Lofgren's Syndrome: A Unique Presentation of Sarcoidosis Masquerading as Lower Extremity Cellulitis.

IF 0.8 Q3 MEDICINE, GENERAL & INTERNAL
Ritwik Dey, Lakshmi Kattamuri, Yagnapriya Chirrareddy, Eder Luna Ceron, Kunal Sharma, Osvaldo Padilla, Abhizith Deoker
{"title":"Lofgren's Syndrome: A Unique Presentation of Sarcoidosis Masquerading as Lower Extremity Cellulitis.","authors":"Ritwik Dey, Lakshmi Kattamuri, Yagnapriya Chirrareddy, Eder Luna Ceron, Kunal Sharma, Osvaldo Padilla, Abhizith Deoker","doi":"10.1177/23247096251352366","DOIUrl":null,"url":null,"abstract":"<p><p>Löfgren's syndrome is an acute, self-limiting variant of sarcoidosis, typically presenting with erythema nodosum, bilateral hilar lymphadenopathy, and acute arthritis or periarthritis-most commonly involving the ankles. Its clinical overlap with other inflammatory conditions can pose a diagnostic challenge. We describe a 34-year-old male with no prior medical history who presented with bilateral ankle and foot pain, erythema, and swelling, initially diagnosed as cellulitis based on imaging findings. He has no response to broad-spectrum antibiotics. During his further hospital stay, he developed polyarthritis. Laboratory evaluation revealed neutrophilic leukocytosis, elevated inflammatory markers, and a normal serum angiotensin-converting enzyme level. Imaging showed bilateral hilar lymphadenopathy and intra-abdominal adenopathy. Bronchoscopy with bronchoalveolar lavage revealed an elevated CD4:CD8 ratio (5.0), and endobronchial ultrasound-guided transbronchial needle aspiration confirmed noncaseating granulomas. Infectious, autoimmune, and malignant causes were excluded. Based on clinical features and histology, a diagnosis of Löfgren's syndrome was established. Nonsteroidal anti-inflammatory drug therapy led to rapid clinical improvement, and antibiotics were discontinued. Löfgren's syndrome should be considered in patients presenting with bilateral lower extremity erythema and swelling unresponsive to antibiotics, especially when accompanied by systemic symptoms. Early thoracic imaging and consideration of sarcoidosis in the differential diagnosis can prevent misdiagnosis and unnecessary treatment.</p>","PeriodicalId":16198,"journal":{"name":"Journal of investigative medicine high impact case reports","volume":"13 ","pages":"23247096251352366"},"PeriodicalIF":0.8000,"publicationDate":"2025-01-01","publicationTypes":"Journal Article","fieldsOfStudy":null,"isOpenAccess":false,"openAccessPdf":"https://www.ncbi.nlm.nih.gov/pmc/articles/PMC12202904/pdf/","citationCount":"0","resultStr":null,"platform":"Semanticscholar","paperid":null,"PeriodicalName":"Journal of investigative medicine high impact case reports","FirstCategoryId":"1085","ListUrlMain":"https://doi.org/10.1177/23247096251352366","RegionNum":0,"RegionCategory":null,"ArticlePicture":[],"TitleCN":null,"AbstractTextCN":null,"PMCID":null,"EPubDate":"2025/6/26 0:00:00","PubModel":"Epub","JCR":"Q3","JCRName":"MEDICINE, GENERAL & INTERNAL","Score":null,"Total":0}
引用次数: 0

Abstract

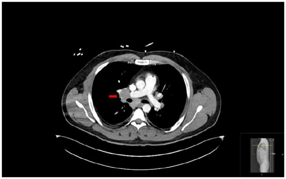
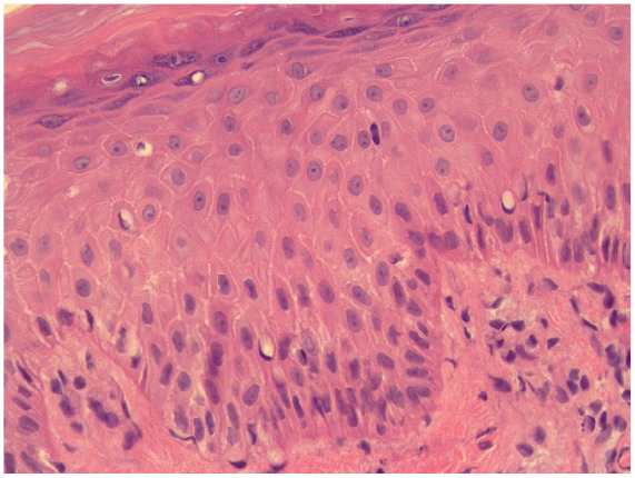
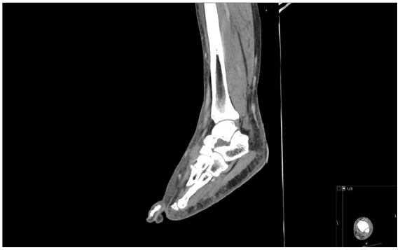
Löfgren's syndrome is an acute, self-limiting variant of sarcoidosis, typically presenting with erythema nodosum, bilateral hilar lymphadenopathy, and acute arthritis or periarthritis-most commonly involving the ankles. Its clinical overlap with other inflammatory conditions can pose a diagnostic challenge. We describe a 34-year-old male with no prior medical history who presented with bilateral ankle and foot pain, erythema, and swelling, initially diagnosed as cellulitis based on imaging findings. He has no response to broad-spectrum antibiotics. During his further hospital stay, he developed polyarthritis. Laboratory evaluation revealed neutrophilic leukocytosis, elevated inflammatory markers, and a normal serum angiotensin-converting enzyme level. Imaging showed bilateral hilar lymphadenopathy and intra-abdominal adenopathy. Bronchoscopy with bronchoalveolar lavage revealed an elevated CD4:CD8 ratio (5.0), and endobronchial ultrasound-guided transbronchial needle aspiration confirmed noncaseating granulomas. Infectious, autoimmune, and malignant causes were excluded. Based on clinical features and histology, a diagnosis of Löfgren's syndrome was established. Nonsteroidal anti-inflammatory drug therapy led to rapid clinical improvement, and antibiotics were discontinued. Löfgren's syndrome should be considered in patients presenting with bilateral lower extremity erythema and swelling unresponsive to antibiotics, especially when accompanied by systemic symptoms. Early thoracic imaging and consideration of sarcoidosis in the differential diagnosis can prevent misdiagnosis and unnecessary treatment.

Abstract Image

Abstract Image

Abstract Image

洛夫格伦综合征:伪装为下肢蜂窝织炎的结节病的独特表现。
Löfgren综合征是一种急性、自限性结节病,典型表现为结节性红斑、双侧肺门淋巴结病变和急性关节炎或周炎,最常累及脚踝。它与其他炎症性疾病的临床重叠可能构成诊断挑战。我们描述了一名34岁男性,无既往病史,表现为双侧踝关节和足部疼痛,红斑和肿胀,最初根据影像学检查诊断为蜂窝织炎。他对广谱抗生素没有反应。在他进一步住院期间,他患上了多发性关节炎。实验室评估显示中性粒细胞增多,炎症标志物升高,血清血管紧张素转换酶水平正常。影像学显示双侧肺门淋巴结病变及腹内腺病变。支气管镜支气管肺泡灌洗显示CD4:CD8比值升高(5.0),支气管超声引导下经支气管穿刺证实非干酪化肉芽肿。排除了感染、自身免疫和恶性原因。根据临床特征和组织学,诊断为Löfgren综合征。非甾体类抗炎药物治疗导致临床迅速改善,停用抗生素。出现双侧下肢红斑和肿胀对抗生素无反应的患者,特别是伴有全身症状时,应考虑Löfgren综合征。早期胸部影像学检查及结节病鉴别诊断时的考虑可防止误诊和不必要的治疗。
本文章由计算机程序翻译,如有差异,请以英文原文为准。
求助全文
约1分钟内获得全文 求助全文
来源期刊
CiteScore
1.90
自引率
0.00%
发文量
165
审稿时长
12 weeks
期刊介绍: The AFMR is committed to enhancing the training and career development of our members and to furthering its mission to facilitate the conduct of research to improve medical care. Case reports represent an important avenue for trainees (interns, residents, and fellows) and early-stage faculty to demonstrate productive, scholarly activity.
×
引用
GB/T 7714-2015
复制
MLA
复制
APA
复制
导出至
BibTeX EndNote RefMan NoteFirst NoteExpress
×
提示
您的信息不完整,为了账户安全,请先补充。
现在去补充
×
提示
您因"违规操作"
具体请查看互助需知
我知道了
×
提示
确定
请完成安全验证×
copy
已复制链接
快去分享给好友吧!
我知道了
右上角分享
点击右上角分享
0
联系我们:info@booksci.cn Book学术提供免费学术资源搜索服务,方便国内外学者检索中英文文献。致力于提供最便捷和优质的服务体验。 Copyright © 2023 布克学术 All rights reserved.
京ICP备2023020795号-1
ghs 京公网安备 11010802042870号
Book学术文献互助
Book学术文献互助群
群 号:604180095
Book学术官方微信