Descending Necrotizing Mediastinitis as a Deadly Complication Following Laparoscopic Sleeve Gastrectomy: A Case Report.

IF 0.7 Q4 SURGERY
Surgical Case Reports Pub Date : 2025-01-01 Epub Date: 2025-06-21 DOI:10.70352/scrj.cr.25-0213
Kengo Kadoya, Kotaro Wakamatsu
{"title":"Descending Necrotizing Mediastinitis as a Deadly Complication Following Laparoscopic Sleeve Gastrectomy: A Case Report.","authors":"Kengo Kadoya, Kotaro Wakamatsu","doi":"10.70352/scrj.cr.25-0213","DOIUrl":null,"url":null,"abstract":"<p><strong>Introduction: </strong>Laparoscopic sleeve gastrectomy is a standard and safe surgical procedure for patients with morbid obesity. A potential complication is piriform fossa injury, which can occur during calibration tube insertion. We encountered a case of descending necrotizing mediastinitis, a serious and progressive infection originating from a piriform fossa injury that was potentially exacerbated by diabetes.</p><p><strong>Case presentation: </strong>A female patient with morbid obesity (body mass index, 41 kg/m<sup>2</sup>) and a heavy smoking habit underwent laparoscopic sleeve gastrectomy and was discharged without any immediate postoperative complications. Six weeks later, the patient presented with severe chest and back pain that required continuous fentanyl injection for pain management. Initially, staple line leakage, commonly observed after sleeve gastrectomy, was suspected. However, her condition progressively worsened, and she was admitted to the ICU. An enhanced abdominal CT scan extending to the cervical region revealed a cervical abscess extending to the lower mediastinal region. The patient was diagnosed with descending necrotizing mediastinitis. Given the rarity of this disease, we hypothesized that her smoking habits exacerbated the piriform fossa injury caused by the calibration tube used during gastrectomy. Following the diagnosis, emergency abscess drainage surgery was performed, and the patient was successfully treated.</p><p><strong>Conclusions: </strong>This is the 1st reported case of descending necrotizing mediastinitis as a fatal complication of laparoscopic sleeve gastrectomy, which was identified and treated successfully owing to the timely and expanded use of an enhanced CT scan that included the cervical region. Traditionally, the cervical area has not been routinely examined when diagnosing complications following abdominal surgery, underscoring the importance of a comprehensive imaging approach from the neck to the abdomen to detect complications after sleeve gastrectomy.</p>","PeriodicalId":22096,"journal":{"name":"Surgical Case Reports","volume":"11 1","pages":""},"PeriodicalIF":0.7000,"publicationDate":"2025-01-01","publicationTypes":"Journal Article","fieldsOfStudy":null,"isOpenAccess":false,"openAccessPdf":"https://www.ncbi.nlm.nih.gov/pmc/articles/PMC12197851/pdf/","citationCount":"0","resultStr":null,"platform":"Semanticscholar","paperid":null,"PeriodicalName":"Surgical Case Reports","FirstCategoryId":"1085","ListUrlMain":"https://doi.org/10.70352/scrj.cr.25-0213","RegionNum":0,"RegionCategory":null,"ArticlePicture":[],"TitleCN":null,"AbstractTextCN":null,"PMCID":null,"EPubDate":"2025/6/21 0:00:00","PubModel":"Epub","JCR":"Q4","JCRName":"SURGERY","Score":null,"Total":0}
引用次数: 0

Abstract

Introduction: Laparoscopic sleeve gastrectomy is a standard and safe surgical procedure for patients with morbid obesity. A potential complication is piriform fossa injury, which can occur during calibration tube insertion. We encountered a case of descending necrotizing mediastinitis, a serious and progressive infection originating from a piriform fossa injury that was potentially exacerbated by diabetes.

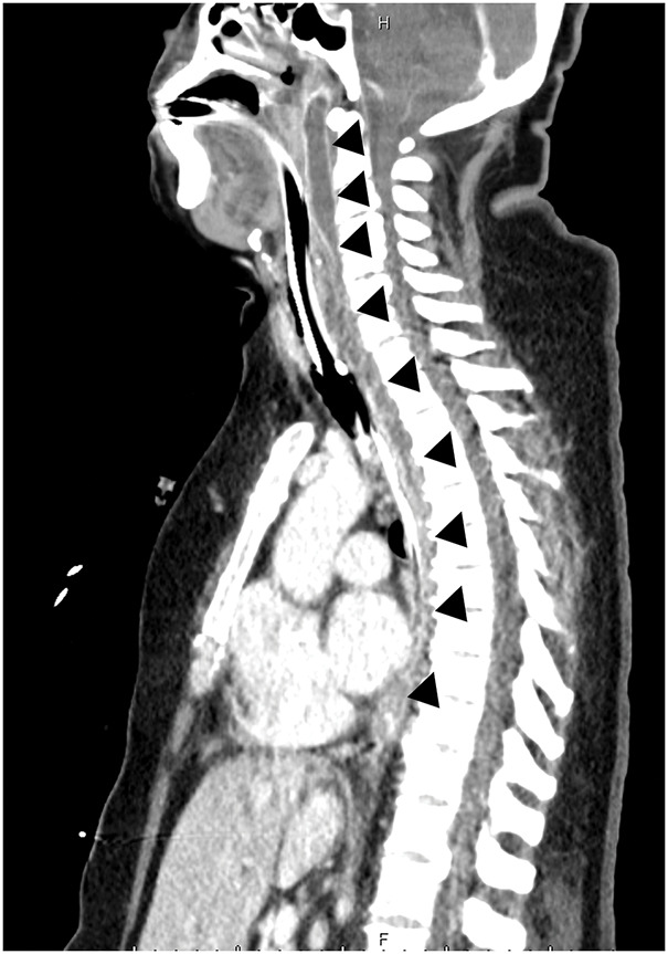
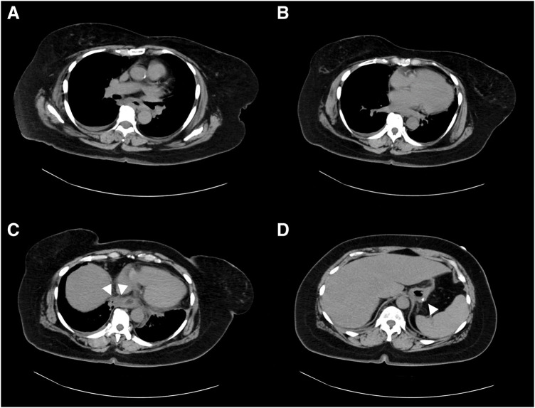
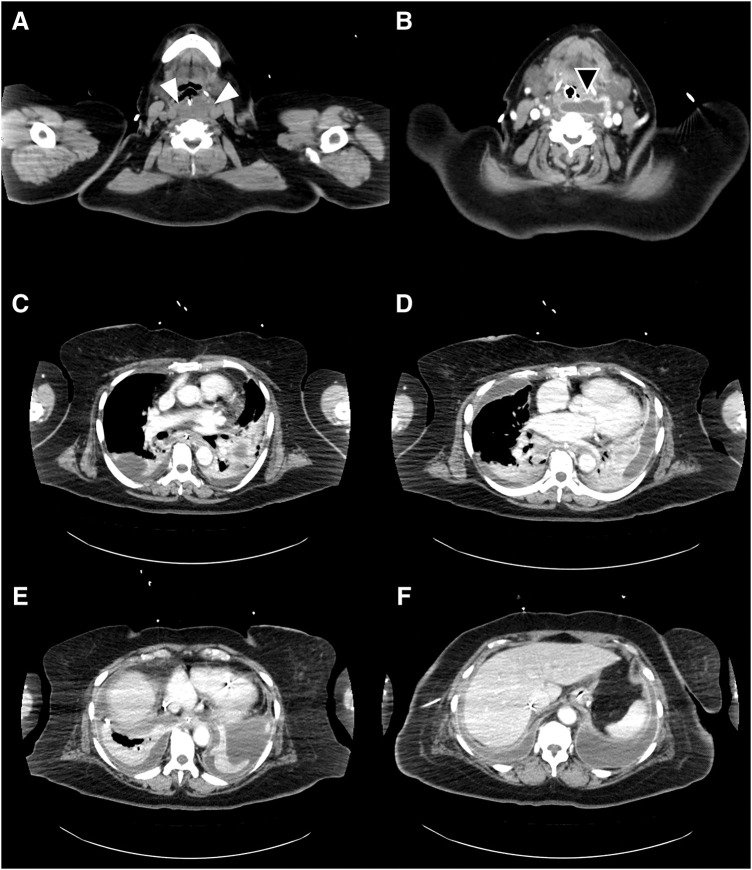
Case presentation: A female patient with morbid obesity (body mass index, 41 kg/m2) and a heavy smoking habit underwent laparoscopic sleeve gastrectomy and was discharged without any immediate postoperative complications. Six weeks later, the patient presented with severe chest and back pain that required continuous fentanyl injection for pain management. Initially, staple line leakage, commonly observed after sleeve gastrectomy, was suspected. However, her condition progressively worsened, and she was admitted to the ICU. An enhanced abdominal CT scan extending to the cervical region revealed a cervical abscess extending to the lower mediastinal region. The patient was diagnosed with descending necrotizing mediastinitis. Given the rarity of this disease, we hypothesized that her smoking habits exacerbated the piriform fossa injury caused by the calibration tube used during gastrectomy. Following the diagnosis, emergency abscess drainage surgery was performed, and the patient was successfully treated.

Conclusions: This is the 1st reported case of descending necrotizing mediastinitis as a fatal complication of laparoscopic sleeve gastrectomy, which was identified and treated successfully owing to the timely and expanded use of an enhanced CT scan that included the cervical region. Traditionally, the cervical area has not been routinely examined when diagnosing complications following abdominal surgery, underscoring the importance of a comprehensive imaging approach from the neck to the abdomen to detect complications after sleeve gastrectomy.

Abstract Image

Abstract Image

Abstract Image

下行坏死性纵隔炎是腹腔镜胃切除术后的致命并发症:1例报告。
简介:腹腔镜袖胃切除术是一种标准和安全的手术治疗患者的病态肥胖。一个潜在的并发症是梨状窝损伤,可发生在校准管插入。我们遇到了一个下行坏死性纵隔炎的病例,这是一种严重的进行性感染,起源于梨状窝损伤,可能因糖尿病而加剧。病例介绍:1例病态肥胖(体重指数41 kg/m2)、重度吸烟的女性患者行腹腔镜袖式胃切除术,术后无并发症出院。6周后,患者出现严重的胸部和背部疼痛,需要持续注射芬太尼来缓解疼痛。最初怀疑是短钉线渗漏,通常在袖式胃切除术后观察到。然而,她的病情逐渐恶化,她被送进了重症监护室。增强腹部CT扫描显示宫颈脓肿延伸至下纵隔区。患者被诊断为下行坏死性纵隔炎。鉴于这种疾病的罕见性,我们假设她的吸烟习惯加重了胃切除术中使用的校准管引起的梨状窝损伤。诊断后,紧急进行脓肿引流手术,患者得到成功治疗。结论:这是第一例报道的下行坏死性纵隔炎作为腹腔镜袖胃切除术的致命并发症,由于及时和广泛使用包括颈部区域的增强CT扫描,该病例被发现并成功治疗。传统上,在诊断腹部手术并发症时,颈部并没有常规检查,这强调了从颈部到腹部的全面成像方法对于发现袖胃切除术后并发症的重要性。
本文章由计算机程序翻译,如有差异,请以英文原文为准。
求助全文
约1分钟内获得全文 求助全文
来源期刊
自引率
0.00%
发文量
218
审稿时长
13 weeks
×
引用
GB/T 7714-2015
复制
MLA
复制
APA
复制
导出至
BibTeX EndNote RefMan NoteFirst NoteExpress
×
提示
您的信息不完整,为了账户安全,请先补充。
现在去补充
×
提示
您因"违规操作"
具体请查看互助需知
我知道了
×
提示
确定
请完成安全验证×
copy
已复制链接
快去分享给好友吧!
我知道了
右上角分享
点击右上角分享
0
联系我们:info@booksci.cn Book学术提供免费学术资源搜索服务,方便国内外学者检索中英文文献。致力于提供最便捷和优质的服务体验。 Copyright © 2023 布克学术 All rights reserved.
京ICP备2023020795号-1
ghs 京公网安备 11010802042870号
Book学术文献互助
Book学术文献互助群
群 号:604180095
Book学术官方微信