Zinner Syndrome Presenting With Chronic Pelvic Pain and Ejaculatory Dysfunction

Q4 Medicine
Tejasvi Patil, Amogh Verma, Rajat Sachdeva, Shubham Kumar, Shilpa Gaidhane, Sanjit Sah, Prakasini Satapathy, Rachana Mehta, Benjamin Wafula Simiyu, Vinay Suresh
{"title":"Zinner Syndrome Presenting With Chronic Pelvic Pain and Ejaculatory Dysfunction","authors":"Tejasvi Patil,&nbsp;Amogh Verma,&nbsp;Rajat Sachdeva,&nbsp;Shubham Kumar,&nbsp;Shilpa Gaidhane,&nbsp;Sanjit Sah,&nbsp;Prakasini Satapathy,&nbsp;Rachana Mehta,&nbsp;Benjamin Wafula Simiyu,&nbsp;Vinay Suresh","doi":"10.1002/iju5.70029","DOIUrl":null,"url":null,"abstract":"<div>\n \n \n <section>\n \n <h3> Introduction</h3>\n \n <p>Zinner Syndrome is a rare congenital anomaly involving unilateral renal agenesis, ipsilateral seminal vesicle cyst, and ejaculatory duct obstruction. We report a symptomatic case managed conservatively.</p>\n </section>\n \n <section>\n \n <h3> Case Presentation</h3>\n \n <p>A 19-year-old male presented with 6 months of intermittent pelvic pain, dysuria, and ejaculatory discomfort. Examination was unremarkable. Ultrasonography showed right renal agenesis and a pelvic cyst. MRI confirmed a 2.8 cm cystic dilatation of the right seminal vesicle with vas deferens dilatation and absent right kidney. No ectopic renal tissue was seen. Semen analysis revealed oligospermia. Given mild symptoms and fertility concerns, he was treated conservatively with NSAIDs and antibiotics, resulting in symptom improvement within 4 weeks. Surveillance was planned.</p>\n </section>\n \n <section>\n \n <h3> Conclusion</h3>\n \n <p>Zinner Syndrome should be considered in young males with unexplained pelvic or ejaculatory symptoms. MRI is essential for accurate diagnosis. Conservative treatment is suitable for mild cases, reserving surgery for progressive symptoms or fertility issues.</p>\n </section>\n </div>","PeriodicalId":52909,"journal":{"name":"IJU Case Reports","volume":"8 4","pages":"322-325"},"PeriodicalIF":0.0000,"publicationDate":"2025-04-10","publicationTypes":"Journal Article","fieldsOfStudy":null,"isOpenAccess":false,"openAccessPdf":"https://onlinelibrary.wiley.com/doi/epdf/10.1002/iju5.70029","citationCount":"0","resultStr":null,"platform":"Semanticscholar","paperid":null,"PeriodicalName":"IJU Case Reports","FirstCategoryId":"1085","ListUrlMain":"https://onlinelibrary.wiley.com/doi/10.1002/iju5.70029","RegionNum":0,"RegionCategory":null,"ArticlePicture":[],"TitleCN":null,"AbstractTextCN":null,"PMCID":null,"EPubDate":"","PubModel":"","JCR":"Q4","JCRName":"Medicine","Score":null,"Total":0}
引用次数: 0

Abstract

Introduction

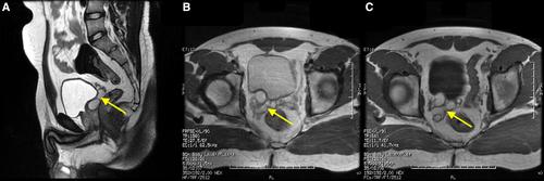
Zinner Syndrome is a rare congenital anomaly involving unilateral renal agenesis, ipsilateral seminal vesicle cyst, and ejaculatory duct obstruction. We report a symptomatic case managed conservatively.

Case Presentation

A 19-year-old male presented with 6 months of intermittent pelvic pain, dysuria, and ejaculatory discomfort. Examination was unremarkable. Ultrasonography showed right renal agenesis and a pelvic cyst. MRI confirmed a 2.8 cm cystic dilatation of the right seminal vesicle with vas deferens dilatation and absent right kidney. No ectopic renal tissue was seen. Semen analysis revealed oligospermia. Given mild symptoms and fertility concerns, he was treated conservatively with NSAIDs and antibiotics, resulting in symptom improvement within 4 weeks. Surveillance was planned.

Conclusion

Zinner Syndrome should be considered in young males with unexplained pelvic or ejaculatory symptoms. MRI is essential for accurate diagnosis. Conservative treatment is suitable for mild cases, reserving surgery for progressive symptoms or fertility issues.

Abstract Image

Zinner综合征表现为慢性盆腔疼痛和射精功能障碍
齐纳综合征是一种罕见的先天性异常,包括单侧肾脏发育不全、同侧精囊囊肿和射精管阻塞。我们报告一个有症状的病例保守处理。一名19岁男性患者表现为6个月的间歇性骨盆疼痛、排尿困难和射精不适。检查结果平平无奇。超声检查显示右肾发育不全及盆腔囊肿。MRI证实右侧精囊囊性扩张2.8 cm,伴输精管扩张,右肾缺失。未见异位肾组织。精液分析显示少精症。由于症状轻微和生育方面的担忧,他接受了非甾体抗炎药和抗生素的保守治疗,在4周内症状得到改善。监视是有计划的。结论年轻男性盆腔或射精症状不明者应考虑Zinner综合征。MRI对准确诊断至关重要。保守治疗适用于轻度病例,保留手术治疗进展症状或生育问题。
本文章由计算机程序翻译,如有差异,请以英文原文为准。
求助全文
约1分钟内获得全文 求助全文
来源期刊
IJU Case Reports
IJU Case Reports Medicine-Urology
CiteScore
0.60
自引率
0.00%
发文量
147
审稿时长
15 weeks
×
引用
GB/T 7714-2015
复制
MLA
复制
APA
复制
导出至
BibTeX EndNote RefMan NoteFirst NoteExpress
×
提示
您的信息不完整,为了账户安全,请先补充。
现在去补充
×
提示
您因"违规操作"
具体请查看互助需知
我知道了
×
提示
确定
请完成安全验证×
copy
已复制链接
快去分享给好友吧!
我知道了
右上角分享
点击右上角分享
0
联系我们:info@booksci.cn Book学术提供免费学术资源搜索服务,方便国内外学者检索中英文文献。致力于提供最便捷和优质的服务体验。 Copyright © 2023 布克学术 All rights reserved.
京ICP备2023020795号-1
ghs 京公网安备 11010802042870号
Book学术文献互助
Book学术文献互助群
群 号:604180095
Book学术官方微信