The Diagnosis of Esophageal Lichen Planus: Recurrent Esophageal Strictures, Delayed-Onset Rash, and Tracheal Stenosis.

IF 0.5 Q4 GASTROENTEROLOGY & HEPATOLOGY
ACG Case Reports Journal Pub Date : 2025-06-26 eCollection Date: 2025-07-01 DOI:10.14309/crj.0000000000001744
Brian Gutermuth, Eric Shah, Linda Jiang
{"title":"The Diagnosis of Esophageal Lichen Planus: Recurrent Esophageal Strictures, Delayed-Onset Rash, and Tracheal Stenosis.","authors":"Brian Gutermuth, Eric Shah, Linda Jiang","doi":"10.14309/crj.0000000000001744","DOIUrl":null,"url":null,"abstract":"<p><p>Lichen planus (LP) is a chronic inflammatory disorder involving the skin and mucous membranes. Esophageal LP is often under-recognized and may present with or without other mucocutaneous sites of involvement. Its diagnosis is made challenging by its variable presentation and high rate of negative biopsies. Although some studies have suggested diagnostic criteria and severity grading, no formal guidelines exist. Diagnosis is made with a combination of clinical presentation, macroscopic findings on endoscopy, and histologic evidence. This case report highlights the challenges in the diagnosis of biopsy-negative esophageal LP and importance of timely diagnosis and initiation of appropriate medical therapy.</p>","PeriodicalId":7394,"journal":{"name":"ACG Case Reports Journal","volume":"12 7","pages":"e01744"},"PeriodicalIF":0.5000,"publicationDate":"2025-06-26","publicationTypes":"Journal Article","fieldsOfStudy":null,"isOpenAccess":false,"openAccessPdf":"https://www.ncbi.nlm.nih.gov/pmc/articles/PMC12204140/pdf/","citationCount":"0","resultStr":null,"platform":"Semanticscholar","paperid":null,"PeriodicalName":"ACG Case Reports Journal","FirstCategoryId":"1085","ListUrlMain":"https://doi.org/10.14309/crj.0000000000001744","RegionNum":0,"RegionCategory":null,"ArticlePicture":[],"TitleCN":null,"AbstractTextCN":null,"PMCID":null,"EPubDate":"2025/7/1 0:00:00","PubModel":"eCollection","JCR":"Q4","JCRName":"GASTROENTEROLOGY & HEPATOLOGY","Score":null,"Total":0}
引用次数: 0

Abstract

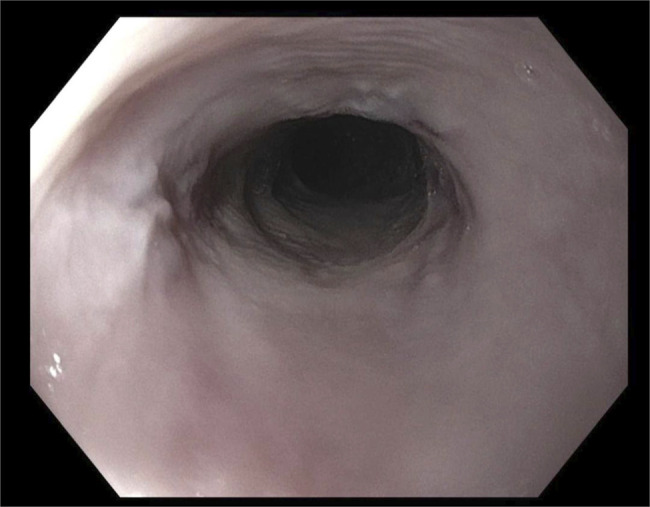
Lichen planus (LP) is a chronic inflammatory disorder involving the skin and mucous membranes. Esophageal LP is often under-recognized and may present with or without other mucocutaneous sites of involvement. Its diagnosis is made challenging by its variable presentation and high rate of negative biopsies. Although some studies have suggested diagnostic criteria and severity grading, no formal guidelines exist. Diagnosis is made with a combination of clinical presentation, macroscopic findings on endoscopy, and histologic evidence. This case report highlights the challenges in the diagnosis of biopsy-negative esophageal LP and importance of timely diagnosis and initiation of appropriate medical therapy.

Abstract Image

Abstract Image

食管扁平苔藓的诊断:复发性食管狭窄、迟发性皮疹和气管狭窄。
扁平苔藓(LP)是一种累及皮肤和粘膜的慢性炎性疾病。食管LP常被忽视,可能伴或不伴其他粘膜皮肤部位受累。它的诊断是具有挑战性的,其可变的表现和高比率的阴性活检。虽然一些研究提出了诊断标准和严重程度分级,但没有正式的指导方针。诊断是结合临床表现,宏观内窥镜检查结果和组织学证据。本病例报告强调了活检阴性食管LP诊断的挑战以及及时诊断和开始适当药物治疗的重要性。
本文章由计算机程序翻译,如有差异,请以英文原文为准。
求助全文
约1分钟内获得全文 求助全文
来源期刊
ACG Case Reports Journal
ACG Case Reports Journal GASTROENTEROLOGY & HEPATOLOGY-
自引率
14.30%
发文量
170
审稿时长
12 weeks
期刊介绍: ACG Case Reports Journal is a peer-reviewed, open-access publication that provides GI and hepatology fellows, private practice clinicians, and other healthcare providers an opportunity to share interesting case reports with their peers and with leaders in the field. ACG Case Reports Journal publishes case reports, images, videos and letters to the editor in all topics of gastroenterology and hepatology, including: Biliary Colon Endoscopy Esophagus Functional Bowel Disorders Inflammatory Bowel Disease Liver Nutrition and Obesity Pancreas Pathology Pediatric Small Bowel Stomach.
×
引用
GB/T 7714-2015
复制
MLA
复制
APA
复制
导出至
BibTeX EndNote RefMan NoteFirst NoteExpress
×
提示
您的信息不完整,为了账户安全,请先补充。
现在去补充
×
提示
您因"违规操作"
具体请查看互助需知
我知道了
×
提示
确定
请完成安全验证×
copy
已复制链接
快去分享给好友吧!
我知道了
右上角分享
点击右上角分享
0
联系我们:info@booksci.cn Book学术提供免费学术资源搜索服务,方便国内外学者检索中英文文献。致力于提供最便捷和优质的服务体验。 Copyright © 2023 布克学术 All rights reserved.
京ICP备2023020795号-1
ghs 京公网安备 11010802042870号
Book学术文献互助
Book学术文献互助群
群 号:604180095
Book学术官方微信