Poly (ADP-Ribose) Polymerase Inhibition Attenuates Atherosclerotic Plaque Development in ApoE-/- Mice with Hyperhomocysteinemia.

IF 2.8 2区 医学 Q2 PERIPHERAL VASCULAR DISEASE
Journal of atherosclerosis and thrombosis Pub Date : 2025-07-01 Epub Date: 2025-06-24 DOI:10.5551/jat.ER1586
Jiang-Jiao Xie, Xian Yu, Yu-Hua Liao, Jian Chen, Rui Yao, Yong Chen, Meng-Yang Liao, Ying-Jun Ding, Ting-Ting Tang, Xiang Cheng
{"title":"Poly (ADP-Ribose) Polymerase Inhibition Attenuates Atherosclerotic Plaque Development in ApoE-/- Mice with Hyperhomocysteinemia.","authors":"Jiang-Jiao Xie, Xian Yu, Yu-Hua Liao, Jian Chen, Rui Yao, Yong Chen, Meng-Yang Liao, Ying-Jun Ding, Ting-Ting Tang, Xiang Cheng","doi":"10.5551/jat.ER1586","DOIUrl":null,"url":null,"abstract":"","PeriodicalId":15128,"journal":{"name":"Journal of atherosclerosis and thrombosis","volume":" ","pages":"896"},"PeriodicalIF":2.8000,"publicationDate":"2025-07-01","publicationTypes":"Journal Article","fieldsOfStudy":null,"isOpenAccess":false,"openAccessPdf":"https://www.ncbi.nlm.nih.gov/pmc/articles/PMC12237785/pdf/","citationCount":"0","resultStr":null,"platform":"Semanticscholar","paperid":null,"PeriodicalName":"Journal of atherosclerosis and thrombosis","FirstCategoryId":"3","ListUrlMain":"https://doi.org/10.5551/jat.ER1586","RegionNum":2,"RegionCategory":"医学","ArticlePicture":[],"TitleCN":null,"AbstractTextCN":null,"PMCID":null,"EPubDate":"2025/6/24 0:00:00","PubModel":"Epub","JCR":"Q2","JCRName":"PERIPHERAL VASCULAR DISEASE","Score":null,"Total":0}
引用次数: 0

Abstract Image

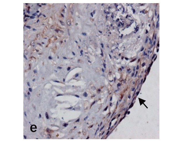
Abstract Image

Poly (adp -核糖)聚合酶抑制ApoE-/-高同型半胱氨酸血症小鼠的动脉粥样硬化斑块发展
本文章由计算机程序翻译,如有差异,请以英文原文为准。
求助全文
约1分钟内获得全文 求助全文
来源期刊
CiteScore
6.60
自引率
15.90%
发文量
271
审稿时长
1 months
期刊介绍: JAT publishes articles focused on all aspects of research on atherosclerosis, vascular biology, thrombosis, lipid and metabolism.
×
引用
GB/T 7714-2015
复制
MLA
复制
APA
复制
导出至
BibTeX EndNote RefMan NoteFirst NoteExpress
×
提示
您的信息不完整,为了账户安全,请先补充。
现在去补充
×
提示
您因"违规操作"
具体请查看互助需知
我知道了
×
提示
确定
请完成安全验证×
copy
已复制链接
快去分享给好友吧!
我知道了
右上角分享
点击右上角分享
0
联系我们:info@booksci.cn Book学术提供免费学术资源搜索服务,方便国内外学者检索中英文文献。致力于提供最便捷和优质的服务体验。 Copyright © 2023 布克学术 All rights reserved.
京ICP备2023020795号-1
ghs 京公网安备 11010802042870号
Book学术文献互助
Book学术文献互助群
群 号:604180095
Book学术官方微信