Pulmonary alveolar proteinosis: A case report and literature review.

IF 1 Q3 MEDICINE, GENERAL & INTERNAL
Caspian Journal of Internal Medicine Pub Date : 2025-04-01 eCollection Date: 2025-01-01 DOI:10.22088/cjim.16.2.362
Yasaman Sajadi, Simin Mouodi, Ehsan Chogan, Mahmood Monadi
{"title":"Pulmonary alveolar proteinosis: A case report and literature review.","authors":"Yasaman Sajadi, Simin Mouodi, Ehsan Chogan, Mahmood Monadi","doi":"10.22088/cjim.16.2.362","DOIUrl":null,"url":null,"abstract":"<p><strong>Background: </strong>Pulmonary alveolar proteinosis (PAP) is a rare disease caused by the accumulation of surfactant in the lung's alveoli, as a result of malfunction in the cleaning function of alveolar macrophages. The major symptoms include cough and dyspnea. Computed tomography scan usually reveals crazy-paving pattern. Lung biopsy confirms the diagnosis by showing accumulations of periodic acid-schiff-positive lipoproteinaceous materials.</p><p><strong>Case presentation: </strong>In this report, we present a middle-age man with progressive dyspnea on exertion, and frequent cough with no noteworthy medical history. The results of initial examinations and laboratory tests were non-diagnostic, so imaging studies were requested for the patient. After imaging and suspecting PAP as a differential diagnosis due to results of high resolution computed tomography, a transbronchial biopsy was performed to confirm the diagnosis. Then, according to the histopathology reports, the diagnosis of PAP was made. During the biopsy procedure, the patient developed pneumothorax, and accurate treatment approaches were considered for this complication.</p><p><strong>Conclusions: </strong>In patients with chronic progressive dyspnea and cough, appropriate and timely imaging and other paraclinic investigations must be considered by the physicians.</p>","PeriodicalId":9646,"journal":{"name":"Caspian Journal of Internal Medicine","volume":"16 2","pages":"362-368"},"PeriodicalIF":1.0000,"publicationDate":"2025-04-01","publicationTypes":"Journal Article","fieldsOfStudy":null,"isOpenAccess":false,"openAccessPdf":"https://www.ncbi.nlm.nih.gov/pmc/articles/PMC12189015/pdf/","citationCount":"0","resultStr":null,"platform":"Semanticscholar","paperid":null,"PeriodicalName":"Caspian Journal of Internal Medicine","FirstCategoryId":"1085","ListUrlMain":"https://doi.org/10.22088/cjim.16.2.362","RegionNum":0,"RegionCategory":null,"ArticlePicture":[],"TitleCN":null,"AbstractTextCN":null,"PMCID":null,"EPubDate":"2025/1/1 0:00:00","PubModel":"eCollection","JCR":"Q3","JCRName":"MEDICINE, GENERAL & INTERNAL","Score":null,"Total":0}
引用次数: 0

Abstract

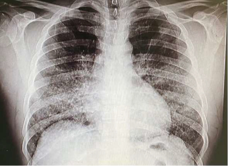
Background: Pulmonary alveolar proteinosis (PAP) is a rare disease caused by the accumulation of surfactant in the lung's alveoli, as a result of malfunction in the cleaning function of alveolar macrophages. The major symptoms include cough and dyspnea. Computed tomography scan usually reveals crazy-paving pattern. Lung biopsy confirms the diagnosis by showing accumulations of periodic acid-schiff-positive lipoproteinaceous materials.

Case presentation: In this report, we present a middle-age man with progressive dyspnea on exertion, and frequent cough with no noteworthy medical history. The results of initial examinations and laboratory tests were non-diagnostic, so imaging studies were requested for the patient. After imaging and suspecting PAP as a differential diagnosis due to results of high resolution computed tomography, a transbronchial biopsy was performed to confirm the diagnosis. Then, according to the histopathology reports, the diagnosis of PAP was made. During the biopsy procedure, the patient developed pneumothorax, and accurate treatment approaches were considered for this complication.

Conclusions: In patients with chronic progressive dyspnea and cough, appropriate and timely imaging and other paraclinic investigations must be considered by the physicians.

Abstract Image

Abstract Image

Abstract Image

肺泡蛋白沉积症1例报告并文献复习。
背景:肺泡蛋白沉积症(PAP)是一种罕见的疾病,由肺泡巨噬细胞清洁功能障碍导致表面活性剂在肺泡内积聚引起。主要症状包括咳嗽和呼吸困难。计算机断层扫描通常显示疯狂铺路模式。肺活检显示周期性酸希夫阳性脂蛋白物质积聚,证实了诊断。病例介绍:在此报告中,我们报告了一位中年男性,在用力时出现进行性呼吸困难,并经常咳嗽,没有明显的病史。初步检查和实验室检查结果无法诊断,因此要求对患者进行影像学检查。由于高分辨率计算机断层扫描的结果,影像学和怀疑PAP作为鉴别诊断后,进行了经支气管活检以确认诊断。然后根据组织病理学报告诊断PAP。在活检过程中,患者出现气胸,并考虑了准确的治疗方法。结论:对于慢性进行性呼吸困难和咳嗽患者,医生必须考虑适当和及时的影像学检查和其他临床旁检查。
本文章由计算机程序翻译,如有差异,请以英文原文为准。
求助全文
约1分钟内获得全文 求助全文
来源期刊
Caspian Journal of Internal Medicine
Caspian Journal of Internal Medicine MEDICINE, GENERAL & INTERNAL-
CiteScore
1.90
自引率
7.10%
发文量
90
审稿时长
20 weeks
×
引用
GB/T 7714-2015
复制
MLA
复制
APA
复制
导出至
BibTeX EndNote RefMan NoteFirst NoteExpress
×
提示
您的信息不完整,为了账户安全,请先补充。
现在去补充
×
提示
您因"违规操作"
具体请查看互助需知
我知道了
×
提示
确定
请完成安全验证×
copy
已复制链接
快去分享给好友吧!
我知道了
右上角分享
点击右上角分享
0
联系我们:info@booksci.cn Book学术提供免费学术资源搜索服务,方便国内外学者检索中英文文献。致力于提供最便捷和优质的服务体验。 Copyright © 2023 布克学术 All rights reserved.
京ICP备2023020795号-1
ghs 京公网安备 11010802042870号
Book学术文献互助
Book学术文献互助群
群 号:604180095
Book学术官方微信