长、发育和精子发生等重要细胞过程产生影响。本研究采用第二代和第三代转录组测序技术,以版纳迷你猪自交系(BMI)睾丸cDNA为模板,分离鉴定DAZAP1基因及其转录本。我们鉴定了DAZAP1基因的三个剪接变体,包括ENSSSCT00000023438.4 (DAZAP1_X1)、ENSSSCT00000051975.3 (DAZAP1_X2)和ENSSSCT00000074738.2 (DAZAP1_X3)。对转录本DAZAP1_X2进行综合分析。DAZAP1_X2变异包括13个外显子,编码序列(CDS)长度为1254 bp (417 aa)。随后,基于GO和KEGG途径的富集分析表明,DAZAP1_X2主要参与与精子发生、9+2纤毛结构运动、生殖细胞发育、配子产生和有性生殖相关的途径。ceRNA分析确定了三个与DAZAP1_X2相互作用的mirna: ssc-miR-107、ssc-miR-127和ssc-miR-1343,它们主要与精子发生有关。根据多组织表达分析,睾丸和尿道球均有显著水平的DAZAP1表达。亚细胞定位表明,DAZAP1主要分布在细胞核内。DAZAP1对精子的形成至关重要,对生殖至关重要。这些结果揭示了DAZAP1在猪体内的生物学作用。
本文章由计算机程序翻译,如有差异,请以英文原文为准。
求助全文
约1分钟内获得全文 求助全文
来源期刊
Animal Reproduction
Animal Reproduction AGRICULTURE, DAIRY & ANIMAL SCIENCE-
CiteScore
2.30
自引率
11.80%
发文量
49
审稿时长
70 days
期刊介绍: Animal Reproduction (AR) publishes original scientific papers and invited literature reviews, in the form of Basic Research, Biotechnology, Applied Research and Review Articles, with the goal of contributing to a better understanding of phenomena related to animal reproduction. The scope of the journal applies to students, researchers and practitioners in the fields of veterinary, biology and animal science, also being of interest to practitioners of human medicine. Animal Reproduction Journal is the official organ of the Brazilian College of Animal Reproduction in Brazil.
×
引用
GB/T 7714-2015
复制
MLA
复制
APA
复制
导出至
BibTeX EndNote RefMan NoteFirst NoteExpress
×
提示
您的信息不完整,为了账户安全,请先补充。
现在去补充
×
提示
您因"违规操作"
具体请查看互助需知
我知道了
×
提示
确定
请完成安全验证×
copy
已复制链接
快去分享给好友吧!
我知道了
右上角分享
点击右上角分享
0
联系我们:info@booksci.cn Book学术提供免费学术资源搜索服务,方便国内外学者检索中英文文献。致力于提供最便捷和优质的服务体验。 Copyright © 2023 布克学术 All rights reserved.
京ICP备2023020795号-1
ghs 京公网安备 11010802042870号
Book学术文献互助
Book学术文献互助群
群 号:604180095
Book学术官方微信