Comparison of Ultrasound-Based Techniques and Magnetic Resonance Imaging Proton Density Fat Fraction in Measuring the Amount of Hepatic Fat in Children with Hepatosteatosis.

IF 1.1 Q2 MEDICINE, GENERAL & INTERNAL
Sabriye Gulcin Bozbeyoglu, Murat Asik
{"title":"Comparison of Ultrasound-Based Techniques and Magnetic Resonance Imaging Proton Density Fat Fraction in Measuring the Amount of Hepatic Fat in Children with Hepatosteatosis.","authors":"Sabriye Gulcin Bozbeyoglu, Murat Asik","doi":"10.4274/MMJ.galenos.2025.34017","DOIUrl":null,"url":null,"abstract":"<p><strong>Objective: </strong>The aim of this study is to demonstrate the reliability of Quantitative Ultrasound (QUS) in assessing liver fat content in children, using magnetic resonance imaging proton density fat fraction (MRI-PDFF) values as a reference, and to determine threshold values for QUS in grading hepatosteatosis.</p><p><strong>Methods: </strong>The study group consisted of pediatric patients under 18 years of age without known liver disease who volunteered to participate. All patients underwent MRI-PDFF scanning, and QUS imaging was performed using the tissue attenuation imaging (TAI) ve tissue scatter distribution imaging (TSI) tools. The cut-off values for MRI-PDFF were set at ≥5%, ≥16.3%, and ≥21.7%, corresponding to mild, moderate, and severe steatosis, respectively. The diagnostic performance of TAI and TSI in detecting various degrees of hepatic steatosis was evaluated using the area under the ROC (AUROC) curves.</p><p><strong>Results: </strong>The frequencies of hepatosteatosis grading were as follows: S1: 19 (37%), S2: 5 (10%), S3: 22 (43%). The AUROCs for TAI and TSI tools in detecting QUS measurements (MRI PDFF ≥5%) were 0.95 [95% confidence interval (CI): 0.91-0.99] (p< 0.001) and 0.96 (95% CI: 0.93-0.99) (p<0.001), respectively. For distinguishing different degrees of steatosis, TAI showed values of 0.75, 0.86, and 0.96 dB/cm/MHz, corresponding to sensitivities of 88%, 88%, and 100%, respectively, while TSI showed values of 92.44, 96.64, and 99.45, with sensitivities of 90%, 92%, and 91.7%. The correlation test between QUS measurements [TAI, TSI, EzHRI (Hepato-Renal Index with Automated regions of interest Recommendation)] and MR-PDFF indicated a concordance in TAI and TSI values, but not with EzHR.</p><p><strong>Conclusions: </strong>The TAI and TSI tools can accurately measure liver fat content and can be used reliably in children for the assessment and grading of hepatosteatosis.</p>","PeriodicalId":37427,"journal":{"name":"Medeniyet medical journal","volume":"40 2","pages":"46-52"},"PeriodicalIF":1.1000,"publicationDate":"2025-06-26","publicationTypes":"Journal Article","fieldsOfStudy":null,"isOpenAccess":false,"openAccessPdf":"https://www.ncbi.nlm.nih.gov/pmc/articles/PMC12203445/pdf/","citationCount":"0","resultStr":null,"platform":"Semanticscholar","paperid":null,"PeriodicalName":"Medeniyet medical journal","FirstCategoryId":"1085","ListUrlMain":"https://doi.org/10.4274/MMJ.galenos.2025.34017","RegionNum":0,"RegionCategory":null,"ArticlePicture":[],"TitleCN":null,"AbstractTextCN":null,"PMCID":null,"EPubDate":"","PubModel":"","JCR":"Q2","JCRName":"MEDICINE, GENERAL & INTERNAL","Score":null,"Total":0}
引用次数: 0

Abstract

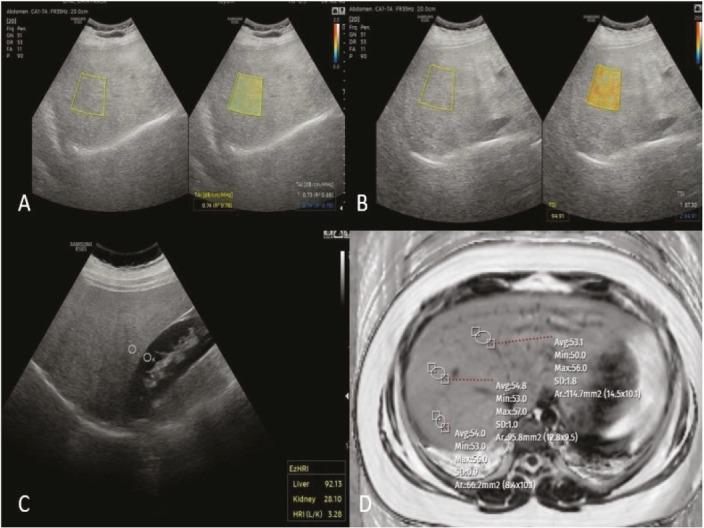
Objective: The aim of this study is to demonstrate the reliability of Quantitative Ultrasound (QUS) in assessing liver fat content in children, using magnetic resonance imaging proton density fat fraction (MRI-PDFF) values as a reference, and to determine threshold values for QUS in grading hepatosteatosis.

Methods: The study group consisted of pediatric patients under 18 years of age without known liver disease who volunteered to participate. All patients underwent MRI-PDFF scanning, and QUS imaging was performed using the tissue attenuation imaging (TAI) ve tissue scatter distribution imaging (TSI) tools. The cut-off values for MRI-PDFF were set at ≥5%, ≥16.3%, and ≥21.7%, corresponding to mild, moderate, and severe steatosis, respectively. The diagnostic performance of TAI and TSI in detecting various degrees of hepatic steatosis was evaluated using the area under the ROC (AUROC) curves.

Results: The frequencies of hepatosteatosis grading were as follows: S1: 19 (37%), S2: 5 (10%), S3: 22 (43%). The AUROCs for TAI and TSI tools in detecting QUS measurements (MRI PDFF ≥5%) were 0.95 [95% confidence interval (CI): 0.91-0.99] (p< 0.001) and 0.96 (95% CI: 0.93-0.99) (p<0.001), respectively. For distinguishing different degrees of steatosis, TAI showed values of 0.75, 0.86, and 0.96 dB/cm/MHz, corresponding to sensitivities of 88%, 88%, and 100%, respectively, while TSI showed values of 92.44, 96.64, and 99.45, with sensitivities of 90%, 92%, and 91.7%. The correlation test between QUS measurements [TAI, TSI, EzHRI (Hepato-Renal Index with Automated regions of interest Recommendation)] and MR-PDFF indicated a concordance in TAI and TSI values, but not with EzHR.

Conclusions: The TAI and TSI tools can accurately measure liver fat content and can be used reliably in children for the assessment and grading of hepatosteatosis.

Abstract Image

Abstract Image

Abstract Image

超声技术与磁共振成像质子密度脂肪分数测量肝纤维化儿童肝脏脂肪量的比较。
目的:本研究的目的是通过磁共振成像质子密度脂肪分数(MRI-PDFF)值作为参考,证明定量超声(QUS)评估儿童肝脏脂肪含量的可靠性,并确定定量超声(QUS)分级肝成骨病的阈值。方法:研究组由18岁以下无已知肝脏疾病的儿童患者自愿参加。所有患者均行MRI-PDFF扫描,并使用组织衰减成像(TAI)或组织散射分布成像(TSI)工具进行QUS成像。MRI-PDFF的临界值分别为≥5%、≥16.3%和≥21.7%,分别对应轻度、中度和重度脂肪变性。采用ROC曲线下面积(AUROC)评价TAI和TSI对不同程度肝脂肪变性的诊断价值。结果:肝纤维化分级频次分别为S1∶19(37%)、S2∶5(10%)、S3∶22(43%)。TAI和TSI工具检测QUS测量值(MRI PDFF≥5%)的auroc分别为0.95[95%可信区间(CI): 0.91-0.99] (p< 0.001)和0.96 (95% CI: 0.93-0.99)。结论:TAI和TSI工具能准确测量肝脏脂肪含量,可可靠地用于儿童肝纤维化的评估和分级。
本文章由计算机程序翻译,如有差异,请以英文原文为准。
求助全文
约1分钟内获得全文 求助全文
来源期刊
Medeniyet medical journal
Medeniyet medical journal Medicine-Medicine (all)
CiteScore
1.70
自引率
0.00%
发文量
88
审稿时长
5 weeks
期刊介绍: The Medeniyet Medical Journal (Medeniyet Med J) is an open access, peer-reviewed, and scientific journal of Istanbul Medeniyet University Faculty of Medicine on various academic disciplines in medicine, which is published in English four times a year, in March, June, September, and December by a group of academics. Medeniyet Medical Journal is the continuation of Göztepe Medical Journal (ISSN: 1300-526X) which was started publishing in 1985. It changed the name as Medeniyet Medical Journal in 2015. Submission and publication are free of charge. No fees are asked from the authors for evaluation or publication process. All published articles are available online in the journal website (www.medeniyetmedicaljournal.org) without any fee. The journal publishes intradisciplinary or interdisciplinary clinical, experimental, and basic researches as well as original case reports, reviews, invited reviews, or letters to the editor, Being published since 1985, the Medeniyet Med J recognizes that the best science should lead to better lives based on the fact that the medicine should serve to the needs of society, and knowledge should transform society. The journal aims to address current issues at both national and international levels, start debates, and exert an influence on decision-makers all over the world by integrating science in everyday life. Medeniyet Med J is committed to serve the public and influence people’s lives in a positive way by making science widely accessible. Believing that the only goal is improving lives, and research has an impact on people’s lives, we select the best research papers in line with this goal.
×
引用
GB/T 7714-2015
复制
MLA
复制
APA
复制
导出至
BibTeX EndNote RefMan NoteFirst NoteExpress
×
提示
您的信息不完整,为了账户安全,请先补充。
现在去补充
×
提示
您因"违规操作"
具体请查看互助需知
我知道了
×
提示
确定
请完成安全验证×
copy
已复制链接
快去分享给好友吧!
我知道了
右上角分享
点击右上角分享
0
联系我们:info@booksci.cn Book学术提供免费学术资源搜索服务,方便国内外学者检索中英文文献。致力于提供最便捷和优质的服务体验。 Copyright © 2023 布克学术 All rights reserved.
京ICP备2023020795号-1
ghs 京公网安备 11010802042870号
Book学术文献互助
Book学术文献互助群
群 号:604180095
Book学术官方微信