A rare neurological odyssey: Gastric adenocarcinoma and leptomeningeal carcinomatosis - A Peruvian case study.

IF 1 Q3 MEDICINE, GENERAL & INTERNAL
Caspian Journal of Internal Medicine Pub Date : 2025-03-17 eCollection Date: 2025-01-01 DOI:10.22088/cjim.16.2.369
Juan Eduardo Quiroz-Aldave, María Del Carmen Durand-Vásquez, Ramiro Herrera Cabezas, Rossana Jimenez Asto, Carlos Cerrón Aguilar, Julia Cristina Coronado-Arroyo, Francisca Zavaleta-Gutiérrez, Luis Alberto Concepción-Urteaga, Benjamín Alberto Leiva, Marcio José Concepción-Zavaleta
{"title":"A rare neurological odyssey: Gastric adenocarcinoma and leptomeningeal carcinomatosis - A Peruvian case study.","authors":"Juan Eduardo Quiroz-Aldave, María Del Carmen Durand-Vásquez, Ramiro Herrera Cabezas, Rossana Jimenez Asto, Carlos Cerrón Aguilar, Julia Cristina Coronado-Arroyo, Francisca Zavaleta-Gutiérrez, Luis Alberto Concepción-Urteaga, Benjamín Alberto Leiva, Marcio José Concepción-Zavaleta","doi":"10.22088/cjim.16.2.369","DOIUrl":null,"url":null,"abstract":"<p><strong>Background: </strong>Leptomeningeal carcinomatosis involves the diffuse infiltration of neoplastic cells in the central nervous system, affecting 5-8% of leukemia, breast, and lung cancer cases. Gastric cancer instances are rare, mostly in poorly differentiated adenocarcinomas. We report the first Peruvian case, featuring gastric adenocarcinoma.</p><p><strong>Case presentation: </strong>A 51-year-old woman presented with severe headache, vomiting, dizziness, blurred vision, tinnitus, bradyphrenia, reduced verbal fluency, sixth cranial nerve paresis, and non-reactive anisocoric pupils. Pleocytosis was found, with positive cytology for metastatic adenocarcinoma in cerebrospinal fluid, and a solid gastric mass defined as poorly differentiated adenocarcinoma. Due to her condition, the patient did not receive oncological management, evolving unfavorably and passing away twenty days later. Leptomeningeal carcinomatosis should be considered in patients with advanced cancer and meningeal symptoms. It is more predominant in women, with an average age of 53.84 years. Clinical presentation of leptomeningeal carcinomatosis varies, and diagnosis involves neuroimaging and cerebrospinal fluid cytology. Prognosis is unfavorable, often leading to fatality. Treatment protocols lack standardization, and personalized approaches, including targeted and systemic therapies, are explored for improved outcomes. The exceptional aspect of our case lies in the unique diagnosis of an abdominal tumor following the manifestation of neurological symptoms.</p><p><strong>Conclusion: </strong>It is important to suspect this condition among the causes of meningitis, especially in the presence of an underlying malignancy.</p>","PeriodicalId":9646,"journal":{"name":"Caspian Journal of Internal Medicine","volume":"16 2","pages":"369-374"},"PeriodicalIF":1.0000,"publicationDate":"2025-03-17","publicationTypes":"Journal Article","fieldsOfStudy":null,"isOpenAccess":false,"openAccessPdf":"https://www.ncbi.nlm.nih.gov/pmc/articles/PMC12194435/pdf/","citationCount":"0","resultStr":null,"platform":"Semanticscholar","paperid":null,"PeriodicalName":"Caspian Journal of Internal Medicine","FirstCategoryId":"1085","ListUrlMain":"https://doi.org/10.22088/cjim.16.2.369","RegionNum":0,"RegionCategory":null,"ArticlePicture":[],"TitleCN":null,"AbstractTextCN":null,"PMCID":null,"EPubDate":"2025/1/1 0:00:00","PubModel":"eCollection","JCR":"Q3","JCRName":"MEDICINE, GENERAL & INTERNAL","Score":null,"Total":0}
引用次数: 0

Abstract

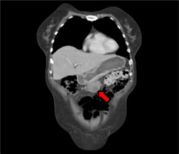
Background: Leptomeningeal carcinomatosis involves the diffuse infiltration of neoplastic cells in the central nervous system, affecting 5-8% of leukemia, breast, and lung cancer cases. Gastric cancer instances are rare, mostly in poorly differentiated adenocarcinomas. We report the first Peruvian case, featuring gastric adenocarcinoma.

Case presentation: A 51-year-old woman presented with severe headache, vomiting, dizziness, blurred vision, tinnitus, bradyphrenia, reduced verbal fluency, sixth cranial nerve paresis, and non-reactive anisocoric pupils. Pleocytosis was found, with positive cytology for metastatic adenocarcinoma in cerebrospinal fluid, and a solid gastric mass defined as poorly differentiated adenocarcinoma. Due to her condition, the patient did not receive oncological management, evolving unfavorably and passing away twenty days later. Leptomeningeal carcinomatosis should be considered in patients with advanced cancer and meningeal symptoms. It is more predominant in women, with an average age of 53.84 years. Clinical presentation of leptomeningeal carcinomatosis varies, and diagnosis involves neuroimaging and cerebrospinal fluid cytology. Prognosis is unfavorable, often leading to fatality. Treatment protocols lack standardization, and personalized approaches, including targeted and systemic therapies, are explored for improved outcomes. The exceptional aspect of our case lies in the unique diagnosis of an abdominal tumor following the manifestation of neurological symptoms.

Conclusion: It is important to suspect this condition among the causes of meningitis, especially in the presence of an underlying malignancy.

Abstract Image

Abstract Image

Abstract Image

罕见的神经系统漫游:胃腺癌和脑膜轻脑癌-秘鲁病例研究。
背景:轻脑膜癌涉及肿瘤细胞在中枢神经系统的弥漫性浸润,影响5-8%的白血病、乳腺癌和肺癌病例。胃癌少见,多为低分化腺癌。我们报告第一例秘鲁病例,以胃腺癌为特征。病例介绍:一名51岁女性,表现为严重头痛、呕吐、头晕、视力模糊、耳鸣、弱智、语言流畅性下降、第六脑神经麻痹和无反应性瞳孔异角。发现细胞增多,脑脊液转移性腺癌细胞学阳性,胃实性肿块定义为低分化性腺癌。由于病情,患者未接受肿瘤治疗,病情发展不佳,20天后去世。晚期癌症和脑膜症状的患者应考虑轻脑膜癌。以女性居多,平均年龄53.84岁。轻脑膜癌的临床表现各不相同,诊断涉及神经影像学和脑脊液细胞学。预后不佳,常导致死亡。治疗方案缺乏标准化,个性化的方法,包括靶向和全身治疗,正在探索改善结果。我们的病例的特殊方面在于独特的诊断腹部肿瘤继神经症状的表现。结论:重要的是怀疑这种情况的脑膜炎的原因,特别是在存在潜在的恶性肿瘤。
本文章由计算机程序翻译,如有差异,请以英文原文为准。
求助全文
约1分钟内获得全文 求助全文
来源期刊
Caspian Journal of Internal Medicine
Caspian Journal of Internal Medicine MEDICINE, GENERAL & INTERNAL-
CiteScore
1.90
自引率
7.10%
发文量
90
审稿时长
20 weeks
×
引用
GB/T 7714-2015
复制
MLA
复制
APA
复制
导出至
BibTeX EndNote RefMan NoteFirst NoteExpress
×
提示
您的信息不完整,为了账户安全,请先补充。
现在去补充
×
提示
您因"违规操作"
具体请查看互助需知
我知道了
×
提示
确定
请完成安全验证×
copy
已复制链接
快去分享给好友吧!
我知道了
右上角分享
点击右上角分享
0
联系我们:info@booksci.cn Book学术提供免费学术资源搜索服务,方便国内外学者检索中英文文献。致力于提供最便捷和优质的服务体验。 Copyright © 2023 布克学术 All rights reserved.
京ICP备2023020795号-1
ghs 京公网安备 11010802042870号
Book学术文献互助
Book学术文献互助群
群 号:604180095
Book学术官方微信