An Unusual Presentation of Life-Threatening Necrotising Mediastinitis in an Adolescent.

IF 0.5 Q4 SURGERY
Case Reports in Surgery Pub Date : 2025-06-19 eCollection Date: 2025-01-01 DOI:10.1155/cris/5551040
Henrik Agerup Kildahl, Anna Greta Birgitta Ehrnstrom, Per Magnus Haram, Geir Bjerkan, Katrine Hordnes Slagsvold, Øystein Pettersen
{"title":"An Unusual Presentation of Life-Threatening Necrotising Mediastinitis in an Adolescent.","authors":"Henrik Agerup Kildahl, Anna Greta Birgitta Ehrnstrom, Per Magnus Haram, Geir Bjerkan, Katrine Hordnes Slagsvold, Øystein Pettersen","doi":"10.1155/cris/5551040","DOIUrl":null,"url":null,"abstract":"<p><p>A male in early adolescence presented with 1 week of chest pain, respiratory symptoms and diarrhoea. Thoracic computed tomography (CT) revealed suspicious findings of necrotising mediastinitis without signs of a descending infection. The patient underwent bilateral thoracotomy and laparotomy with several revisions. After 58 days in the hospital, the patient was discharged home, fully recovered, with no sequelae. This case highlights the importance of a multidisciplinary approach when managing severe and rare conditions, emphasising the need for early diagnosis and prompt, appropriate surgical treatment.</p>","PeriodicalId":9600,"journal":{"name":"Case Reports in Surgery","volume":"2025 ","pages":"5551040"},"PeriodicalIF":0.5000,"publicationDate":"2025-06-19","publicationTypes":"Journal Article","fieldsOfStudy":null,"isOpenAccess":false,"openAccessPdf":"https://www.ncbi.nlm.nih.gov/pmc/articles/PMC12202063/pdf/","citationCount":"0","resultStr":null,"platform":"Semanticscholar","paperid":null,"PeriodicalName":"Case Reports in Surgery","FirstCategoryId":"1085","ListUrlMain":"https://doi.org/10.1155/cris/5551040","RegionNum":0,"RegionCategory":null,"ArticlePicture":[],"TitleCN":null,"AbstractTextCN":null,"PMCID":null,"EPubDate":"2025/1/1 0:00:00","PubModel":"eCollection","JCR":"Q4","JCRName":"SURGERY","Score":null,"Total":0}
引用次数: 0

Abstract

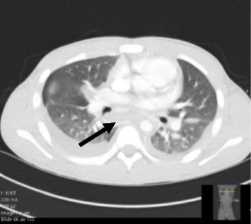
A male in early adolescence presented with 1 week of chest pain, respiratory symptoms and diarrhoea. Thoracic computed tomography (CT) revealed suspicious findings of necrotising mediastinitis without signs of a descending infection. The patient underwent bilateral thoracotomy and laparotomy with several revisions. After 58 days in the hospital, the patient was discharged home, fully recovered, with no sequelae. This case highlights the importance of a multidisciplinary approach when managing severe and rare conditions, emphasising the need for early diagnosis and prompt, appropriate surgical treatment.

Abstract Image

Abstract Image

Abstract Image

一个危及生命的青少年坏死性纵隔炎的不寻常表现。
男性,青春期早期,表现为胸痛、呼吸道症状和腹泻1周。胸部计算机断层扫描(CT)显示可疑的坏死性纵隔炎,没有下行感染的迹象。患者接受了双侧开胸和剖腹手术,并进行了几次翻修。住院58天后,患者出院回家,完全康复,无后遗症。该病例强调了多学科方法在治疗严重和罕见疾病时的重要性,强调了早期诊断和及时适当手术治疗的必要性。
本文章由计算机程序翻译,如有差异,请以英文原文为准。
求助全文
约1分钟内获得全文 求助全文
来源期刊
自引率
0.00%
发文量
60
审稿时长
13 weeks
×
引用
GB/T 7714-2015
复制
MLA
复制
APA
复制
导出至
BibTeX EndNote RefMan NoteFirst NoteExpress
×
提示
您的信息不完整,为了账户安全,请先补充。
现在去补充
×
提示
您因"违规操作"
具体请查看互助需知
我知道了
×
提示
确定
请完成安全验证×
copy
已复制链接
快去分享给好友吧!
我知道了
右上角分享
点击右上角分享
0
联系我们:info@booksci.cn Book学术提供免费学术资源搜索服务,方便国内外学者检索中英文文献。致力于提供最便捷和优质的服务体验。 Copyright © 2023 布克学术 All rights reserved.
京ICP备2023020795号-1
ghs 京公网安备 11010802042870号
Book学术文献互助
Book学术文献互助群
群 号:604180095
Book学术官方微信