IgG4-related Disease of the Retroperitoneum Mimics Malignancy: A Case Report and Literature Review.

IF 1.8 4区 医学 Q3 MEDICINE, RESEARCH & EXPERIMENTAL
In vivo Pub Date : 2025-07-01 DOI:10.21873/invivo.14011
Gaia Cicioni, Immacolata Iannone, Daniele Crocetti, Cristina DE Padua, Alessandro Coppola, Luigi Petramala, Paolo Sapienza, Claudio Letizia
{"title":"IgG4-related Disease of the Retroperitoneum Mimics Malignancy: A Case Report and Literature Review.","authors":"Gaia Cicioni, Immacolata Iannone, Daniele Crocetti, Cristina DE Padua, Alessandro Coppola, Luigi Petramala, Paolo Sapienza, Claudio Letizia","doi":"10.21873/invivo.14011","DOIUrl":null,"url":null,"abstract":"<p><strong>Background/aim: </strong>Immunoglobulin G4-related disease (IgG4-RD) is a systemic, immune-mediated condition characterized by fibroinflammatory lesions affecting multiple organs. When localized in the retroperitoneum, it may mimic malignancy and often leads to surgical intervention. We report the case of a 21-year-old male with retroperitoneal IgG4-RD and review the relevant literature, emphasizing the diagnostic challenges and importance of differential diagnosis.</p><p><strong>Patients and methods: </strong>A case report of a 21-year-old man with retroperitoneal IgG4-RD is presented. A literature review was conducted <i>via</i> Scopus, Embase, and Medline through December 2024, selecting studies with immunohistochemically confirmed retroperitoneal IgG4-RD. Data were independently extracted and analyzed using SPSS software.</p><p><strong>Results: </strong>Of 74 articles retrieved, 22 met the inclusion criteria, totaling 23 patients including our case. The mean age was 62 years, with a male predominance (65%). The left ureter was most commonly involved (52%). Frequent symptoms included localized abdominal pain (61%) and hydronephrosis (96%). Imaging often suggested malignancy, leading 74% of patients to undergo surgery. Histopathology confirmed IgG4-RD in all cases, though only 30% showed IgG4 immunohistochemical positivity.</p><p><strong>Conclusion: </strong>Retroperitoneal IgG4-RD closely mimics malignancy, posing significant diagnostic challenges. Elevated serum IgG4 levels and tissue biopsy are critical for accurate diagnosis. IgG4-RD should be considered in patients with unexplained retroperitoneal masses to avoid unnecessary surgery and ensure appropriate treatment.</p>","PeriodicalId":13364,"journal":{"name":"In vivo","volume":"39 4","pages":"2154-2164"},"PeriodicalIF":1.8000,"publicationDate":"2025-07-01","publicationTypes":"Journal Article","fieldsOfStudy":null,"isOpenAccess":false,"openAccessPdf":"https://www.ncbi.nlm.nih.gov/pmc/articles/PMC12223607/pdf/","citationCount":"0","resultStr":null,"platform":"Semanticscholar","paperid":null,"PeriodicalName":"In vivo","FirstCategoryId":"3","ListUrlMain":"https://doi.org/10.21873/invivo.14011","RegionNum":4,"RegionCategory":"医学","ArticlePicture":[],"TitleCN":null,"AbstractTextCN":null,"PMCID":null,"EPubDate":"","PubModel":"","JCR":"Q3","JCRName":"MEDICINE, RESEARCH & EXPERIMENTAL","Score":null,"Total":0}
引用次数: 0

Abstract

Background/aim: Immunoglobulin G4-related disease (IgG4-RD) is a systemic, immune-mediated condition characterized by fibroinflammatory lesions affecting multiple organs. When localized in the retroperitoneum, it may mimic malignancy and often leads to surgical intervention. We report the case of a 21-year-old male with retroperitoneal IgG4-RD and review the relevant literature, emphasizing the diagnostic challenges and importance of differential diagnosis.

Patients and methods: A case report of a 21-year-old man with retroperitoneal IgG4-RD is presented. A literature review was conducted via Scopus, Embase, and Medline through December 2024, selecting studies with immunohistochemically confirmed retroperitoneal IgG4-RD. Data were independently extracted and analyzed using SPSS software.

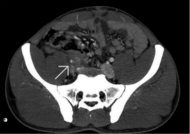
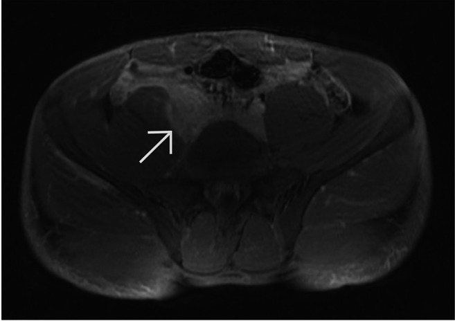
Results: Of 74 articles retrieved, 22 met the inclusion criteria, totaling 23 patients including our case. The mean age was 62 years, with a male predominance (65%). The left ureter was most commonly involved (52%). Frequent symptoms included localized abdominal pain (61%) and hydronephrosis (96%). Imaging often suggested malignancy, leading 74% of patients to undergo surgery. Histopathology confirmed IgG4-RD in all cases, though only 30% showed IgG4 immunohistochemical positivity.

Conclusion: Retroperitoneal IgG4-RD closely mimics malignancy, posing significant diagnostic challenges. Elevated serum IgG4 levels and tissue biopsy are critical for accurate diagnosis. IgG4-RD should be considered in patients with unexplained retroperitoneal masses to avoid unnecessary surgery and ensure appropriate treatment.

Abstract Image

Abstract Image

Abstract Image

igg4相关的腹膜后模拟恶性肿瘤1例报告及文献复习
背景/目的:免疫球蛋白g4相关疾病(IgG4-RD)是一种全身性、免疫介导的疾病,以影响多器官的纤维炎性病变为特征。当定位于腹膜后,它可能模仿恶性肿瘤,往往导致手术干预。我们报告一例21岁男性腹膜后IgG4-RD,并回顾相关文献,强调诊断的挑战和鉴别诊断的重要性。患者和方法:报告一例21岁男性腹膜后IgG4-RD。截至2024年12月,通过Scopus、Embase和Medline进行文献综述,选择免疫组织化学证实腹膜后IgG4-RD的研究。数据采用SPSS软件独立提取和分析。结果:检索到的74篇文献中,22篇符合纳入标准,包括我们的病例在内共23例。平均年龄62岁,男性居多(65%)。左侧输尿管最常受累(52%)。常见症状包括局部腹痛(61%)和肾积水(96%)。影像学常提示为恶性肿瘤,导致74%的患者接受手术治疗。组织病理学证实所有病例均为IgG4- rd,但只有30%的病例显示IgG4免疫组化阳性。结论:腹膜后IgG4-RD与恶性肿瘤非常相似,这给诊断带来了重大挑战。血清IgG4水平升高和组织活检对准确诊断至关重要。对于不明原因腹膜后肿物患者应考虑IgG4-RD,以避免不必要的手术并确保适当的治疗。
本文章由计算机程序翻译,如有差异,请以英文原文为准。
求助全文
约1分钟内获得全文 求助全文
来源期刊
In vivo
In vivo 医学-医学:研究与实验
CiteScore
4.20
自引率
4.30%
发文量
330
审稿时长
3-8 weeks
期刊介绍: IN VIVO is an international peer-reviewed journal designed to bring together original high quality works and reviews on experimental and clinical biomedical research within the frames of physiology, pathology and disease management. The topics of IN VIVO include: 1. Experimental development and application of new diagnostic and therapeutic procedures; 2. Pharmacological and toxicological evaluation of new drugs, drug combinations and drug delivery systems; 3. Clinical trials; 4. Development and characterization of models of biomedical research; 5. Cancer diagnosis and treatment; 6. Immunotherapy and vaccines; 7. Radiotherapy, Imaging; 8. Tissue engineering, Regenerative medicine; 9. Carcinogenesis.
×
引用
GB/T 7714-2015
复制
MLA
复制
APA
复制
导出至
BibTeX EndNote RefMan NoteFirst NoteExpress
×
提示
您的信息不完整,为了账户安全,请先补充。
现在去补充
×
提示
您因"违规操作"
具体请查看互助需知
我知道了
×
提示
确定
请完成安全验证×
copy
已复制链接
快去分享给好友吧!
我知道了
右上角分享
点击右上角分享
0
联系我们:info@booksci.cn Book学术提供免费学术资源搜索服务,方便国内外学者检索中英文文献。致力于提供最便捷和优质的服务体验。 Copyright © 2023 布克学术 All rights reserved.
京ICP备2023020795号-1
ghs 京公网安备 11010802042870号
Book学术文献互助
Book学术文献互助群
群 号:604180095
Book学术官方微信