DNA damage in canine leishmaniasis infection is detectable by micronucleus and comet assay in peripheral blood samples.

Brazilian journal of veterinary medicine Pub Date : 2025-06-13 eCollection Date: 2025-01-01 DOI:10.29374/2527-2179.bjvm001425
Roberta Tognareli Ruiz, Aline Cechinel Assing Batista, Jorge Luis Maria Ruiz
{"title":"DNA damage in canine leishmaniasis infection is detectable by micronucleus and comet assay in peripheral blood samples.","authors":"Roberta Tognareli Ruiz, Aline Cechinel Assing Batista, Jorge Luis Maria Ruiz","doi":"10.29374/2527-2179.bjvm001425","DOIUrl":null,"url":null,"abstract":"<p><p><i>Leishmania infantum</i> is a parasite that causes leishmaniasis in its visceral clinical manifestations, which is considered a zoonosis and can infect both humans and animals. Currently, there is no highly effective treatment available, and many animals that exhibit symptoms ultimately die as a result of the disease and its complications. The clinical signs of leishmaniasis are varied and nonspecific. The main symptoms are severe anemia and thrombocytopenia, weight loss, splenomegaly, lymphadenomegaly, liver disease, kidney failure, and skin lesions, among others. Due to the chronic inflammatory state caused by the parasite, an oxidative environment is created, leading to potential cell injury and damage to the infected animals' genetic material. To investigate DNA damage, we conducted the micronucleus test and comet assay, as well as measured serum LDH levels in infected and non-infected dogs. Our results indicate that infected dogs present significantly higher levels of serum LDH (461.4 ± 204.5 U/L, n=36) compared to healthy dogs (142.38 ± 37.94 U/L, n=5). Additionally, the DNA of infected dogs is more damaged than that of the control group, as demonstrated by the micronucleus test (p=0.01) and comet assay (p=0.002). These findings suggest that <i>Leishmania infantum</i> infection can lead to clastogenic events, highlighting the need for further research on this process. It is important to consider the potential mutagenic properties of <i>Leishmania infantum</i>, given its ability to cause DNA damage in infected animals.</p>","PeriodicalId":72458,"journal":{"name":"Brazilian journal of veterinary medicine","volume":"47 ","pages":"e001425"},"PeriodicalIF":0.0000,"publicationDate":"2025-06-13","publicationTypes":"Journal Article","fieldsOfStudy":null,"isOpenAccess":false,"openAccessPdf":"https://www.ncbi.nlm.nih.gov/pmc/articles/PMC12186459/pdf/","citationCount":"0","resultStr":null,"platform":"Semanticscholar","paperid":null,"PeriodicalName":"Brazilian journal of veterinary medicine","FirstCategoryId":"1085","ListUrlMain":"https://doi.org/10.29374/2527-2179.bjvm001425","RegionNum":0,"RegionCategory":null,"ArticlePicture":[],"TitleCN":null,"AbstractTextCN":null,"PMCID":null,"EPubDate":"2025/1/1 0:00:00","PubModel":"eCollection","JCR":"","JCRName":"","Score":null,"Total":0}
引用次数: 0

Abstract

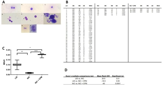
Leishmania infantum is a parasite that causes leishmaniasis in its visceral clinical manifestations, which is considered a zoonosis and can infect both humans and animals. Currently, there is no highly effective treatment available, and many animals that exhibit symptoms ultimately die as a result of the disease and its complications. The clinical signs of leishmaniasis are varied and nonspecific. The main symptoms are severe anemia and thrombocytopenia, weight loss, splenomegaly, lymphadenomegaly, liver disease, kidney failure, and skin lesions, among others. Due to the chronic inflammatory state caused by the parasite, an oxidative environment is created, leading to potential cell injury and damage to the infected animals' genetic material. To investigate DNA damage, we conducted the micronucleus test and comet assay, as well as measured serum LDH levels in infected and non-infected dogs. Our results indicate that infected dogs present significantly higher levels of serum LDH (461.4 ± 204.5 U/L, n=36) compared to healthy dogs (142.38 ± 37.94 U/L, n=5). Additionally, the DNA of infected dogs is more damaged than that of the control group, as demonstrated by the micronucleus test (p=0.01) and comet assay (p=0.002). These findings suggest that Leishmania infantum infection can lead to clastogenic events, highlighting the need for further research on this process. It is important to consider the potential mutagenic properties of Leishmania infantum, given its ability to cause DNA damage in infected animals.

Abstract Image

Abstract Image

Abstract Image

犬利什曼病感染的DNA损伤可通过外周血样本的微核和彗星试验检测。
婴儿利什曼原虫是一种寄生虫,其内脏临床表现为利什曼病,被认为是一种人畜共患病,可感染人类和动物。目前,还没有非常有效的治疗方法,许多出现症状的动物最终死于这种疾病及其并发症。利什曼病的临床症状多样且非特异性。主要症状有严重贫血、血小板减少、体重减轻、脾肿大、淋巴肿大、肝脏疾病、肾衰竭和皮肤病变等。由于寄生虫引起的慢性炎症状态,产生了氧化环境,导致潜在的细胞损伤和受感染动物遗传物质的破坏。为了研究DNA损伤,我们进行了微核试验和彗星试验,并测量了感染和未感染狗的血清LDH水平。结果表明,感染犬血清LDH水平(461.4±204.5 U/L, n=36)显著高于健康犬(142.38±37.94 U/L, n=5)。此外,微核试验(p=0.01)和彗星试验(p=0.002)表明,感染犬的DNA比对照组受损更严重。这些发现表明,婴儿利什曼原虫感染可导致致裂事件,强调需要对这一过程进行进一步研究。考虑到利什曼原虫在受感染动物中造成DNA损伤的能力,考虑其潜在的致突变特性是很重要的。
本文章由计算机程序翻译,如有差异,请以英文原文为准。
求助全文
约1分钟内获得全文 求助全文
来源期刊
自引率
0.00%
发文量
0
×
引用
GB/T 7714-2015
复制
MLA
复制
APA
复制
导出至
BibTeX EndNote RefMan NoteFirst NoteExpress
×
提示
您的信息不完整,为了账户安全,请先补充。
现在去补充
×
提示
您因"违规操作"
具体请查看互助需知
我知道了
×
提示
确定
请完成安全验证×
copy
已复制链接
快去分享给好友吧!
我知道了
右上角分享
点击右上角分享
0
联系我们:info@booksci.cn Book学术提供免费学术资源搜索服务,方便国内外学者检索中英文文献。致力于提供最便捷和优质的服务体验。 Copyright © 2023 布克学术 All rights reserved.
京ICP备2023020795号-1
ghs 京公网安备 11010802042870号
Book学术文献互助
Book学术文献互助群
群 号:604180095
Book学术官方微信