Precision in Practice: Inter- and Intra-rater Reliability of Linear Measurements and Tumor Growth in Vestibular Schwannoma.

IF 2 3区 医学 Q3 CLINICAL NEUROLOGY
Otology & Neurotology Pub Date : 2025-08-01 Epub Date: 2025-06-12 DOI:10.1097/MAO.0000000000004515
Ineke M J Pruijn, Jolanda Derks, Jérôme J Waterval, Mark Ter Laan, Yasin Temel, Sjoert A H Pegge, Alida A Postma, Wietske Kievit, Henricus P M Kunst
{"title":"Precision in Practice: Inter- and Intra-rater Reliability of Linear Measurements and Tumor Growth in Vestibular Schwannoma.","authors":"Ineke M J Pruijn, Jolanda Derks, Jérôme J Waterval, Mark Ter Laan, Yasin Temel, Sjoert A H Pegge, Alida A Postma, Wietske Kievit, Henricus P M Kunst","doi":"10.1097/MAO.0000000000004515","DOIUrl":null,"url":null,"abstract":"<p><strong>Objective: </strong>The aim of this study is to compare and assess the inter- and intra-rater reliability of various linear measurement techniques for vestibular schwannomas (VS) and their impact on determining tumor growth in a multidisciplinary multicenter setting.</p><p><strong>Methods: </strong>Six experts (neurosurgeons, otorhinolaryngologists, and radiologists) involved in VS management, from two tertiary referral centers, measured linear extrameatal VS tumor size parallel and perpendicular to the petrous ridge, and as maximum axial and maximum coronal diameter. Inter- and intra-rater reliability were evaluated using the intraclass correlation coefficient (ICC). The repeatability coefficient was computed for each measurement direction. Fleiss' kappa was used to determine the degree of agreement on tumor growth.</p><p><strong>Results: </strong>Reliability between raters was significantly excellent (ICC >0.9) across all measurement directions, with the highest ICC observed for measurements parallel to the petrous ridge (ICC, 0.974; 95% CI, 0.957-0.986). Good or excellent reliability was achieved in 95.8% of all intra-rater measurements, with predominantly higher ICC scores for measurements in the coronal plane. Fleiss' kappa for interrater variability of determining tumor growth was highest and substantial for measurements parallel to the petrous ridge 0.672 (95% CI, 0.546-0.799).</p><p><strong>Conclusion: </strong>Linear measurements of VS parallel to the petrous ridge yield excellent interrater reliability and the most favorable repeatability coefficient. Good to excellent intra-rater reliability across all measurement directions was observed. The most accurately defined tumor growth was obtained comparing measurements parallel to the petrous ridge. We recommend measurements parallel to the petrous ridge as the standard linear method for evaluating VS and growth.</p>","PeriodicalId":19732,"journal":{"name":"Otology & Neurotology","volume":" ","pages":"e278-e284"},"PeriodicalIF":2.0000,"publicationDate":"2025-08-01","publicationTypes":"Journal Article","fieldsOfStudy":null,"isOpenAccess":false,"openAccessPdf":"https://www.ncbi.nlm.nih.gov/pmc/articles/PMC12278745/pdf/","citationCount":"0","resultStr":null,"platform":"Semanticscholar","paperid":null,"PeriodicalName":"Otology & Neurotology","FirstCategoryId":"3","ListUrlMain":"https://doi.org/10.1097/MAO.0000000000004515","RegionNum":3,"RegionCategory":"医学","ArticlePicture":[],"TitleCN":null,"AbstractTextCN":null,"PMCID":null,"EPubDate":"2025/6/12 0:00:00","PubModel":"Epub","JCR":"Q3","JCRName":"CLINICAL NEUROLOGY","Score":null,"Total":0}
引用次数: 0

Abstract

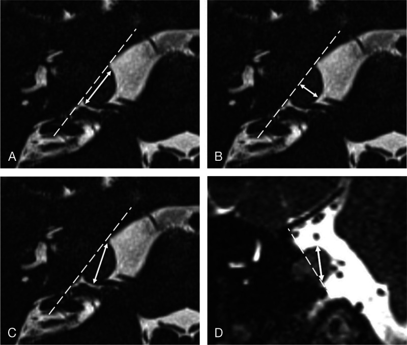
Objective: The aim of this study is to compare and assess the inter- and intra-rater reliability of various linear measurement techniques for vestibular schwannomas (VS) and their impact on determining tumor growth in a multidisciplinary multicenter setting.

Methods: Six experts (neurosurgeons, otorhinolaryngologists, and radiologists) involved in VS management, from two tertiary referral centers, measured linear extrameatal VS tumor size parallel and perpendicular to the petrous ridge, and as maximum axial and maximum coronal diameter. Inter- and intra-rater reliability were evaluated using the intraclass correlation coefficient (ICC). The repeatability coefficient was computed for each measurement direction. Fleiss' kappa was used to determine the degree of agreement on tumor growth.

Results: Reliability between raters was significantly excellent (ICC >0.9) across all measurement directions, with the highest ICC observed for measurements parallel to the petrous ridge (ICC, 0.974; 95% CI, 0.957-0.986). Good or excellent reliability was achieved in 95.8% of all intra-rater measurements, with predominantly higher ICC scores for measurements in the coronal plane. Fleiss' kappa for interrater variability of determining tumor growth was highest and substantial for measurements parallel to the petrous ridge 0.672 (95% CI, 0.546-0.799).

Conclusion: Linear measurements of VS parallel to the petrous ridge yield excellent interrater reliability and the most favorable repeatability coefficient. Good to excellent intra-rater reliability across all measurement directions was observed. The most accurately defined tumor growth was obtained comparing measurements parallel to the petrous ridge. We recommend measurements parallel to the petrous ridge as the standard linear method for evaluating VS and growth.

Abstract Image

Abstract Image

Abstract Image

实践中的精确性:前庭神经鞘瘤中线性测量和肿瘤生长的内部和内部可靠性。
目的:本研究的目的是比较和评估各种前庭神经鞘瘤(VS)线性测量技术之间和内部的可靠性,以及它们在多学科多中心环境中确定肿瘤生长的影响。方法:来自两家三级转诊中心的6名参与静脉栓塞治疗的专家(神经外科医生、耳鼻喉科医生和放射科医生)测量平行于和垂直于岩脊的眼外静脉栓塞肿瘤的线性大小,以及最大轴向直径和最大冠状直径。使用类内相关系数(ICC)评估了组间和组内信度。计算各测量方向的重复性系数。采用Fleiss kappa法测定肿瘤生长的一致程度。结果:在所有测量方向上,评分者之间的信度都非常好(ICC >0.9),其中平行于岩脊测量的ICC最高(ICC, 0.974;95% ci, 0.957-0.986)。95.8%的内部测量获得了良好或极好的可靠性,冠状面测量的ICC评分主要较高。测定肿瘤生长的间变率的Fleiss kappa值最高,在与岩脊平行的测量值为0.672 (95% CI, 0.546-0.799)。结论:平行于岩脊的VS线性测量结果具有良好的可靠性和良好的重复性系数。在所有测量方向上观察到良好到优秀的内部可靠性。比较平行于岩脊的测量得到最准确的肿瘤生长。我们推荐平行于岩脊的测量作为评估VS和生长的标准线性方法。
本文章由计算机程序翻译,如有差异,请以英文原文为准。
求助全文
约1分钟内获得全文 求助全文
来源期刊
Otology & Neurotology
Otology & Neurotology 医学-耳鼻喉科学
CiteScore
3.80
自引率
14.30%
发文量
509
审稿时长
3-6 weeks
期刊介绍: ​​​​​Otology & Neurotology publishes original articles relating to both clinical and basic science aspects of otology, neurotology, and cranial base surgery. As the foremost journal in its field, it has become the favored place for publishing the best of new science relating to the human ear and its diseases. The broadly international character of its contributing authors, editorial board, and readership provides the Journal its decidedly global perspective.
×
引用
GB/T 7714-2015
复制
MLA
复制
APA
复制
导出至
BibTeX EndNote RefMan NoteFirst NoteExpress
×
提示
您的信息不完整,为了账户安全,请先补充。
现在去补充
×
提示
您因"违规操作"
具体请查看互助需知
我知道了
×
提示
确定
请完成安全验证×
copy
已复制链接
快去分享给好友吧!
我知道了
右上角分享
点击右上角分享
0
联系我们:info@booksci.cn Book学术提供免费学术资源搜索服务,方便国内外学者检索中英文文献。致力于提供最便捷和优质的服务体验。 Copyright © 2023 布克学术 All rights reserved.
京ICP备2023020795号-1
ghs 京公网安备 11010802042870号
Book学术文献互助
Book学术文献互助群
群 号:604180095
Book学术官方微信