Acute arterial ischemic stroke in children: single-center experience.

IF 1.6 4区 医学 Q4 NEUROSCIENCES
Arquivos de neuro-psiquiatria Pub Date : 2025-06-01 Epub Date: 2025-06-25 DOI:10.1055/s-0045-1809661
Muharrem Bostancı, Arzu Ekici, Cengiz Havalı
{"title":"Acute arterial ischemic stroke in children: single-center experience.","authors":"Muharrem Bostancı, Arzu Ekici, Cengiz Havalı","doi":"10.1055/s-0045-1809661","DOIUrl":null,"url":null,"abstract":"<p><p>Arterial ischemic stroke (AIS) is an increasingly common disorder in childhood that causes severe mortality and morbidity.To emphasize the importance of early diagnosis and treatment of AIS cases, as well as the early initiation of physical therapy.We retrospectively reviewed the medical records of 23 patients aged 1 month to 18 years, who were admitted with acute neurological complaints and diagnosed radiologically with AIS at the Bursa Yüksek İhtisas Training and Research Hospital, a tertiary healthcare facility, between January 2016 and June 2020.Neurological deficit was the most common (12 patients; 52%) complaint, followed by seizure in 5 patients (21%), facial paralysis in 5 patients (21%), and visual impairment in 3 patients (13%). We performed brain computed tomography (CT) scans in 12 (52%) patients at the first application, and infarction was detected in 8 (66%). Infarction was in the cerebrum in 19 (82%) patients. Mutations of the <i>methylenetetrahydrofolate reductase</i> (<i>MTHFR</i>; A1298C and 677C > T) gene were found most frequently. Cardiac anomalies were detected in 7 (30%) patients, and 2 patients had ventriculoperitoneal shunts.Arterial ischemic stroke presents very different clinical findings, such as hiccups, anisocoria, and upward gaze paralysis. We wanted to emphasize the importance of cranial CT scanning because sometimes MRI is not always easily performed in children. Concomitant conditions, such as intracranial operation, ventriculoperitoneal shunt, and hypochondroplasia, may increase the risk of stroke.</p>","PeriodicalId":8694,"journal":{"name":"Arquivos de neuro-psiquiatria","volume":"83 6","pages":"1-8"},"PeriodicalIF":1.6000,"publicationDate":"2025-06-01","publicationTypes":"Journal Article","fieldsOfStudy":null,"isOpenAccess":false,"openAccessPdf":"https://www.ncbi.nlm.nih.gov/pmc/articles/PMC12196562/pdf/","citationCount":"0","resultStr":null,"platform":"Semanticscholar","paperid":null,"PeriodicalName":"Arquivos de neuro-psiquiatria","FirstCategoryId":"3","ListUrlMain":"https://doi.org/10.1055/s-0045-1809661","RegionNum":4,"RegionCategory":"医学","ArticlePicture":[],"TitleCN":null,"AbstractTextCN":null,"PMCID":null,"EPubDate":"2025/6/25 0:00:00","PubModel":"Epub","JCR":"Q4","JCRName":"NEUROSCIENCES","Score":null,"Total":0}
引用次数: 0

Abstract

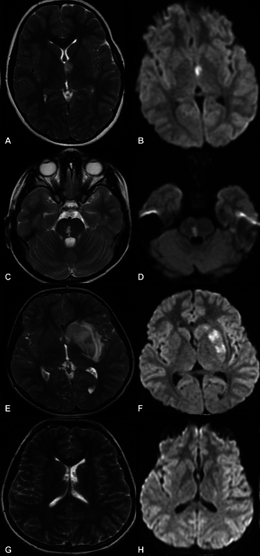
Arterial ischemic stroke (AIS) is an increasingly common disorder in childhood that causes severe mortality and morbidity.To emphasize the importance of early diagnosis and treatment of AIS cases, as well as the early initiation of physical therapy.We retrospectively reviewed the medical records of 23 patients aged 1 month to 18 years, who were admitted with acute neurological complaints and diagnosed radiologically with AIS at the Bursa Yüksek İhtisas Training and Research Hospital, a tertiary healthcare facility, between January 2016 and June 2020.Neurological deficit was the most common (12 patients; 52%) complaint, followed by seizure in 5 patients (21%), facial paralysis in 5 patients (21%), and visual impairment in 3 patients (13%). We performed brain computed tomography (CT) scans in 12 (52%) patients at the first application, and infarction was detected in 8 (66%). Infarction was in the cerebrum in 19 (82%) patients. Mutations of the methylenetetrahydrofolate reductase (MTHFR; A1298C and 677C > T) gene were found most frequently. Cardiac anomalies were detected in 7 (30%) patients, and 2 patients had ventriculoperitoneal shunts.Arterial ischemic stroke presents very different clinical findings, such as hiccups, anisocoria, and upward gaze paralysis. We wanted to emphasize the importance of cranial CT scanning because sometimes MRI is not always easily performed in children. Concomitant conditions, such as intracranial operation, ventriculoperitoneal shunt, and hypochondroplasia, may increase the risk of stroke.

Abstract Image

儿童急性动脉缺血性卒中:单中心经验。
动脉缺血性脑卒中(AIS)是一种日益常见的儿童疾病,可导致严重的死亡率和发病率。强调早期诊断和治疗AIS病例的重要性,以及早期开始物理治疗。我们回顾性地回顾了2016年1月至2020年6月期间,在三级医疗机构Bursa y ksek İhtisas培训和研究医院因急性神经系统疾病和放射诊断为AIS的23例患者的医疗记录,年龄在1个月至18岁之间。神经功能缺损最为常见(12例;52%),其次是癫痫发作5例(21%),面瘫5例(21%),视力障碍3例(13%)。我们在首次应用时对12例(52%)患者进行了脑部计算机断层扫描(CT),其中8例(66%)检测到梗死。19例(82%)患者发生脑梗死。亚甲基四氢叶酸还原酶(MTHFR)突变A1298C和677C >t)基因最常见。7例(30%)患者发现心脏异常,2例有脑室-腹膜分流。动脉缺血性中风表现出非常不同的临床表现,如呃逆、斜视和向上凝视瘫痪。我们想强调颅脑CT扫描的重要性,因为有时在儿童中进行MRI并不总是容易的。伴随的情况,如颅内手术、脑室-腹膜分流术和软骨发育不全,都可能增加中风的风险。
本文章由计算机程序翻译,如有差异,请以英文原文为准。
求助全文
约1分钟内获得全文 求助全文
来源期刊
Arquivos de neuro-psiquiatria
Arquivos de neuro-psiquiatria 医学-精神病学
CiteScore
2.10
自引率
7.10%
发文量
262
审稿时长
4-8 weeks
期刊介绍: Arquivos de Neuro-Psiquiatria is the official journal of the Brazilian Academy of Neurology. The mission of the journal is to provide neurologists, specialists and researchers in Neurology and related fields with open access to original articles (clinical and translational research), editorials, reviews, historical papers, neuroimages and letters about published manuscripts. It also publishes the consensus and guidelines on Neurology, as well as educational and scientific material from the different scientific departments of the Brazilian Academy of Neurology. The ultimate goals of the journal are to contribute to advance knowledge in the areas of Neurology and Neuroscience, and to provide valuable material for training and continuing education for neurologists and other health professionals working in the area. These goals might contribute to improving care for patients with neurological diseases. We aim to be the best Neuroscience journal in Latin America within the peer review system.
×
引用
GB/T 7714-2015
复制
MLA
复制
APA
复制
导出至
BibTeX EndNote RefMan NoteFirst NoteExpress
×
提示
您的信息不完整,为了账户安全,请先补充。
现在去补充
×
提示
您因"违规操作"
具体请查看互助需知
我知道了
×
提示
确定
请完成安全验证×
copy
已复制链接
快去分享给好友吧!
我知道了
右上角分享
点击右上角分享
0
联系我们:info@booksci.cn Book学术提供免费学术资源搜索服务,方便国内外学者检索中英文文献。致力于提供最便捷和优质的服务体验。 Copyright © 2023 布克学术 All rights reserved.
京ICP备2023020795号-1
ghs 京公网安备 11010802042870号
Book学术文献互助
Book学术文献互助群
群 号:604180095
Book学术官方微信